26 Jun 2025
Wie behandle ich einen Patienten mit unzureichendem chirurgischem Verschluss des linken Vorhofohrs
Trotz vorherigem Verschluss mit einem Atriclip während einer CABG zeigt die transösophageale Echokardiographie bei einem Hochrisikopatienten mit wiederkehrenden Blutungen eine anhaltende LAA-Lücke.
Informieren Sie sich über die klinischen Details, Bildgebung und Behandlungsdilemmata – und teilen Sie anschließend Ihren Behandlungsansatz mit!
Author
Lernziele
- Die Durchführung eines Verschlusses des linken Vorhofohrs (LAA) erlernen
- Lernen, wie man einen effektiven Verschluss des LAA bestätigt
Zusammenfassung des Falls
Trotz vorherigem Vorhofohr-Verschluss mit einem Atriclip im Rahmen einer Bypass-Operation zeigt die transösophageale Echokardiographie bei einem Hochrisikopatienten mit wiederkehrenden Blutungen eine anhaltende Perfusion des LAA. Informieren Sie sich über die klinischen Details, Bildgebung und Behandlungsdilemmata – und teilen Sie anschließend Ihren Behandlungsansatz mit!
Vorstellung des Falles
- 79 Jahre, männlich
Kardiale Anamnese (gekürzt)
- Herzinsuffizienz mit geringfügig reduzierter Auswurffraktion (HFmrEF) aufgrund einer ischämischen Kardiomyopathie
- NYHA-Klasse I-II, NT-proBNP 373 ng/l
- Koronare 3-Gefäßerkrankung
- vorherige Bypass-Operation und wiederholte perkutane Koronarinterventionen
- Paroxysmales Vorhofflimmern
- Vorherige elektrische Kardioversion zur Wiederherstellung des Sinusrhythmus
- CHA2DS2VA-Score 5, HASBLED-Score 5
- Verschluss des LAA während der Bypass-Operation mit einem AtriClip-Device
- Orale Antikoagulation mit Apixaban in reduzierter Dosis (2 x 2,5 mg pro Tag)
- Implantierbarer Kardioverter-Defibrillator, 2-Kammer
- Sekundärprophylaxe nach Synkopen im Zusammenhang mit ventrikulären Tachykardien und einem AV-Block zweiten Grades
Aktuelle Medikation
Apixaban | 2.5 mg | 1-0-1 |
Nebivolol | 5 mg | 1-0-0 |
Ramipril | 5 mg | 1-0-0 |
Spironolacton | 25 mg | 1-0-0 |
Torasemid | 10 mg | 1-0-0 |
Atorvastatin | 80 mg | 0-0-1 |
Ezetimib | 10 mg | 0-0-1 |
Dapagliflozin | 10 mg | 1-0-0 |
Pantoprazol | 40 mg | 1-0-0 |
Klinische Präsentation
Der Patient wurde in den letzten Monaten wiederholt wegen Blutungen stationär behandelt. Zunächst erlitt er eine gastrointestinale Blutung, die endoskopisch diagnostiziert und behandelt wurde. Er wurde mit Apixaban in reduzierter Dosis und Pantoprazol entlassen. Danach wurde er zweimal wegen einer Epistaxis behandelt. Daher überwies ihn sein Hausarzt mit der Bitte um Prüfung der Beendigung der oralen Antikoagulation unter Berücksichtigung des vorherigen chirurgischen Verschlusses des LAA.
Der Patient präsentierte sich in einem guten klinischen Zustand, stabile Herzinsuffizienz mit Dyspnoe NYHA I-II, keine Angina pectoris. Das EKG zeigte einen normofrequenten Schrittmacher-Rhythmus mit atrial getriggerter Ventrikelstimulation.
Das Blutungsrisiko (HASBLED-Score 5) und das Ischämierisiko (CHA2DS2VA-Score 5) waren erhöht und die derzeitige gerinnungshemmende Therapie mit 2 x 2,5 mg Apixaban pro Tag war unterdosiert (79 Jahre, Körpergewicht 73 kg, Serumkreatinin 127 µmol/l).

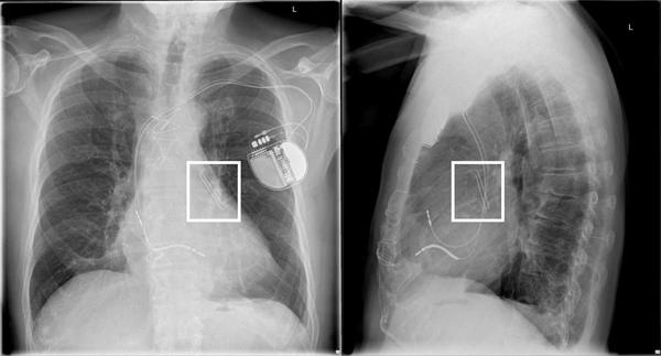
Abbildung 1: Röntgen-Thorax in 2 Ebenen, das AtriClip-Device zeigt sich in Projektion auf das LAA.
Teilen Sie uns Ihre Vorgehensweise mit!
Transösophageale Echokardiographie
Wir hielten das verbleibende LAA anatomisch für einen perkutanen Verschluss geeignet und besprachen diese Option mit dem Patienten. Unter Abwägung seines Ischämierisikos und der Blutungsereignisse unter oraler Antikoagulation stimmte er der Durchführung des Eingriffs zu.
LAA-Verschluss
Setting und vaskulärer / transseptaler Zugang
- Der Eingriff wird im Katheterlabor unter Analgosedierung und mit TEE-Guiding durchgeführt
- Sonographisch-gesteuerte Punktion der rechten Vena femoralis, Vorlage eines Naht-basierten Verschluss-Systems
- Intravenöse Verabreichung von unfraktioniertem Heparin, um eine aktivierte Gerinnungszeit (ACT) von mindestens 250 Sekunden zu erreichen
- Transseptale Punktion und Positionierung eines steifen Drahtes in der linken oberen Lungenvene
- Einwechseln der Amplatzer Amulet Schleuse
- Atraumatische Platzierung eines Pigtail-Katheters im LAA und Angiographie
Angiographie des LAA
Device-Auswahl und Größenbestimmung
Die Messung der Landezone in der multiplanaren TEE-Bildgebung ergab ein 25-mm-Amplatzer-Amulet als geeigneten LAA-Okkluder. Die erforderliche LAA-Tiefe von mindestens 12 mm, die mit dieser Device-Größe einhergeht, war nicht vollständig gegeben, insbesondere bei 135°.
Größenbestimmung

Abbildung 2: Die Messung in der multiplanaren TEE-Bildgebung zeigt eine maximale Breite der Landezone von 21 mm, was einem 25-mm-Amplatzer-Amulet-Device entspricht.
Implantation
Angesichts der begrenzten Tiefe des verbleibenden LAA wurde die Implantation des Okkluders mit einer tiefen Ausgangsposition begonnen, um eine Protrusion in den linken Vorhof ("Schulter") zu vermeiden. Der distale Teil des Devices wurde unter fluoroskopischer (Video 3) und echokardiographischer (Video 4) Kontrolle langsam freigesetzt, um eine stabile Position ohne Verkippen des Okkluders zu gewährleisten.
Fluoroskopie während der Implantation des distalen Devices
TEE während der Implantation des distalen Devices
Der zweite Implantationsschritt umfasste die Freisetzung der proximalen Scheibe, die auf der pulmonalen Ridge platziert wurde (Video 5 und 6).
Fluoroskopie während der Freisetzung der proximalen Scheibe
TEE während der Freisetzung der proximalen Scheibe
Abschließende Beurteilung und Freisetzung des Devices
Die abschließende echokardiografische Beurteilung mit multiplanarer 2D- (Video 7 und Video 8) und 3D- (Video 9) TEE-Bildgebung zeigte eine ausgezeichnete Position des Okkluders mit guter Kompression des distalen Anteils und einer vollständigen Abdeckung des LAA-Ostiums einschließlich der pulmonalen Ridge durch die proximale Scheibe. Keine Leckage, keine relevante "Schulter" / Protrusion in den linken Vorhof.
Abschließende TEE-Beurteilung (1)
Abschließende TEE-Beurteilung (2)
Abschließende TEE-Beurteilung (3)
Ein Tug-Test bestätigte die gute Verankerung und eine stabile Position des Devices (Video 10). Anschließend wurde der LAA-Okkluder final freigesetzt (Video 11).
Tug test
Finale Freisetzung
Postprozedurales Management und Follow-up
- Der Patient erhielt eine einmalige Aufsättigung mit 600 mg Clopidogrel und wurde am Tag nach dem Eingriff mit einer dualen Thrombozytenaggregationshemmung mit 75 mg Clopidogrel und 100 mg Aspirin einmal täglich entlassen
- In guter klinischer Verfassung stellte er sich nach 3 Monaten zu einer ambulanten Nachuntersuchung vor. Im TEE bestätigte sich die unverändert gute Position des Okkluders mit vollständigem Verschluss des LAA, keine Leckage, keine Thrombusbildung (Video 12 und Video 13)
- Es erfolgte eine Deeskalation der Thrombozytenaggregationshemmung auf eine Aspirin-Monotherapie. Diese wurde aufgrund der begleitenden koronaren Herzerkrankung lebenslang empfohlen
Follow-up TEE (1)
Follow-up TEE (2)
Schlussfolgerung
- Eine postoperative Bildgebung (TEE, CT) ist nach chirurgischem LAA-Verschluss zur Bestätigung des erfolgreichen Verschlusses ohne Restperfusion erforderlich.
- Der perkutane LAA-Verschluss ist eine Option nach einem fehlgeschlagenen oder unvollständigen chirurgischen Verschluss, sofern die anatomische Eignung des verbleibenden LAA gegeben ist.
Die Stellungnahme des eingeladenen Experten
Navigieren durch die Herausforderungen des Verschlusses des linken Vorhofohres nach chirurgischem LAA-Verschluss
Dieser Fall bietet eine wertvolle Lernmöglichkeit und verdeutlicht die Herausforderungen des Verschlusses des linken Vorhofohrs (LAAC) bei Patienten mit einer Vorgeschichte eines chirurgischen LAA-Verschlusses. Die Behandlung rezidivierender Blutungen bei Patienten unter oraler Antikoagulation (OAC) stellt weiterhin eine Herausforderung für die klinische Entscheidungsfindung dar, insbesondere wenn der chirurgische Verschluss unvollständig oder ineffektiv ist.
Aus diesem Fall lassen sich wichtige Erkenntnisse ableiten:
Maßgeschneidertes Management von wiederkehrenden Blutungen
Für Patienten mit Vorhofflimmern, bei denen während der Behandlung mit Antikoagulanzien lebensbedrohliche Blutungen aufgetreten sind, stellt der LAAO eine wichtige Alternative zur Schlaganfallprävention dar. Dieser Fall unterstreicht, wie wichtig es ist, den effektiven Verschluss nach einer chirurgischen oder interventionellen LAAO zu überprüfen, da ein unvollständiger oder fehlgeschlagener Verschluss zu einem persistierenden thromboembolischen Risiko führen kann, sobald die Antikoagulation abgesetzt wird. Für den LAA-Verschluss stehen verschiedene chirurgische Techniken zur Verfügung, wie z. B. Resektion, epikardiale Klammerung, Clip-Applikation oder endoatrialer doppellagiger Längsnahtverschluss, jeweils mit unterschiedlichen Erfolgsraten1. Es gibt jedoch kein allgemein anerkanntes Nachsorgeprotokoll nach chirurgischem LAAO. Beobachtungsdaten deuten darauf hin, dass eine frühe postoperative Bildgebung (z. B. CT am zweiten postoperativen Tag) eine akute Stumpfthrombose erkennen kann, die sich in der Regel innerhalb von drei Monaten zurückbildet2. Es ist daher ratsam, eine bildgebende Nachuntersuchung - entweder eine transösophageale Echokardiographie (TEE) oder eine kardiale Computertomographie (CT) - durchzuführen, um die Vollständigkeit des Verschlusses zu beurteilen und einen Thrombus auszuschließen, damit weitere Maßnahmen, einschließlich Entscheidungen zur Antikoagulation, getroffen werden können.Technische Überlegungen zur interventionellen LAAO nach fehlgeschlagener chirurgischer Behandlung
Die Durchführung einer LAAO nach vorherigem chirurgischem Verschluss stellt eine besondere Herausforderung dar. Die prä- und intraprozedurale Bildgebung (z. B. TEE, Herz-CT, Angiographie) ist entscheidend für die Charakterisierung der Anatomie der verbleibenden LAA, die Auswahl des Implantats und die Festlegung der Strategie. In diesem Fall ermöglichte die TEE-Bildgebung zur Visualisierung eines verbleibenden Stumpfes einen erfolgreichen perkutanen Verschluss. Das Bewusstsein für potenzielle Lecks in der Peripherie und die Notwendigkeit einer sorgfältigen Implantationstechnik sind in diesen komplexen Szenarien entscheidend.
Bestätigung des wirksamen Abschlusses
Die empfohlene Nachsorge nach einem interventionellen Verschluss der LAA ist eine transösophageale TEE oder ein kardiales CT 45 bis 90 Tage nach dem Eingriff, um eine Peridevice-Leckage (PDL) und gerätebedingte Thromben (DRT) zu erkennen3. Eine langfristige Nachsorge über 1 Jahr hinaus ist nicht routinemäßig vorgeschrieben, kann aber in ausgewählten Fällen, z. B. bei fehlgeschlagenem chirurgischem Verschluss, erwogen werden4. Die antithrombotische Therapie sollte entsprechend den gerätespezifischen Protokollen und dem Blutungsrisiko des Patienten angepasst werden, wobei die Dauer und Art der Therapie von den Ergebnissen der Bildgebung bestimmt werden.Den Betreibern gebührt ein großes Lob für das hervorragende Ergebnis und die Bereitstellung eines großartigen Lehrbeispiels für die Leser.
- The Annals of Thoracic Surgery. 2024;118(2):291-310. doi:10.1016/j.athoracsur.2024.01.007.
- The Annals of Thoracic Surgery. 2024;117(6):1172-1176. doi:10.1016/j.athoracsur.2024.02.012.
- Heart Rhythm. 2023;20(5):e1-e16. doi:10.1016/j.hrthm.2023.01.007.
- Heart Rhythm. 2020;17(5 Pt A):728-733. doi:10.1016/j.hrthm.2019.12.004.
Interessenkonflikte:
Dr. Thomas Stiermaier erhielt Vortragshonorare und Reisestipendien von Boston Scientific und Abbott.





1 comment
Excellent