Mixed mitral valve disease in an irradiated chest with eggshell-like left atrium
Managing mixed mitral valve disease is particularly challenging in patients with prior chest irradiation and extensive calcification.
A 40-year-old man presents with severe symptomatic MR, renal impairment, and an unusual eggshell-like left atrium. Imaging reveals complex mitral anatomy and critical constraints for transcatheter therapy.
How would you approach treatment in this high-risk scenario?
Author
Clinical presentation
- 40-year-old male, BMI 17 kg/m2
- Patient with exertional dyspnea and fatigue the past 4 months
- TTE/TEE severe mixed mitral valve disease
- Ewing sarcoma at age 4 treated with RLL lobectomy, chemotherapy and irradiation
- PAF treated with multiple DC cardioversions and RF ablation in 2023. 2 PAF episodes post ablation
- Anemia of chronic disease (ACD)
- Renal impairment (CC 31 mL/min), BNP 838 pg/ml
Medication
Apixaban 5 mg, Furosemide 40-80 mg, Eplerenone 25 mg, Bisoprolol 7.5 mg, Enalapril 5 mg, Dapagliflozin 10 mg, Rosuvastatin 10 mg, Pantoprazole 20 mg daily
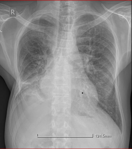
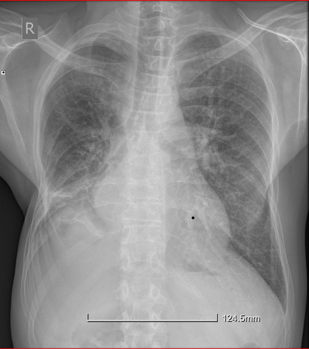
CRX

ECG

TTE/TEE
- Mixed MV disease with severe primary and secondary MR
- ERO 44mm2, RV 45ml, RF > 50 %
- MVO 2.49 cm2, mean gradient 4-5 mmHg
- Restrictive motion of the PMVL, calcified annulus
- LVEF 45% with global hypokinesis
- PASP 57mmHg
Severe MR, degenerative
Commissural view with color
Biplane mid-esophageal view with color Doppler
MV 3D “surgical view” from LA and LV side
Live 3D with color flow
Coro-angiogram was normal
RHC
- RA 29/26/23 mmHg
- RV 73/10/24 mmHg


CT scan
- Spotted calcification in mitral annulus and leaflets
- Incomplete eggshell-like calcified LA wall
- Mitral valve area annulus dimensions 32 x 24 mm
- NeoLVOT calculation at 210 mm2





No comments yet!