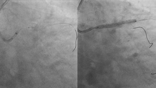
Coronary perforation
Perforations can be life threating and need to be managed correctly. Discover this section presented by O. Muller, P. Calvert, M. Haude, E. Eeckhout and A. Lerman.
Complications can be classified in a variety of ways but are traditionally described either in relation to disease indication, the general phases of a procedure, or the use of specific devices. In this section you will find clinical cases related to Complications provided by experts in interventional cardiology and learn how to recognise, anticipate and treat most frequent coronary complications. The aim is to engage in this effort at designing a unique resource that colleagues from the interventional community will be able to rely on to prevent, diagnose and treat complications.
Consult the complications section on Coronary perforations or visit the latest resource which explains how to manage embolised device complications like a Coronary implant loss, in particular Coronary stent dislodgement, lost scaffold, guidewire loss and balloon fracture.
Your comments are welcome! Use this section to share YOUR experience and/or questions with your peers. Please remember to log into your account to read or make any comments or contributions.