Expandable TAVR sheaths: which sheath fits which prosthesis?
A step-by-step problem-solving tutorial
This toolbox provides interesting information on which expandable sheath fits which prosthesis.
Frequency of the problem:
Expert level:
Summary
Transfemoral access has become gold standard for TAVR. Due to major modifications of devices, especially in terms of smaller diameters and higher flexibility, even complex anatomies can be treated. Therefore, indications for transfemoral access have been expanded in recent years. However, severe kinking, as well as severe calcification, or, even worse, a combination of both, of the femoral or the iliac artery remains an important reason for device failure or severe complications, including bleeding or dissection. Thus, the insertion sheath or valve prosthesis of the chosen device could sometimes not be inserted. In these cases, the use of an expandable sheath, such as the Edwards eSheath® or the Boston iSleeve®, may be an option to solve this problem.
The problem
Pre-procedural CT scan is mandatory in all TAVI cases, and clear non-femoral cases can easily be identified and planned for alternative access. For transfemoral cases, the type of valve and material for the procedure are usually chosen prior to procedure, based on pre-procedural data, including special attention to anatomical and functional properties or experience. However, sometimes, pre-procedural assessment differs from exact behavior of calcifications, especially when combined with tortuosity during the intervention, and, in some cases, the chosen device cannot be inserted using the standard material (Video 1).
In these cases, changing the insertion sheath to an expandable or a different expandable sheath might be an option to avoid more invasive procedures such as surgical cut-down or balloon angioplasty; the use of an expandable sheath might be an option to be able to address complex anatomies during a procedure (Videos 2 and 3).
Especially in borderline anatomies, the use of a sheathless prosthesis may be favourable, as it can be easily removed in case of insertion problems. Then, an expandable sheath can be attempted and the prosthesis can be reinserted. This also applies to large valve sizes, such as Evolute R 34 mm (Figure 1).

Figure 1: Evolute R 34mm through 14F eSheath®
The main idea
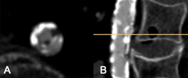
Actually, two different expandable sheaths are commercially available. The Edwards eSheath is available in two sizes (14 or 16 F), and the Boston iSleeve® in one size (14 F). The Edwards eSheath® is softer and more flexible compared to the Boston iSleeve®, which can be an advantage in severe kinking without severe circular calcification. In contrast, the stiffer shaft of the Boston iSleeve® may be favorable in more calcified anatomies, which need to be smoothly dilated (Figure 2, Videos 4 and 5).

Figure 2: CT-scan with severe circular calcified abdominal stenosis (diameter 5x3mm) (A: axial B: sagittal)
Material needed
- Boston Scientific iSleeve 14 F
- Edwards Lifesciences eSheath 14 F
- Edwards Lifesciences eSheath 16 F
Points of specific attention
- Indication for TAVR extends to more complex anatomies. Expandable sheaths could be helpful, especially in calcified and/or tortuous vessels, as well as for valve prostheses, which were usually implanted sheathless, or with other larger, not expandable insertion sheaths.
- The table provides information on which valve prosthesis could be inserted through which expandable sheath to avoid more invasive options.
Table 1: which expandable sheath fits which valve prosthesis?
(NA = not applicable, ✓= can be used; ✕ = cannot be used)
Edwards eSheath® 14F | Edwards eSheath® 16F | Boston Sienctific iSleeve® 14F | |
Acurate neo 2 | |||
S | ✓ | ✓ | ✓ |
M | ✓ | ✓ | ✓ |
L | ✓ | ✓ | ✓ |
Navitor | |||
23 | ✓ | ✓ | ✓ |
25 | ✓ | ✓ | ✓ |
27 | ✓ | ✓ | ✓ |
29 | ✓ | ✓ | ✓ |
Evolute R | |||
23 | ✓ | ✓ | ✓ |
26 | ✓ | ✓ | ✓ |
29 | ✓ | ✓ | ✓ |
34 | ✓ | ✓ | ✓ |
Edwards SAPIEN 3 | |||
23 | ✓ | ✓ | NA |
26 | ✓ | ✓ | NA |
29 | ✕ | ✓ | NA |
A word from the reviewer: Alex Wolf
Severe kinking in combination with severe calcification can be problematic in advancing “sheathless” TAVI valves, such as the Abbott Navitor FlexNav™ or the Medtronic InLine Sheath. Using an expandable sheath can be a helpful solution to successfully master transfemoral access in these complex anatomies.




No comments yet!