27 Nov 2022
The right valves for the right ventricle: Venus MedTech tricuspid and pulmonary replacement systems
Sponsored by Venus MedTech
Anchorperson:
F. Maisano
Moderator:
N. Fam
Summary
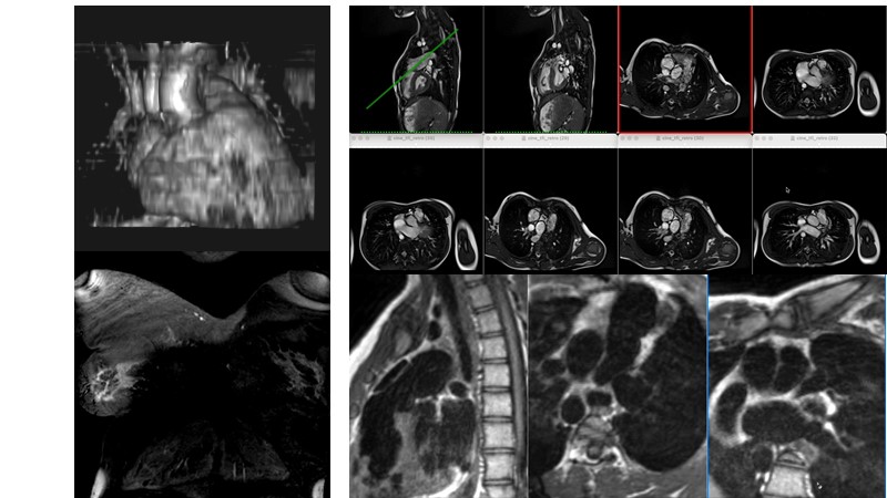
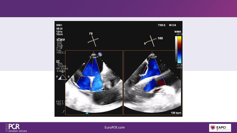
In this session from PCR London Valves 2022, discover the new Venus MedTech technology for tricuspid and pulmonary valve replacement, and a review of the clinical indications, selection criteria and procedural details.
Learning Objectives
- To learn about Venus MedTech technology, clinical indications and procedural details of valve replacement systems
- To learn more about the clinical experience and outcomes with Cardiovalve tricuspid and Venus P-valve
- To be updated on Cardiovalve mitral programme and ongoing activities
- To have the tools to select the best candidates for treatment





