24 Dec 2025
LAA closure with CT planning: challenging inferior chicken wing morphology
This 77-year-old woman with paroxysmal AF and prior GI bleeding is referred for LAA closure, but CT reveals a shallow, inferior chicken-wing morphology that complicates device selection and planning. How would your Heart Team approach this challenging case?
Author
Latest contributions
LAA closure with CT planning: challenging inferior chicken wing morphologyCase Presentation
- A 77-year-old lady with paroxysmal atrial fibrillation and a history of GI bleeding w/o detectable focal bleeding sites by endoscopy was referred in 4/2025 for left atrial appendage occlusion in order to avoid long-term oral anticoagulation.
- Pulmonary vein isolation was performed in 2023 using a cryo-balloon approach. She presents with heart failure with preserved ejection fraction (NT-proBNP of 430ng/l). Currently, she is in sinus rhythm.
- Comorbidities: LV hypertrophy and hypertension; blood pressure is controlled with candesartan, amlodipine and spironolacton.
- CHA2DS2-VA calculates as 4.
- High bleeding risk according to 2024 ESC guidelines.
- A self-limiting episode of atrial fibrillation occurs 1-2 times per month as recorded by a smartwatch.
LAA closure - transseptal puncture

Inferior - Posterior
LAA closure - morphology


LAA closure - CT reconstruction
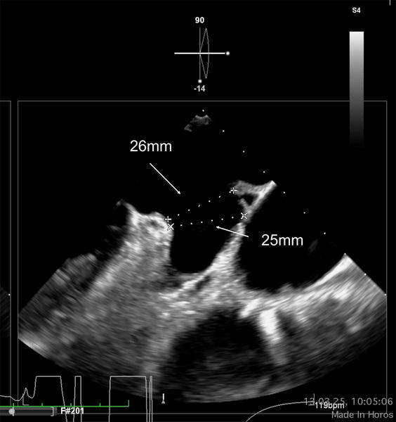
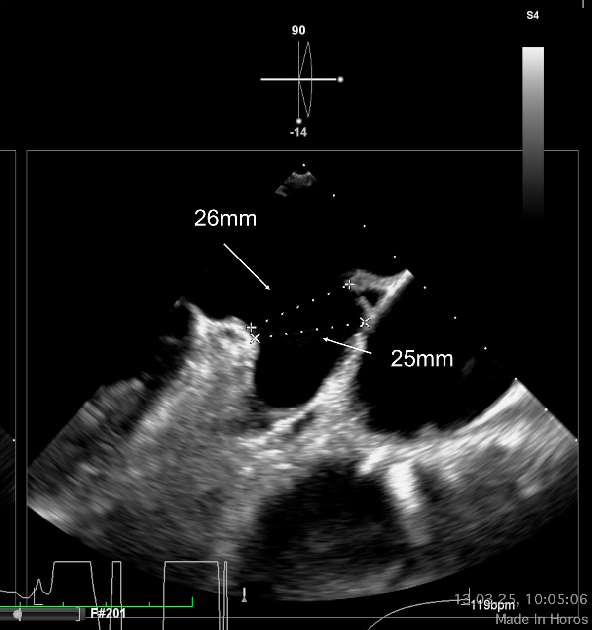
Min/max diameter: 22.0/25.9mm
Average diameter: 24.0mm
Area: 460mm2 (average 24.2mm)
Perimeter: 77.7mm (average 24.7mm)
Depth: 15mm

LAA closure - TOE sizing 0°/90°

LAA closure - sizing 0°/90°


"Sandwich technique" for 2-disc devices
Device size is determined by disc size
LAA closure by AMULET - FEops model

Diagnostic workup: cardiac CT reconstruction
- Cardiac CT allowed for reconstruction by FEops software modelling
- TOE was also available for pre-planning given the complex inferior chicken wing morphology
Planning
Given the elevated thromboembolic risk with paroxysmal atrial fibrillation and GI bleeding under DOAC, the decision was made to plan a left atrial appendage occlusion followed by dual antiplatelet therapy for 3 months. A CT and a TOE was performed in this case for planning the procedure, as CT revealed a challenging morphology for both single- and double-disc devices with a shallow LAA (15mm depth) and an inferior-bend chicken wing morphology.






1 comment
We have a chicken wing left atrial appendage morphology, with a landing zone maximum diameter within the 25-26 mm range, according to imaging tests. In these anatomies, I use to carefully assess the ostium diameters, which are not provided in this case, and I choose a disc approximately 10 mm larger in diameter than the ostium to ensure a complete seal, if the surrounding structures allow it. If using the Amulet device, the most appropriate implantation in this case would be obtained by a semi-sandwich technique, with a 31 mm device and a 38 mm disc. Again, this last aspect is crucial in this scenario to ensure a proper seal.