Wenn eine chirurgische Klappe ein zweites Leben braucht
Ein 79-jähriger Patient, der zuvor mittels chirurgischem Aortenklappenersatz behandelt worden war, wurde nach einer Episode akuter kardialer Dekompensation überwiesen. Obwohl der Patient klinisch stabilisiert werden konnte, zeigte die weiterführende Diagnostik eine Degeneration der Bioprothese sowie eine gemischte Aortenklappenpathologie.
Dieser Fall konzentriert sich auf die diagnostische Abklärung und die strategischen Überlegungen, die die Entscheidung für einen interventionellen Valve-in-Valve-Ansatz bei herausfordernder Anatomie geleitet haben.
Author
Latest contributions
When a surgical valve needs a second life Challenging session in calcified lesionsCase summary
- Ein 79-jähriger männlicher Patient wurde aus einem Partnerkrankenhaus übernommen
- Er war dort 10 Tage zuvor mit akuter kardiale Dekompensation aufgenommen worden
- Aufgrund einer respiratorischen Insuffizienz wurde er nicht-invasiv beatmet
- Da er eine Lungenentzündung entwickelte, erhielt er intravenös Diuretika und Antibiotika
- Bei seiner Ankunft in unserer Einrichtung war er ausreichend kompensiert
- Die Laborwerte waren normal, aber NT-proBNP blieb mit 2900 pg/ml deutlich erhöht
- Der Patient hatte sich 2008 aufgrund einer schweren Aortenklappenstenose einem chirurgischen Aortenklappenersatz (Perimount 23 mm) unterzogen
- Aufgrund eines persistierenden Vorhofflimmerns, das 2022 mit einer Pulmonalvenenisolation behandelt worden war, erhielt der Patient eine orale Antikoagulation
- Zum Zeitpunkt der Aufnahme befand er sich im Sinusrhythmus
- Bei ihm war ein Prostata Karzinom diagnostiziert worden, das medikamentös therapiert wurde, aber in den Hüftknochen metastasiert war
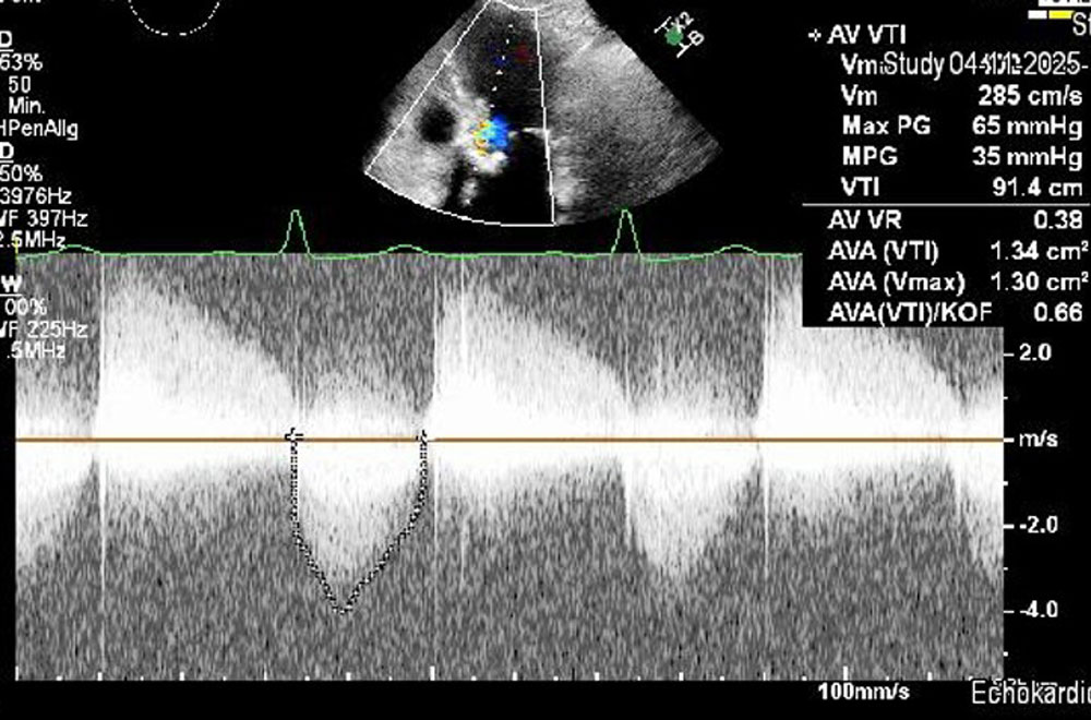
Echokardiographie

mittelschwere bis schwere Aortenklappeninsuffizienz
mittelschwere Aortenklappenstenose
Koronarangiographie und CT
Koronarsklerose




Diagnose
- Kardiale Dekompensation aufgrund einer Degeneration der chirurgischen Aortenklappenprothese


Risikoberechnung für eine erneute Operation
- STS-Score 2,17 für operative Mortalität
- 15,5 % für Morbidität und Mortalität
Überlegungen
- Perioperative Risikoberechnung spricht für einen interventionellen Ansatz
- Kleine Wurzelanatomie, insbesondere für einen männlichen Patienten
- Niedriger Koronarabstand







No comments yet!