3843 results for «2268»
3843 results
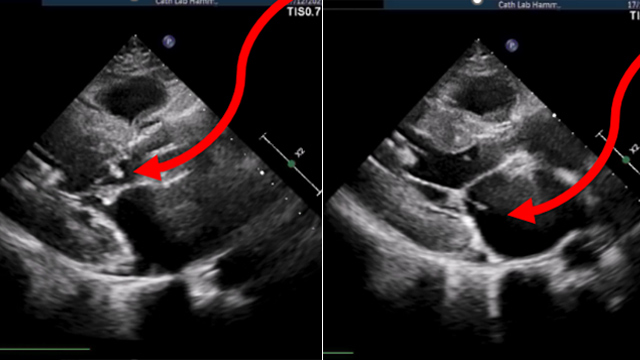
Thrombotic complications of transcatheter valves
17 Nov 2025 – From PCR London Valves 2025
Focusing on thrombotic complications following transcatheter valve implantation, this session presents a series of complex cases illustrating acute and late thrombotic events, their clinical presentations, and the pivotal role of multimodality imaging in diagnosis and management. Insights include coronary embolism and cardiogenic shock scenarios, emphasizing challenges...
TAVI: coronary protection
17 Nov 2025 – From PCR London Valves 2025
This session addresses coronary protection strategies during TAVI procedures, especially in complex scenarios such as valve-in-valve interventions, small annulus, and high-risk anatomy. It covers advanced techniques like BASILICA and bioprosthetic valve fracture, providing expert guidance on overcoming challenges to prevent coronary artery obstruction and optimize procedural...
TAVI: unusual complications - Part 2
17 Nov 2025 – From PCR London Valves 2025
This session reviews unusual and severe complications encountered during TAVI procedures, such as aorto-right ventricular fistula, ventricular perforation, and sinus of Valsalva rupture. It highlights percutaneous treatment successes and endovascular interventions, offering critical insights into managing life-threatening procedural complications effectively.