28 Nov 2022
Reinventing the treatment of patients with tricuspid valve disease
Sponsored by Edwards Lifesciences
Anchorperson:
A. Latib
Moderator:
P. Lurz
Summary
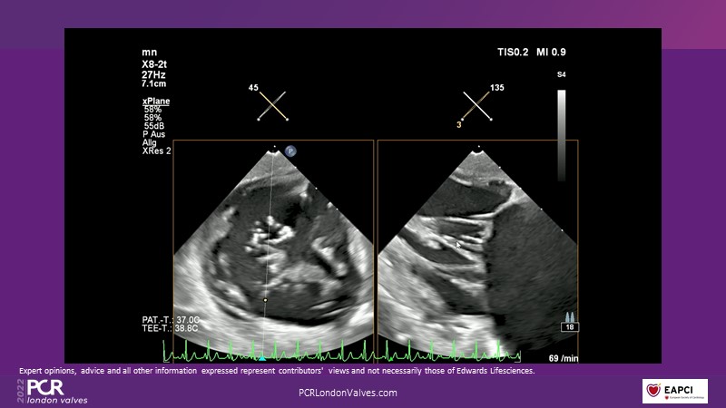
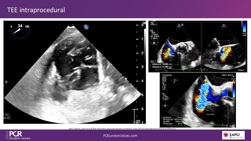
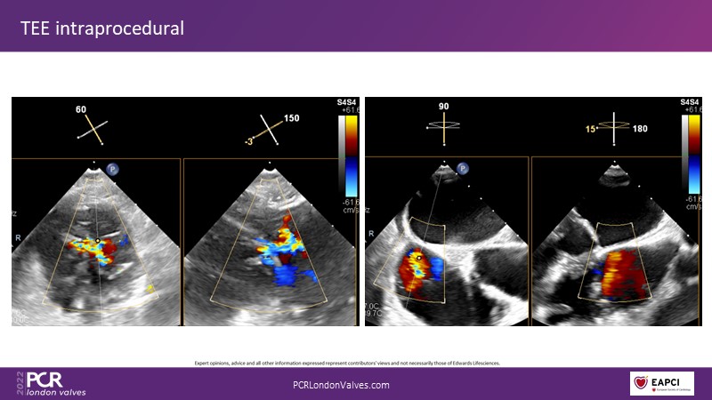
This innovative session takes you through the patient selection and anatomical characteristics when selecting amongst the different transcatheter options to treat tricuspid regurgitation, followed by a recorded demonstration using the PASCAL Precision repair system.
Learning Objectives
- To discuss the anatomical considerations that define suitable candidates for the different portfolio of options to treat tricuspid regurgitation
- To review different transcatheter options to treat tricuspid regurgitation and their key differentiators
- To participate in a recorded demonstration using the PASCAL Precision repair system for the treatment of tricuspid regurgitation




