28 Nov 2022
Technical challenges and optimal device choice for complex TAVI procedures
Sponsored by Medtronic
Anchorperson:
M. Abdel-Wahab
Moderator:
M. Adam
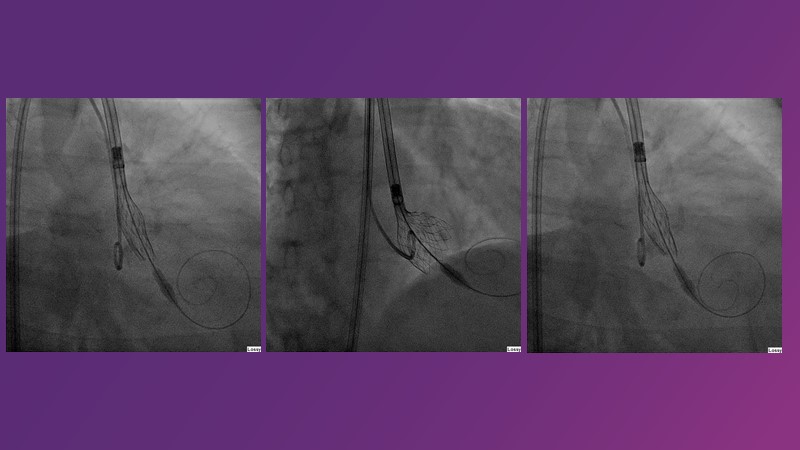
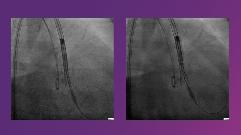
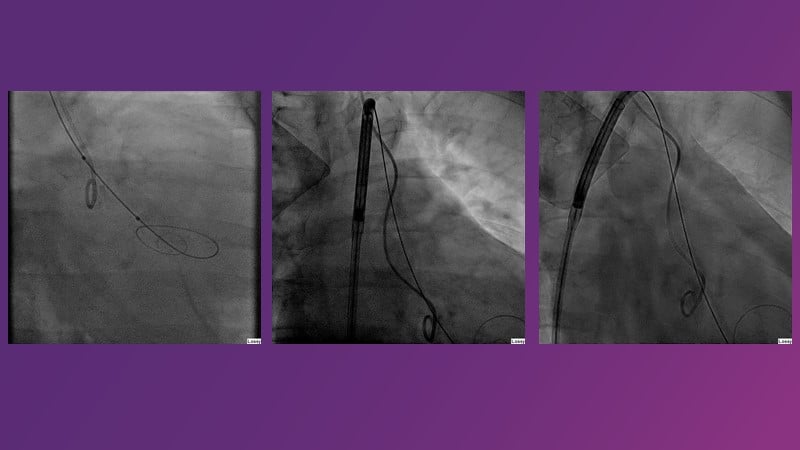
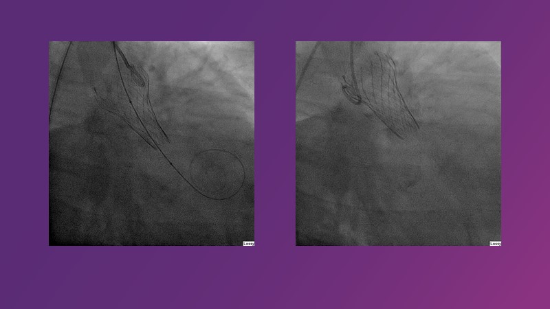
Summary
This session reflects on the importance of device choice and implantation technique in complex TAVI procedures. Learn how to anticipate the risks of a valve-in-valve procedure in small surgical prostheses, and discover the latest technological evolutions for treating patients with complex anatomy.
Learning Objectives
- To appreciate the importance of device choice and implantation technique in complex TAVI procedures
- To learn how to anticipate the risks of a valve-in-valve procedure in small surgical prostheses
- To discern the latest technological evolutions for treating patients with complex anatomy


