Wie kann ich eine „sintflutartige“ Trikuspidalklappeninsuffizienz mit großem Koaptationsdefekt und stark gezügelten Klappensegeln behandeln?
Die Akkreditierung ist in der englischen Version dieses Falls verfügbar.
Eine 84-jährige Patientin mit schwerer Trikuspidalklappeninsuffizienz (TI) und fortgeschrittener Rechtsherzinsuffizienz wird uns zur Diagnostik und Therapie überwiesen. Die transösophageale Echokardiographie (TEE) zeigt eine isolierte, „sintflutartige“ TI (Grad 5/5) mit einem großen Koaptationsdefekt und starker Zügelung („Tethering“) der Trikuspidalklappensegel.
Author
Lernziele
- dezidiertes präprozedurales Volumen-Management mit hohen Dosen intravenöser Schleifendiuretika, um durch Volumen-Depletion die Größe des Koaptationsdefektes zu verringern
- Überwinden großer Koaptationslücken durch unabhängiges Greifen der Segel mit dem "Tarzan-Manöver"
- alternative Nutzung des transgastrischen Blicks während des Greifvorgangs
Klinische Präsentation
- wiederholte Krankenhausaufenthalte wegen schwerer Rechtsherzinsuffizienz: Dyspnoe, Aszites, Ödeme der unteren Extremitäten und Pleuraergüsse
- relevante Komorbiditäten: Diabetes mellitus Typ II, paroxysmales Vorhofflimmern, arterielle Hypertonie, koronare Herzkrankheit, chronische Niereninsuffizienz
Aktueller Medikamentenplan vor Intervention

Laborparameter vor Intervention

2D-Echokardiogramm
- schwergradige, „sintflutartige“ TI (Grad 5/5)
- biplane Vena contracta 21 mm; effektive Regurgitationsöffnungsfläche (EROA) 1,2 cm2; Regurgitationsvolumen (RV) 91 ml
- erhaltene linksventrikuläre Auswurffraktion
- diastolische Dysfunktion Grad II°
- eingeschränkte rechtsventrikuläre Funktion (TAPSE 14 mm)
- Vergrößerung des rechten Ventrikels und des rechten Atriums
- systolischer pulmonal-arterieller Druck: 58 mmHg
Hämodynamische Beurteilung
- isolierte postkapilläre (pulmonal-vaskulärer Verschlussdruck: 20 mmHg) pulmonale Hypertonie (mittlerer pulmonal-arterieller Druck: 25 mmHg)
- kein relevanter pulmonal-vaskulärer Gefäßwiderstand (2 Wood-Einheiten)
- vermindertes Herzzeitvolumen (2,6 l/min, Cardiac index: 1,7 l/min/m2).
- die Vorhofdruckkurve ist ventrikularisiert. Der rechtsatriale Druck ist erhöht (23 mmHg).
Transösophageales Echokardiografie
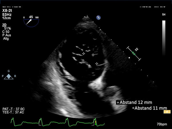
Der transgastrische Blick zeigt die schwere Koaptationslücke mit zwei großen Insuffizienzjets anteroseptal und posteroseptal.

Visualisierung der großen Koaptationslücken anteroseptal (11mm) und posteroseptal (12mm) im transgastrischen Blick
Teilen Sie uns Ihre Vorgehensweise mit!
Nach Besprechung im Herzteam wurde die Patientin für eine konventionelle Operation abgelehnt und trotz der großen Koaptationslücken für eine Transkatheter Edge-to-Edge-Repair (T-TEER) akzeptiert.
Es wurde beschlossen, präinterventionell eine intensivierte intravenöse Diuretika-therapie durchzuführen, um die Koaptationsdefekte zu verringern und die technische Erfolgswahrscheinlichkeit zu erhöhen.
- dezidiertes präprozedurales Volumenmanagement mit hohen Dosen intravenöser Schleifendiuretika (Furosemid 240 mg/d über 2 Tage vor T-TEER)
- schrittweise Reduzierung der großen Koaptationslücken durch Anwendung der „Zipping“-Technik mit Implantation von 3 TriClips XTW.
- Überwinden der großen Koaptationslücken durch unabhängiges Greifen der Trikuspidalsegel mit dem „Tarzan-Manöver“.
- alternative Nutzung der transgastrischen Sicht während des Greifvorgangs.

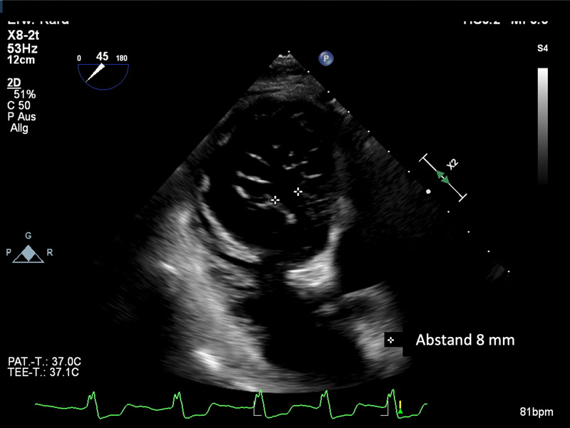
Ausmaß des Koaptationsdefektes vor Therapie mit hochdosierten intravenösen Schleifendiuretika (Furosemid 240 mg/d für 2 Tage vor T-TEER).

Ausmaß der Anpassungslücke nach hochdosierter IV-Schleifendiuretika (Furosemid 240 mg/d für 2 Tage) vor T-TEER

Schematische Darstellung der Lokalisation der zwei Insuffizienzjets im transgastrischen Blick.

Schematische Darstellung der geplanten Clip-Positionierungen, beginnend mit dem 1.Clip anteroseptal auf Höhe der Kommissur.
Ausrichtung des 1.Clips anteroseptal auf Höhe der Kommissur.
Unabhängiges Greifen der Segel mit dem „Tarzan-Manöver“. Durch die Verwendung des X-Plane-Modus während des Greifvorgangs ist es möglich, sich auf das jeweilige Klappensegel zu konzentrieren, beginnend mit dem anterioren Segel.
Eine erste Reduktion der Trikuspidalinsuffizienz ist zu erkennen. Der Insuffizienzjet ist durch den 1.Clip auf zentral und posteroseptal begrenzt worden.
Darstellung der Freisetzung des 1.Clips in der Fluoroskopie.

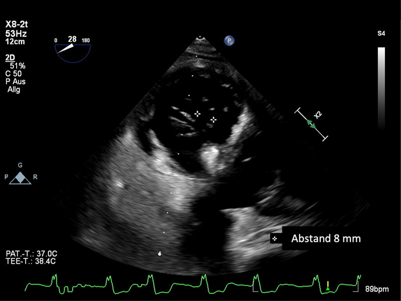
Der Koaptationsdefekt wurde durch den Annuloplastie-Effekt des 1.TriClips auf 8mm reduziert
Darstellung der Freisetzung des 2.TriClips XTW in der Fluoroskopie.
Es ist eine weitere Reduzierung der Insuffizienz mit Begrenzung des Jetursprungs streng posteroseptal zu erkennen.

Transgastrischer Blick auf den zentralen Koaptationsdefekt nach Implantation von 2 TriClip XTW in die anteroseptale Region.
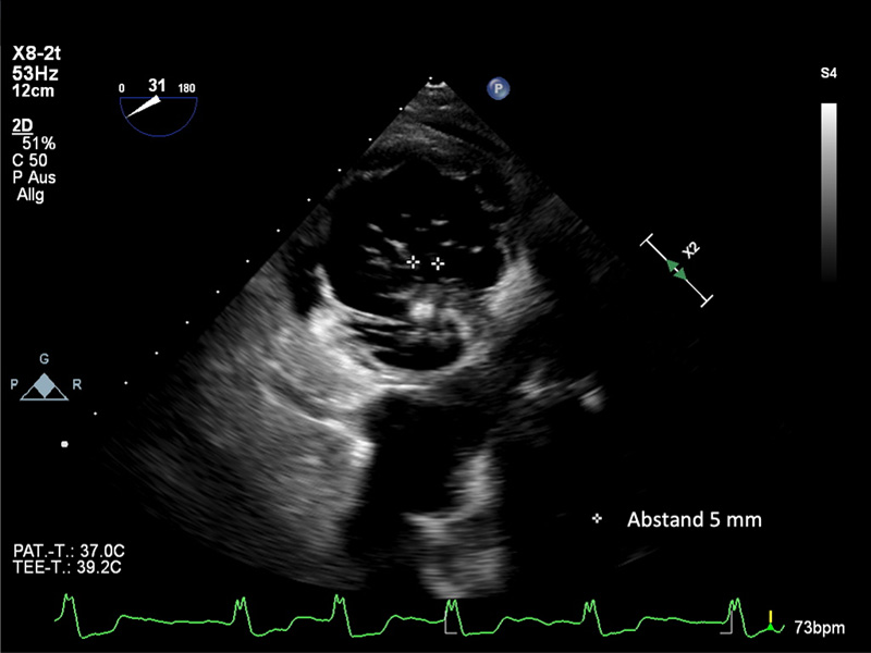
Eine weitere Verringerung des zentralen Koaptationsdefektes auf 5mm ist zu erkennen.
Alternative Verwendung des transgastrischen Blicks für den Greifvorgang, da die Sicht in den typischen Achsen durch die zuvor implantierten TriClips eingeschränkt ist. Es ist zu erkennen, wie die Spitzen der Segel während des Schließvorgangs in den TriClip XTW laufen.
Freisetzung des 3.TriClips XTW und Endergebnis, dargestellt in der Fluoroskopie.
Der Grad der Insuffizienz konnte um 3 Schweregrade reduziert werden, von Grad 5/5 auf Grad 2/5.

Darstellung der Druckkurve im rechten Vorhof vor T-TEER

Darstellung der Druckkurve im rechten Vorhof nach T-TEER
Durch die Implantation von 3 TriClips XTW kann die ventrikularisierte Druckkurve des rechten Vorhofs wieder in eine atriale Form der Druckkurve überführt werden.
Follow-up:
- die Patientin wurde am 3. postinterventionellen Tag entlassen.
- die echokardiografische Nachsorge nach 1 und 3 Monaten zeigte eine stabile Reduktion der Trikuspidalinsuffizienz auf Grad 2+.
- die körperliche Leistungsfähigkeit konnte deutlich verbessert werden (NYHA-Funktionsklasse II).
- bislang sind keine weiteren Krankenhausaufenthalte wegen Herzinsuffizienz aufgetreten.
Schlussfolgerungen
- selbst schwerstgradige, „sintflutartige“ Trikuspidalklappeninsuffizienzen mit sehr großen Koaptationslücken können mit dem TriClip XTW sicher und effektiv behandelt werden.
- ein präprozedurales, dezidiertes Volumenmanagement kann die Koaptations-lücken verringern und so die technische Erfolgswahrscheinlichkeit für die Prozedur erhöhen.
- eine schrittweise Verringerung des Koaptationsdefektes ist mit Anwendung einer "Zipping"-Technik mit Implantation mehrerer Clips möglich.
- große Koaptationslücken können durch unabhängiges Greifen der Trikuspidalsegel mit dem "Tarzan-Manöver" überwunden werden.
- alternative kann der transgastrische Blick für den Greifvorgang verwendet werden, wenn die Sicht in den typischen Achsen durch zuvor implantierte Clips eingeschränkt ist.
The invited Expert's opinion
Die Trikuspidalinsuffizienz (TR) ist in der täglichen Praxis eine häufige Erkrankung, die mit einer erhöhten Sterblichkeit und Krankenhauseinweisung wegen Herzinsuffizienz verbunden ist. Wang et al. stellten in einer Meta-Analyse fest, dass die Sterblichkeit bei Patienten mit mindestens mittelschwerer/schwerer TR im Vergleich zu Patienten ohne oder mit leichter TR um das Zweifache erhöht ist1. Daten zur isolierten chirurgischen Trikuspidalreparatur zeigen eine hohe Sterblichkeitsrate im Krankenhaus2,3. Die europäischen Leitlinien für Herzklappenerkrankungen empfehlen eine Transkatheterbehandlung für TR bei inoperablen Patienten4. Die TRILUMINATE-Studie hat gezeigt, dass eine Trikuspidal-Transkatheter-Edge-to-Egde (T-TEER)-Therapie mit dem TriClip® (Abbott Vascular) sicher und wirksam ist, um den Schweregrad der TR zu reduzieren5. Darüber hinaus stellten die Autoren eine signifikante Verbesserung der Lebensqualität der Patienten fest.
Im Gegensatz zu anderen Herzklappenerkrankungen, bei denen es nur drei Schweregrade gibt, wird der Schweregrad der TR derzeit in fünf verschiedene Schweregrade unterteilt. In diesem Fall hat der von Dr. Osteresch vorgestellte Patient eine torrentiale TR mit einer Lücke von 11-12 mm zum Zeitpunkt der Erstdiagnose. Es gibt gute Belege dafür, dass Patienten mit einer so großen Lücke nicht wirksam mit T-TEER behandelt werden können. Besler et al. zeigten, dass eine geringere Lückengröße ein unabhängiger Prädiktor für den Behandlungserfolg ist6. Die Schlüsselfrage ist jedoch, ob sich der Patient zum Zeitpunkt der Echokardiographie bereits in einer effektiv rekompensierten Situation befindet. In vielen Fällen ist es hilfreich und effektiv, ein paar Tage lang intensive Diuretika zu verabreichen und dann ein neues Echo durchzuführen. Es besteht eine hohe Wahrscheinlichkeit, die Lücke zu verringern und den Patienten in eine Situation zu bringen, in der T-TEER eine gute Behandlungsoption darstellt. Dies wurde auch im vorliegenden Fall gut beobachtet, wobei der Spalt von 11-12 mm auf 8 mm reduziert wurde.
Darüber hinaus gibt es während des Verfahrens mehrere Möglichkeiten, die Bedingungen im Falle eines schwierigen Greifens zu optimieren. Die Erhöhung des ventilatorgestützten PEEP führte zu einer verringerten Volumenfüllung des rechten Ventrikels und zu einer Verringerung des Spalts. Eine weitere Option zur Verringerung des Volumens könnte darin bestehen, den Patienten in der Anti-Trendelenburg-Lage auf den Tisch zu legen. In einigen Fällen kann die Reißverschlusstechnik auch hilfreich sein, um Patienten mit größeren Lücken zu behandeln. In diesem Fall wird die erste Vorrichtung in der Nähe der anteroseptalen Kommissur implantiert, um die Segel näher aneinander zu bringen und die Lücke zu verkleinern. Danach kann eine zweite und/oder dritte Vorrichtung zur endgültigen Behandlung des Schweregrads der TR implantiert werden. Schließlich ist die Möglichkeit eines unabhängigen Greifmanövers ein hilfreiches Instrument der T-TEER-Vorrichtung selbst. Das Greifen des ersten Segels und das Bewegen des Geräts zum gegenüberliegenden Segel in einem „Tarzan-ähnlichen Manöver“ kann zu einem optimierten Greifen beider Segel führen.
Zusammenfassend lässt sich sagen, dass der vorgestellte Fall in hervorragender Weise zeigt, wie ein inoperabler, hochsymptomatischer Patient mit torrentialer TR und größerer Lücke behandelt werden kann. Als die verschiedenen Behandlungsoptionen zunächst evaluiert wurden, befand sich der Patient in einer Situation, in der ein T-TEER-Verfahren nicht möglich war. Durch die Anwendung verschiedener vorgestellter Manöver konnte der Patient jedoch wirksam und sicher mit T-TEER behandelt werden. Nach der Implantation von drei TriClips konnte die TR von einer starken (5+) auf eine moderate (2+) reduziert werden. Darüber hinaus verbesserte sich die NYHA-Klasse des Patienten, und während der Nachbeobachtung wurden keine weiteren Krankenhausaufenthalte wegen Herzinsuffizienz verzeichnet.
Die wichtigste Erkenntnis aus diesem Fall ist, dass auch Patienten mit größeren Lücken mit T-TEER behandelt werden könnten. Für ein erfolgreiches Verfahren müssen jedoch mehrere Optionen für das Volumenmanagement und verschiedene intraprozedurale Schritte beachtet werden.
References
- Wang N, Fulcher J, Abeysuriya N, McGrady M, Wilcox I, Celermajer D, et al. Tricuspid regurgitation is associated with increased mortality independent of pulmonary pressures and right heart failure: a systematic review and meta-analysis. Eur Heart J. 2019;40(5):476-84.
- Alqahtani F, Berzingi CO, Aljohani S, Hijazi M, Al-Hallak A, Alkhouli M. Contemporary Trends in the Use and Outcomes of Surgical Treatment of Tricuspid Regurgitation. J Am Heart Assoc. 2017;6(12).
- Beckmann A, Meyer R, Eberhardt J, Gummert J, Falk V. German Heart Surgery Report 2023: The Annual Updated Registry of the German Society for Thoracic and Cardiovascular Surgery. Thorac Cardiovasc Surg. 2024;72(5):329-45.
- Vahanian A, Beyersdorf F, Praz F, Milojevic M, Baldus S, Bauersachs J, et al. 2021 ESC/EACTS Guidelines for the management of valvular heart disease. Eur Heart J. 2021.
- Sorajja P, Whisenant B, Hamid N, Naik H, Makkar R, Tadros P, et al. Transcatheter Repair for Patients with Tricuspid Regurgitation. N Engl J Med. 2023;388(20):1833-42.
- Besler C, Orban M, Rommel KP, Braun D, Patel M, Hagl C, et al. Predictors of Procedural and Clinical Outcomes in Patients With Symptomatic Tricuspid Regurgitation Undergoing Transcatheter Edge-to-Edge Repair. JACC Cardiovasc Interv. 2018;11(12):1119-28.














No comments yet!