22 May 2019
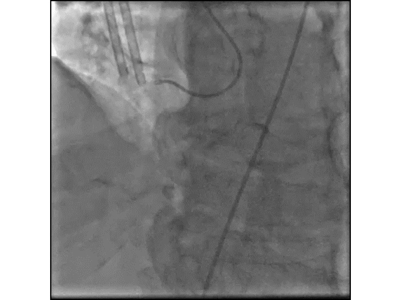
Distal left main stenosis: how to treat optimally with dedicated bifurcation stent BiOSS Lim C. Case-based session
Sponsored by Balton
Summary
Consult this session to learn more about the multiple technological options with dedicated bifurcation stent for complex left main bifurcation lesions, and the applicability of this stent for the different clinical presentations.
Learning Objectives
- To get acquainted with the new technology for bifurcation lesion
- To learn about multiple technological options with dedicated bifurcation stent for complex left main bifurcation lesions
- To learn about applicability of the dedicated bifurcation stent for the different clinical presentations


