92 results
PCR: Collaborative, inclusive and global
15 Nov 2025 – From PCR London Valves 2025
At PCR, collaboration and inclusion are at the heart of everything we do.
Together, we create an environment where expertise is shared, talents complement each other, and diversity becomes a strength. It is this collective spirit that drives interventional cardiology forward and inspires innovation every day.
During PCR London...
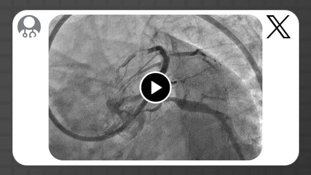
Validation of intravascular ultrasound-defined optimal stent expansion criteria for favorable 1-year clinical outcomes
17 Nov 2025
This individual patient data analysis of the three largest RCTs evaluating IVUS-guided stent optimisation showed that an MSA > 5.5 mm2 was associated with reduced TVF at one year.

Reviewer

Reviewer
Spotlight on a selection of top Late-breaking Trials presented at PCR London Valves 2025
17 Nov 2025
View a snapshot of the results of these 4 trials in valvular and structural interventions presented in London during this year's Heart Team Course!
PARTNER 3: transcatheter or surgical aortic-valve replacement in low-risk patients at 7 years
14 Nov 2025
At 7 years, low-risk patients affected by severe symptomatic aortic valve stenosis 1:1 randomly treated by SAPIEN 3 TAVI or surgery showed similar clinical outcomes and late valve durability

Reviewer

Reviewer
Ten trials from AHA 2025
12 Nov 2025
Alessandro Sticchi provides us with a curated overview of the late-breaking trials he found most relevant for interventional cardiologists from AHA 2025.

Author
MITRACURE: From results to next steps
Edoardo Zancanaro interviews Julien Dreyfus & David Messika-Zeitoun about the MITRACURE registry, a large international initiative aimed at capturing real-world data on patients with mitral regurgitation referred for surgery. in 2019. The study shows outcomes differ from expert centers, with higher mortality and lower repair rates, especially...
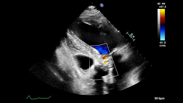
A simple maneuver to track the wire during a transseptal mitral valve-in-valve procedure
05 Nov 2025
Advancing a transcatheter heart valve through the septostomy can be tricky, with the wire sometimes prolapsing into the left atrium.
This step-by-step tutorial demonstrates a simple yet effective maneuver that allows smooth, controlled navigation from the right atrium to the mitral position, ensuring precise valve deployment.

Author

Author

Author

Author

Author
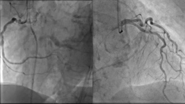
The effectiveness and safety of a planned investment procedure in high-risk chronic total occlusions - The INVEST CTO single arm study
03 Nov 2025
Kalaivani Mahadevan and Sofia Papadopoulou provide their take on the INVEST CTO trial, presented by Anja Oksnes at TCT 2025, in San Francisco.

Author

Author
Percutaneous coronary intervention of native coronary artery versus saphenous vein graft in patients with prior coronary artery bypass graft surgery (PROCTOR)
03 Nov 2025
Kalaivani Mahadevan and Trisha Singh provide their take on the PROCTOR study presented by Ruben de Winter at TCT 2025, in San Francisco.

Author

Author
iFR versus angiography-guided CABG: 3-year results of the iCABG randomised trial
31 Oct 2025
Alex Sticchi provides his take on the iCABG trial presented by Rasa Ordiene at TCT 2025, in San Francisco.

Author