My PCR
Login
Create Account
Login Create Account
Logo PCR Companion desktop Logo PCR Companion mobile
Logo PCR
  • Topics
    • Coronary Interventions
      • STEMI
      • NSTEMI
      • Stable CAD
      • Stents, scaffolds and DCB
      • Left main and multivessel disease
      • Bifurcation lesions
      • CTO
      • Other coronary interventions
    • Interventions for Valvular Disease
      • TAVI
      • Mitral valve replacement and repair
      • Tricuspid / Pulmonary valve
      • Other valvular and structural interventions
    • Interventions for Heart failure
      • Acute heart failure
      • Chronic heart failure
    • Peripheral Interventions
      • Below the knee
      • AAA
      • Iliac / Femoral / Popliteal
      • Other peripheral interventions
    • Interventions for Hypertension
      • Renal artery angioplasty
      • Renal denervation
      • Other hypertension
    • Interventions for Stroke
      • Carotid stenting
      • LAA Closure
      • Ischaemic stroke
      • Other stroke interventions
  • Courses
    • Courses Overview
      • Educational Funds
      • LIVE Demonstrations
      • Building education
      • PCR Submissions
      • PCR Glossary
    • General
      • EuroPCR
      • GulfPCR-GIM
      • AICT-AsiaPCR
      • SASCI-AfricaPCR
    • Valvular interventions
      • PCR London Valves
      • PCR Fundamentals Course 
      • PCR-CIT China Chengdu Valves
      • PCR Tokyo Valves
      • PCR Imaging Valves Madrid
      • PCR Gulf Valves
      • PCR Rio Valves
      • AVAM
    • Other Initiatives
      • PCR Innovators Day
      • PCR Fellows Course
      • PCR Seminars
      • PCR Global Interventional Academy
      • Euro4C Annual Meeting
    • Certifications
      • Advanced Course on Transseptal Puncture
      • Alfieri's Boot Camp
  • Cases & Resources
    • Course Resources
      • Course slides & videos
      • Educational interviews
      • Abstract Books
      • Recommended by the Teaching Assessment Board
    • Cases
      • Euro4C cases
      • LIVE cases
      • Read & Share cases
      • Twitter cases
    • Tools & Practice
      • My Toolkit
      • The Essentials
      • Anatomy of the aortic valvar complex
      • Aortic stenosis patient booklets
    • Complications
      • Managing complications: cases, videos and resources
    • Images in Cardiology
      • An image is worth a 1,000 words: EuroPCR
      • EuroIntervention: image in cardiology
    • Zoom on
      • Interventional CV imaging
      • Calcified lesions
      • Interventional CV surgery
      • Radial approach
      • Research, cases and webinars in tricuspid interventions
  • Webinars
    • PCR Webinars
      • Calendar
      • Replay
      • Testimonials
    • Heart to Heart
      • View conversations
    • Other educational content
      • Other webinars
      • Radial Approach
        E-Learning
  • News
    • Newsroom
      • What's new in Interventional Cardiology
      • PCR Press Releases
      • Industry Press Releases
    • Congress coverages
      • ESC
      • TCT
      • ACC
      • AHA
    • Industry Partner Perspectives
      • Sponsored Content
  • Publications
    • Textbooks
      • The PCR Textbook
      • PCI Textbook
      • The History of Coronary Angioplasty
    • Academic Journals
      • EuroIntervention
      • AsiaIntervention
    • Journal Reviews
      • PCR Journal Club
      • PCR Journal Club team
    • Trials
      • The PCR Trials Book
    • Podcasts
      • PCR Perspectives
      • Heart to Heart
      • Angioplasty history
      • EuroIntervention podcasts
  • About PCR
    • Who we are
      • Get to know PCR
    • A platform of communities
      • Mitral Focus Group
      • MCS Focus Group
      • Tricuspid Focus Group
      • Euro4C
    • Friends of PCR
      • Improving Heart Function (iHF)
      • Education in cardiology
      • We CARE
    • Connect with PCR
      • MyPCR
      • PCR Companions
      • PCR Newsletters
      • PCR Charter
      • PCR Tools
    • The history of interventional cardiology
      • The history of angioplasty
      • The history of TAVI

Advertisement

By and For the Interventional Cardiovascular Community. Sharing knowledge, experience and practice in cardiovascular interventional medicine

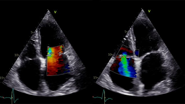
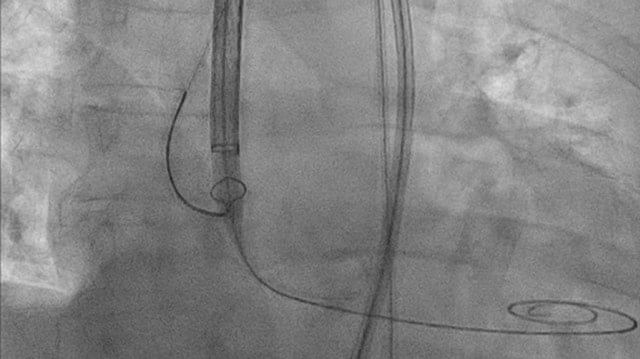
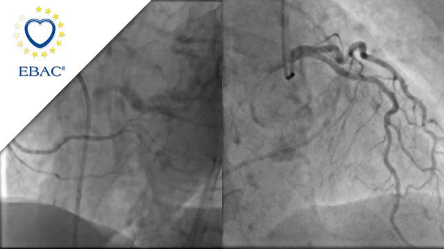
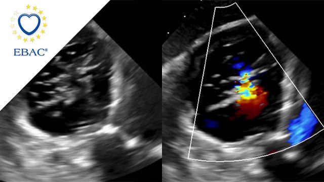
Severe MR in a high-risk patient with a suboptimal anatomy for M-TEER: what other options can we find?

Severe MR in a high-risk patient with a suboptimal anatomy for M-TEER: what other options can we find?

Multimodality imaging reveals fibro-calcific leaflet disease, restricted motion, and a short posterior leaflet, making him a suboptimal candidate for M-TEER and prompting consideration of transcatheter mitral valve replacement. How would you treat?

Read More
Distal Radial Access
20 Feb 2026

Distal Radial Access

Distal radial access is transforming vascular interventions. Explore this step-by-step My Toolkit guide to overcome technical challenges, preserve radial arteries, and deliver safer, more comfortable procedures.

19 Feb 2026

Revisiting aortic valve replacement in light of the new ESC/EACTS guidelines

Register for free to this webinar on Wednesday 4 March at 5:00pm with O. De Backer, A. Öner and L. Conradi and T. Pilgrim to discover how cardiac CT is becoming essential for assessing severe aortic stenosis.

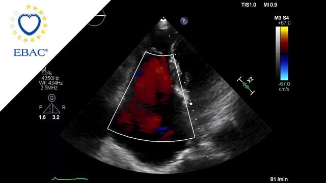
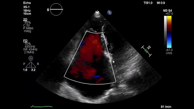
What are the key considerations when managing combined mitral and tricuspid regurgitation?
17 Feb 2026

What are the key considerations when managing combined mitral and tricuspid regurgitation?

Fabien Praz and Neil Fam talk about the management of patients with combined mitral and tricuspid regurgitation, who are often elderly with heart failure and multiple comorbidities. C

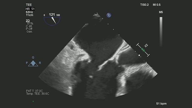
A challenging valve-in-valve scenario in a patient with prior aortic coarctation repair
16 Feb 2026

A challenging valve-in-valve scenario in a patient with prior aortic coarctation repair

A 79-year-old with a degenerated aortic bioprosthesis after complex coarctation surgery challenges conventional strategies. Which access route would you choose?

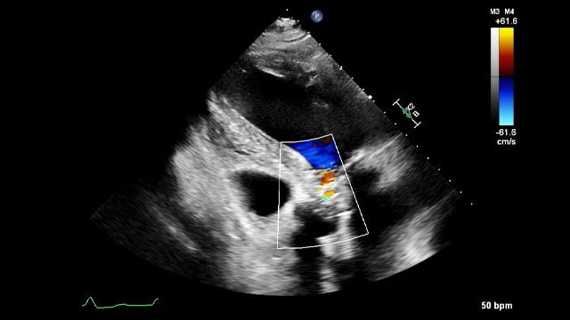
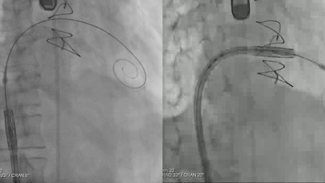
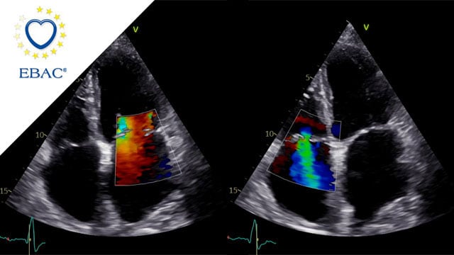
M-TEER with Mitraclip Gen5
16 Feb 2026

M-TEER with Mitraclip Gen5

An 83-year-old woman with HFrEF from NICM, hypertension, and persistent AF presents with worsening exertional dyspnea, severe functional MR, and moderate TR. How would you manage this patient?

More News

Register now

Join #Euro4C – Register now!

Join #Euro4C – Register now!

Don't miss Euro4C on 27-28 February 2026. Secure your place at this new initiative and join participants from all over the globe to learn all about calcified complex lesions. Be part of it at the best available rate!

Join EuroPCR – Register Now!

Join EuroPCR – Register Now!

Don't miss EuroPCR on 19-22 May 2026 in Paris! Learn about the latest advancements in interventional cardiovascular medicine. Check out our rates and take advantage of the best available fee. Sign up fast!

Register for PCR Fellows Course 2026

Register for PCR Fellows Course 2026

Don't miss out on the PCR Fellows Course on 18 May 2026! Early career physicians and fellows, register today to secure your spot. Expand your knowledge, engage with experts, and network with peers in your field.

  1. 1
  2. 2
  3. 3

Journal Club

Intra-annular self-expanding or balloon-expandable TAVI in small annuli: the NAVULTRA registry Ticagrelor vs prasugrel in patients with diabetes and multivessel coronary artery disease: the TUXEDO-2 randomised clinical trial LV function after complete revascularisation in STEMI and MVD insights from the COMPLETE trial
More Articles

Advertisement

PCR WEBINARS

Revisiting aortic valve replacement in light of the new ESC/EACTS guidelines

Register for free to this webinar on Wednesday 4 March at 5:00pm with O. De Backer, A. Öner and L. Conradi and T. Pilgrim to discover how cardiac CT is becoming essential for assessing severe aortic stenosis.

Overcoming complexity in TAVI: a patient-centered approach

Overcoming complexity in TAVI: a patient-centered approach

Discover how to overcome complexity in TAVI, in this replay featuring H. Möllmann and guests R. Hahn, W-K. Kim and P. Lauten.

TTVR: will the current guidelines change our work in treating patients with relevant TR?

TTVR: will the current guidelines change our work in treating patients with relevant TR?

Watch the replay to explore TTVR with P. Nikolai, H. Priebe-Brämer and M. Weber, and discuss current indications for transcatheter tricuspid interventions.

Will the SELUTION DeNovo trial impact your current PCI practice?

Will the SELUTION DeNovo trial impact your current PCI practice?

Discover how the SELUTION DeNovo trial will impact your current PCI practice, in this replay featuring N. Gonzalo and guests S. Eccleshall, P. O'Kane and T. Rissanen, packed with actionable insights and strategic perspectives.

Transcatheter tricuspid valve replacement: who to treat and how to implement into my practice

Transcatheter tricuspid valve replacement: who to treat and how to implement into my practice

In this on-demand webinar, F. Praz, P. Lurz, M. Adam, and T. Patterson explore TTVR, sharing key insights and the latest clinical evidence supporting TTVR.

  1. 1
  2. 2
  3. 3
  4. 4
  5. 5

PCR SUBMISSIONS

Submit before 6 April and get recognition from your peers!

Would you like to gain visibility, refine your work through valuable peer feedback, and open doors to career advancement? All that (and more) is possible when your submission is selected to be showcased at PCR Fellows Course 2026!

SUBMIT NOW

Courses' Programme

Euro4C 2026 Programme – Immersive Learning for Complex Coronary Care

Explore the Euro4C 2026 interactive programme: hands-on training, real-world cases, and practical insights for managing complex coronary lesions. Join your community!

EuroPCR - First spotlight on the 2026 Scientific Programme

8 LIVE Centres, CTO track, Calcium Skills Lab, focus on innovation, Learning Rooms… Discover the life-saving education lined up in Paris.

  1. 1
  2. 2

Aortic valvar complex

Anatomy of the aortic valvar complex

Anatomy of the aortic valvar complex

Understanding the anatomy of the aortic valvar complex is important: from the aortic root, aortic sinuses, sinotubular junction, aortic leaflets, anatomy of the so-called "Aortic Annulus" and more…

read more

My Toolkit

How to perform ultrasound-guided pericardiocentesis without X-rays

How to perform ultrasound-guided pericardiocentesis without X-rays

My toolkit: A problem-solving step by step tutorial provided by Christian Dworeck & Tobias Schmidt

Read more

Read & Share cases

Interdisciplinary therapeutic strategy in a low-risk patient with aortic stenosis and preserved life expectancy

Interdisciplinary therapeutic strategy in a low-risk patient with aortic stenosis and preserved life expectancy

A 71-year-old low-risk patient with symptomatic severe aortic stenosis and preserved LV function: which strategy would you choose to optimise long-term outcomes?

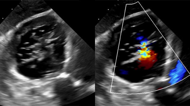
How should I treat a torrential tricuspid valve regurgitation in a young patient who remains symptomatic despite optimal medical therapy?

How should I treat a torrential TR in a young patient who remains symptomatic despite OMT?

A frail patient presents with worsening NYHA class III dyspnoea and peripheral oedema despite optimal medical therapy...

LAA closure with CT planning: challenging inferior chicken wing morphology

LAA closure with CT planning: challenging inferior chicken wing morphology

A 77-year-old woman with paroxysmal AF and prior GI bleeding is referred for LAA closure, but CT reveals a shallow, inferior chicken-wing morphology that complicates device selection and planning. How would you treat?

  1. 1
  2. 2
  3. 3
More cases
PCR online logo

By and For the Interventional Cardiovascular Community. Sharing knowledge, experience and practice in cardiovascular interventional medicine

Subscribe to our Newsletter

Newsletter

General Courses

  • EuroPCR
  • AICT-AsiaPCR
  • GulfPCR-GIM
  • SASCI-AfricaPCR

Courses on Valvular Interventions

  • PCR London Valves
  • PCR Fundamentals Course 
  • PCR-CIT China Chengdu Valves
  • PCR Tokyo Valves
  • PCR Imaging Valves Madrid
  • PCR Gulf Valves
  • PCR Rio Valves
  • AVAM

Other Courses

  • PCR Innovators Day
  • PCR Fellows Course
  • PCR Seminars

Online education

  • PCR Edu Online
  • PCR Webinars

Cardiology Event Calendar

 

PCR Companions

 

Online store

  • PCR bookshop

Additional Resources

  • Course Resources
  • Social Media for Healthcare Professionals
  • Women in Interventional Cardiology

Academic journals

  • EuroIntervention
  • AsiaIntervention

Textbooks

  • The PCR Textbook
  • PCI Textbook
  • The History of Coronary Angioplasty

Trials

  • The PCR Trials book

Podcasts

  • PCR Perspectives
  • Heart to Heart Conversations
  • 60 years of transluminal angioplasty

About us

  • PCR Board
  • Editorial board
  • Useful links
  • Terms and Conditions
  • Disclaimer
  • Legal notice
  • Privacy Policy
  • Cookies Policy
  • Contact us
  • Cookie management

Network

  • Improving Heart Function (iHF)
  • Mitral Focus Group
  • MCS Focus Group
  • Tricuspid Focus Group
  • We CARE
  • Euro4C
  • SHARE
© 2005-2026 Europa Group - All rights reserved