14 Dec 2022
Optimal PCI in patient with long calcified lesion
Sponsored by Abbott
Anchorperson:
J. Fajadet
Moderator:
I. Al Rashdan
Summary
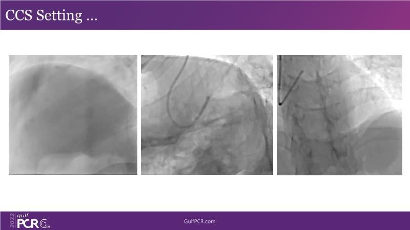
In this session, follow a LIVE case from the Chest Diseases Hospital in Kuwait and learn what the best strategy is to treat patients who present with a very long calcified coronary artery lesion, as well as how to select the best device and which different types of stents can be used.
Learning Objectives
- To learn correct interpretation of a long-calcified lesion and how to adopt procedural strategy
- To understand value of intracoronary imaging in patient treatment
- To know the impact of DES platform in the management of a complex patient

