22 May 2019
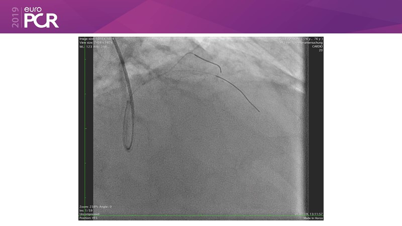
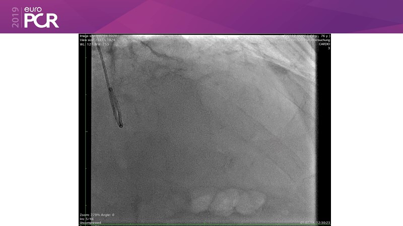
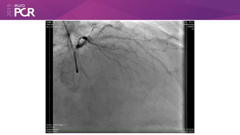
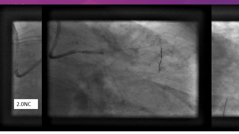
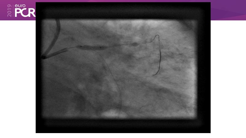
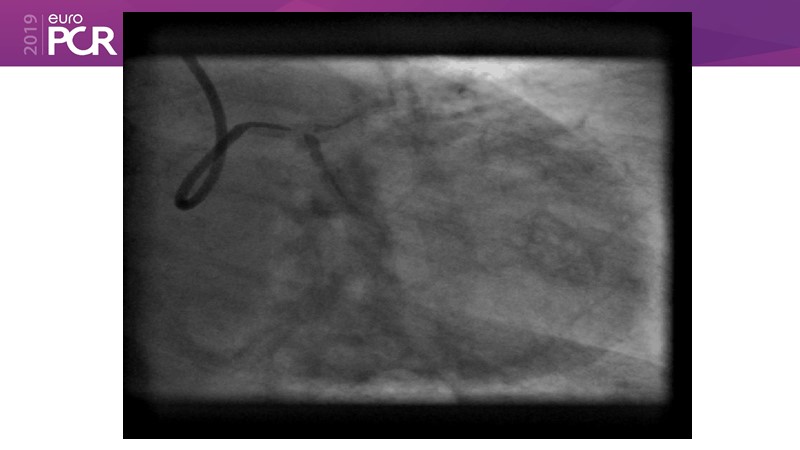
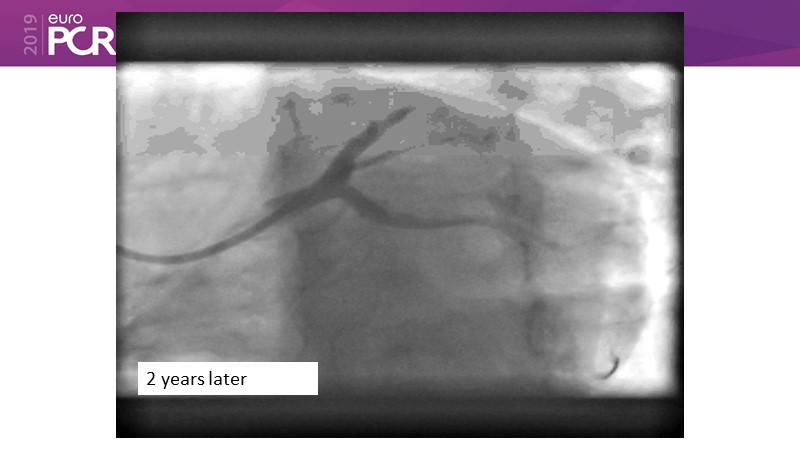
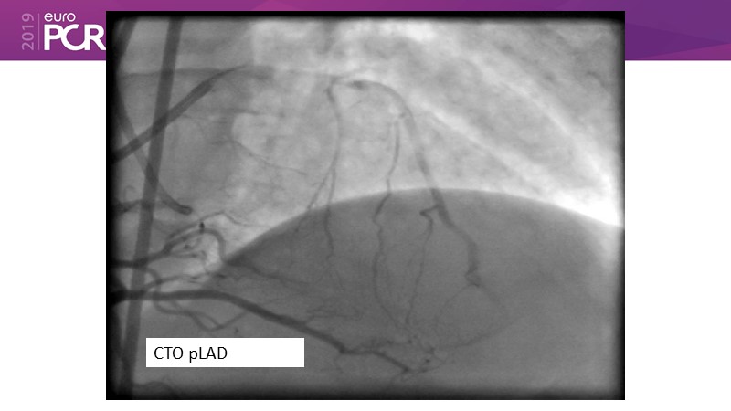
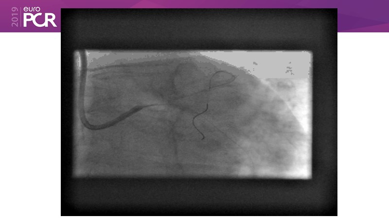
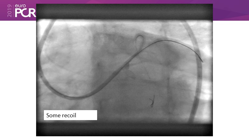
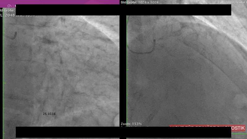
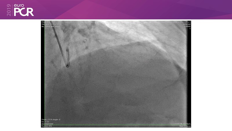
Go implant-free in de novo lesions: DCB-only strategy
Sponsored by B. Braun Melsungen AG
Chairpersons:
R. Byrne, B. Scheller
Panellists:
S. Eccleshall, F. Kleber
Summary
Consult this session to learn about the DCB-only concept, treatment methodology and consensus group recommendations, and discover the latest scientific evidence of DCB-only in de novo lesions and in complex PCIs.
Learning Objectives
- To learn about the DCB-only concept, treatment methodology and consensus group recommendations
- To acquire skills about application and safety aspects of the DCB-only approach
- To discuss latest scientific evidence of DCB-only in de novo lesions and in complex PCIs




