Wie soll ich vorgehen? Aortenklappenstenose: kleine Anatomie, geringer Koronarabstand und extrem horizontale Aorta
Eine 81-jährige Patientin leidet an einer schweren Aortenklappenstenose, das CT zeigt eine horizontalen Aorta (74°), einen geringen Koronarabstand und einen kleinen Annulus. Angesichts dieser zahlreichen anatomischen Hindernisse und hohen Risiken des Eingriffs stand das Herzteam vor einer schwierigen Entscheidung. Welche Strategie würden Sie wählen?
Author
Zusammenfassung des Falls
Hintergrund
Eine 81-jährige Patientin (Größe: 152 cm/Gewicht: 59 kg) wurde wegen einer symptomatischen schweren Aortenklappenstenose in unser Aortenklappenprogramm überwiesen. Sie klagte über progressive Belastungsdyspnoe (NYHA-Funktionsklasse III) und Angina pectoris (CCS-Funktionsklasse III). Ihre Anamnese umfasste eine beidseitige Hüfttotalendoprothese, eine Beckenringfraktur im Vorjahr infolge eines Sturzes und eine hyperchrome makrozytäre Anämie (Hämoglobin [Hb] 9,8 g/dL)
Kardiovaskuläre Risikofaktoren:
Bluthochdruck
Chirurgisches Risiko:
EuroScore I (log): 8,44%, EuroScore II: 2,04%, STS-vorhersehbares Sterberisiko: 6,71% , STS-Risiko für Morbidität und Mortalität: 13,6%
Diagnose
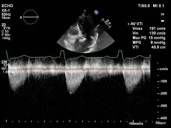
Die transthorakale Echokardiographie zeigte eine schwere Aortenklappenstenose mit einem mittleren Gradienten von 65 mmHg (Abbildung 1) und einer Aortenklappenöffnungsfläche von 0,6 cm². Die linksventrikuläre Auswurffraktion betrug 60 %. Erhaltene rechtsventrikuläre Funktion, geringgradige Mitral- und Trikuspidalregurgitation.
Ein Koronarangiogramm ergab eine leichte Sklerose der Koronararterien.
Die Planungs-Computertomographie (Abbildung 2-6) zeigte eine stark verkalkte Aortenklappe (Agatston-Score 3.398, Kalziumvolumen 2.627) mit leicht asymmetrischen Taschenklappen, wobei die nichtkoronare Tasche die größte war. Der linksventrikuläre Ausflusstrakt (LVOT) war verkalkt, beginnend auf Annulusebene bis 5,1 mm in den LVOT unterhalb der linkscoronaren Tasche reichend. Die Aortenwurzeldiameter waren niedrig: Anulus (aus dem Perimeter abgeleiteter Durchmesser 22,3 mm), linker ventrikulärer Ausflusstrakt (LVOT) bei 4 mm (19,9 mm), Sinus valsalva (SOV) (links 24,4 mm, rechts 25,3 mm, noncoronar 27,3 mm) und sinutubulärer Übergang (STJ) (24,0 mm). Darüber hinaus zeigte sich ein geringer Abstand des Ostiums der linken Koronararterie zum Annulus (8,6 mm) und eine horizontale Aorta (74°). Die Aorta, die Iliaca und die Femoralarterien waren für einen transfemoralen Zugang geeignet.

Abbildung 1: TTE

Abbildung 2: Computertomographie - Übersicht Aortenklappe

Abbildung 3: Computertomographie - Aortenklappe und LVOT

Abbildung 4: Computertomographie - Koronarabstand

Abbildung 5: Computertomographie - Gefäßzugang

Abbildung 6: Computertomographie - horizontale Aorta
Diagnose:
Schwere symptomatische Aortenklappenstenose mit Indikation zur Therapie
Erwägungen:
- Alter und STS-PROM sprechen eindeutig für einen interventionellen Ansatz
- Herausforderung einer interventionellen Behandlung (transfemorale TAVI):
- Kleiner Aortenklappenannulus
- Niedriger Koronarabstand (LCA 8,6 mm) mit kleinem Diameter in SOV und STJ, daher potenzielles Risiko einer periinterventionellen Koronarobstruktion
- Horizontale Aorta mit 74°
Überlegungen und Entscheidung
Bei der Besprechung im Herzteam kamen wir zu dem Schluss, dass die Patientin aufgrund ihres Alters, ihrer Gebrechlichkeit und ihres STS-Scores eine Kandidatin für eine TAVI war.
Aufgrund der Verkalkung im LVOT und des geringen LVOT Diameters kam eine ballonexpandierbare Klappe nicht in Frage. Wir befürchteten, dass bei den beiden zu diesem Zeitpunkt (November 2024) zur Verfügung stehenden selbstexpandierenden supraannulären Klappen ein hohes Risiko einer Obstruktion der linken Koronararterie aufgrund des schmalen SOV/STJ und des kompakten Stentgerüsts (Abbildung 7A) oder aufgrund der räumlichen Nähe der oberen Krone zum Ostium der linken Koronararterie (Abbildung 7B), bestehen würde. Daher entschieden wir uns für eine transfemorale TAVI mit der 25 mm Abbott Navitor Vision selbstexpandierenden intra-annulären Prothese.
Falldarstellung – Schritt für Schritt /Implantation:
Ultraschallgesteuerte Punktion der rechten und linken Arteria femoralis communis (die rechte Arteria radialis ist als zweiter Zugang ungeeignet) und der rechten Vena femoralis. Platzieren eines temporären Herzschrittmachers im Apex des rechten Ventrikels.
Platzieren eines Proglide-System in der linken AFC, anschließend Einführen einer 14F-Schleuse über einen steifen Draht (Safari-S). Angiografische Bestätigung der 3-Cusp Ebene mittels Pigtail über den rechten femoralen Zugang. Passage der Aortenklappe und Einführen eines steifen Drahtes in den linken Ventrikel (Safari-S-Draht).
Anschließend wurde das korrekte Crimpen der Navitor Vision 25 mm unter Durchleuchtung überprüft. In einer C-Bogen-Angulation mit Exposition des LCA Ostiums (LCA-view: LAO 31 CRA 10) erfolgte eine Prädilatation der nativen Aortenklappe mit einem 20 mm semi-compliant Ballon (VACS III) unter ventrikulärer Schrittmacherstimulation (180-200/min). Während der vollständigen Balloninflation erfolgte eine Aortographie, die eine ausreichende Distanz zwischen der linken Taschenklappe und dem LCA Ostium zeigte. Die Länge der linkskoronaren Tasche erscheint kürzer als der Abstand des Anulus zur Koronararterie (Abbildung 8, Video 1).
Nach Entfernung der 14F-Schleuse wird die Navitor-Prothese schleusenlos und der Einführungskatheter über die AFC re eingeführt, der flush-port wird auf 12 Uhr orientiert. Die Passage des Aortenbogens und der Aortenklappe waren unkompliziert. Beginnend in der Cusp-Overlap-Projektion(LAO 13 CAU 36) wurde die Klappe langsam und kontrolliert unter wiederholten Injektionen geringer Kontrastmittelmengen über den non-koronar platzierten Pigtail-Katheter implantiert (Video 2).

Abbildung 7: Projektionen von 2 Typen von Transkatheter-Aortenklappen

Abbildung 8: Ballonprädilatation der Aortenklappe in "LCA-Ansicht"
Die Implantationshöhe linkskoronar wurde in einer LAO-Projektion kontrolliert (Video 3), dann wurde der Safari-Draht in den nose-cone des Katheters zurückgezogen und Prothese final implantiert (Video 4). Die Fluoroskopie in der cusp-overlap Projektion zeigte eine regelrechte Implantationshöhe der Prothese (Abbildung 9). Die Aortographie (durchgeführt in der "LCA-Ansicht") nach Klappenimplantation zeigte eine moderate residuelle Aortenklappenregurgitation (Video 5). Daher erfolgte eine Nachdilatation der Klappe mit dem VACS III 20 mm Ballon. Die anschließende Aortographie zeigte weiterhin eine moderate Regurgitation.
Wir entschieden uns dann für eine aggressivere Postdilatation mit einem 22-mm-Semicompliant-Ballon (ein Non-Compliant-Ballon war zu diesem Zeitpunkt nicht verfügbar), obwohl der schmale LVOT (19 mm) Verkalkungen aufwies(Video 6).
Anschließend zeigte die Aortographie nur eine leichtgradige residuelle Regurgitation, regelrechte Perfusion des linken Koronarostium und gute invasive Hämodynamik mit einem peak-to-peak Gradienten von 0 mmHg (Video 7). Die 14-F-Schleuse wurde entfernt und ein AngioSeal 6F wurde zusätzlich zum Proglide verwendet, um Hämostase an der Punktionsstelle zu erreichen.
Die postprozedurale transthorakale Echokardiographie zeigte ein gutes Ergebnis mit einem mittleren Aortenklappengradienten von 8 mmHg und einer trivialen bis geringgradigen paravalvulären Aortenklappenregurgitation (Abbildung 10, Video 8). Das EKG zeigte einen neuen Linksschenkelblock ohne weitere Überleitungsstörungen.
Der Patient wurde 4 Tage nach dem Eingriff entlassen.
Diskussion/Schlussfolgerung:
Obwohl eine extrem horizontale Aorta vorlag, war die Implantation der selbstexpandierenden intra-annulären Klappe unkompliziert, ohne dass es eine Repositionierung / Re-Sheating erforderlich war. Eine bewusst langsame Prothesenfreisetzung hilft, die Klappe positionsstabil bis zur vollständigen Expansion zu implantieren
Die Verwendung der "S-Kurve" der Annulusebene zur Identifizierung von Projektionen, die orthogonal zum Ostium der Koronararterien verlaufen, ist bei der Beurteilung des intraprozeduralen Risikos einer Koronarobstruktion hilfreich, da so die Ausdehnung der Taschenklappen während der Valvuloplastie und der simultanen Aortographie dargestellt werden können.

Abbildung 9: Implantationshöhe in der Cusp-overlap-Angulation

Abbildung 10: Postprozedurales TTE
Die Stellungnahme des eingeladenen Experten
Dr. Gonska präsentiert den Fall einer älteren Patientin mit symptomatischer schwerer Aortenklappenstenose, bei der gemäß den aktuellen Leitlinien zur Behandlung von Herzklappenerkrankungen eine Transkatheter-Aortenklappenimplantation indiziert war.
Die kontrastmittelverstärkte Computertomographie zeigte spezifische anatomische Herausforderungen: a) trikuspide Aortenklappe mit massiver Verkalkung (Agaston-Score 3,398), b) Verkalkungen des linkskoronren Annulus bis in den linksventrikulären Ausflusstrakt (LVOT) reichend, c) kleiner Aortenklappenannulus mit einem Durchmesser von 22 mm und schmalem 19 mm LVOT, d) kleine Aortenwurzeldimensionen, d) 8.6 mm Abstand des LCA-Ostiums zur Annulusebene und e) eine 74° horizontale Aorta.
Aufgrund der vorliegenden Anatomie bestanden potenzielle Risiken für den Eingriff: Annulusruptur, Koronarobstruktion, Unterexpansion der Klappenprothese und erschwerte Positionierung der Transkatheter-Herzklappe (THV) aufgrund der horizontalen Aorta.
In der Prozedurplanung wurde die Implantation einer ballonexpandierbaren THV aufgrund des Risikos einer Annulusruptur abgelehnt. Die virtuelle Implantation einer Katheterklappe in den rekonstruierten CT-Datensatz ergab ein potenzielles Risiko für eine Obstruktion der linken Koronararterie aufgrund der Dimensionen und des Designs des Medtronic Evolut THV Prothesenrahmens sowie einer Protrusion der oberen Krone der Boston Acurate THV, die nicht mehr im Handel erhältlich ist, in das LCA-Ostium.
Dr. Gonska und ihr Team entschieden sich für eine 25 mm Abbott Navitor Vision Prothese, die spezifische Vorteile für die anatomischen Herausforderungen des Falls bietet: selbstexpandierende Prothesenexpansion zur Vermeidung von Annulusverletzungen. Intraannuläre Segelposition minimiert zusätzliches Fremdmaterial im Bereich des Ostiums der linken Koronararterie. Das modifizierte FlexNav-Kathetersystem bietet verbesserte Steuerbarkeit und Flexibilität für eine stabile Klappenimplantation auch in schwierigen Gefäßverhältnissen.
Dr. Gonska und ihr Team führten den Eingriff entsprechend bestens klinischer Empfehlungen durch und fokussierten die spezifischen Herausforderungen: Um das Risiko einer Koronarobstruktion zu beurteilen, wurde eine Valvuloplastie mit gleichzeitiger Aortenwurzelangiographie in einer anhand der CT bestimmten C-Bogen-Angulation durchgeführt, um das LCA Osmium optimal zu darzustellen (LCA-Projektion). Die Navitor Prothese wurde in cusp-overlap-Projektion implantiert, um eine optimale Implantationstiefe im Bereich des non-koronaren Sinus zu erreichen und damit das Risiko von Leitungsstörungen zu minimieren. Durch bewusst langsames Freisetzen konnte eine stabile Position der Katheterklappe bis zur vollständigen Implantation erzielt werden. Ein paravalvuläres Leck (PVL) wurde erfolgreich durch Dilatation der Aortenklappenprothese behandelt, wobei aufgrund aufgrund der Annulusverkalkungen zunächst ein 20 mm und in der Folge ein 22 mm)´gewählt wurde. Final bestand ein geringgradiges PVL, invasiver Ausschluss eines Gradienten über die Aortenklappenprothese.
Die Fallpräsentation unterstreicht die Bedeutung einer dezidierten CT-Analyse zur Identifizierung spezifischer anatomischer Besonderheiten und zur Bestimmung der C-Bogen-Angulationen für eine optimale Visualisierung der prozedurrelevanten Strukturen. Neben der, insbesondere für die Implantation von selbstexpandierenden Transkatheterklappen etablierten cusp-overlap-Projektion, wurde in diesem Fall eine LCA-Projektion verwendet, um die räumliche Nähe zwischen nativem linkskoronaren Aortenklappensegel und dem LCA Ostium während der Valvuloplastie, die unter simultaner Aortenwurzelangiographie durchgeführt wurde, zu beurteilen.
Interessenkonflikte:
Dr. Ruge ist als Proctor für Medtronic, Abbott und Edwards Lifescience tätig, sowie Berater für Medtronic, Abbott und Edwards Lifescience und Mitglied des Abbott-advisory boards.
Interessenkonflikte
Dr. Gonska gibt an, Vortragshonorare von Medtronic, Boston Scientific und Abbott erhalten zu haben.












No comments yet!