81 results
Large thrombus burden management in a young patient with inferior STEMI and multivessel disease
08 Oct 2025
A 51-year-old man with an inferior STEMI and multivessel disease was found to have a thrombotic sub-occlusion in the mid RCA. Angiography also revealed significant disease in the LAD. How would you manage this case?

Author

Author

Author

Sealing the risk: a case of left atrial appendage closure
15 Sep 2025
A 76-year-old woman with permanent atrial fibrillation, a history of breast cancer, and a recent diagnosis of an intestinal stromal tumour presents with a high thromboembolic and bleeding risk, making long-term anticoagulation unsafe. Cardiac CT reveals a challenging left atrial appendage anatomy. How would you treat this...

Author

Author

Author

Author

Author

How should I treat this aortic stenosis with small anatomy, low coronary offset and extremely horizontal aorta
16 Jul 2025
An 81-year-old patient with symptomatic severe aortic stenosis, a 74° horizontal aorta, and critically low coronary height—a challenging mix that pushed the heart team to weigh all procedural options. Discover how detailed CT analysis, intra-procedural strategy, and step-by-step imaging assessments guided their approach. What would you...
Author

How should I manage a patient with insufficient surgical closure of the left atrial appendage
26 Jun 2025
Incomplete surgical LAA closure: how would you proceed?
Despite prior closure with an Atriclip during CABG, transoesophageal echocardiography reveals a persistent LAA gap in a high-risk patient with recurrent bleeding.
Explore the clinical details, imaging, and treatment dilemmas—then share your management approach!

Author

When bleeding risk shapes your PCI strategy
05 Jun 2025
Managing ACS in a high-bleeding-risk patient is always a delicate balance. In this case, an 83-year-old with NSTEMI, advanced CKD, and a recent intracranial hemorrhage presented with a complex mid-to-distal LAD lesion. What would be your strategy?

Author

Primary tricuspid regurgitation: how can we avoid high-risk surgery?
08 Apr 2025
A 70-year-old male patient presents with severe dyspnea (NYHA III) and marked leg edema, alongside a complex medical history including hypertrophic cardiomyopathy, pulmonary hypertension, and liver fibrosis.
With invasive hemodynamic measurements indicating elevated pressures and reduced cardiac output, how would you approach the treatment of this patient,...

Author

Author

Navigating LAA closure in retrobend chicken-wing anatomy
07 Mar 2025
A 76-year-old female patient with a history of atrial fibrillation and contraindication to long-term anticoagulation presents for left atrial appendage closure. However, preprocedural imaging reveals a challenging retrobend chicken-wing morphology. What is the best technique to optimize positioning and ensure safe, effective closure in this scenario?

Author

Author

Author

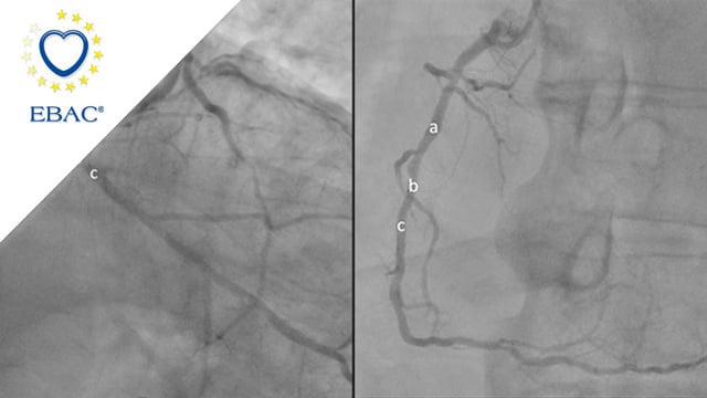
How should I treat a left main disease with multivessel diffuse CAD? Stenting only the necessary...
28 Feb 2025
A 71-year-old male patient with a clinicial history of hypertension, dyslipidemia and active smoking was admitted for NSTEMI.
Coronary angiography showed a left main (LM) stenosis involving the bifurcation and proximal parts of the left anterior descending (LAD) and left circumflex (LCx) arteries. Right coronary artery (RCA) showed a severe...

Author

Degenerated bioprosthesis and Bentall surgery: how to track and position the valve with an angulated ascending aorta conduit?
06 Feb 2025
Complex procedures, such as TAVI in patients with a degenerated bioprosthesis and a Bentall surgery history, demand meticulous planning. This case highlights the importance of computed tomography imaging to minimize procedural risks and explores the snare strategy for navigating anatomical constraints. Learn how this approach, adaptable to...

Author

Author

Author

Functional and structural Tricuspid Regurgitation after TAVI with subsequent AV block III and pacemaker implantation: How should I treat?
24 Jan 2025
An 80-year-old man with severe aortic stenosis and significant comorbidities, including renal failure, diabetes, and diffuse atherosclerosis, underwent TAVI; however, post-procedure, he developed symptomatic bradycardia requiring a pacemaker, which later contributed to severe tricuspid regurgitation due to chordal rupture and mechanical leaflet displacement. How would you treat...

Author
