21 May 2019
TopShock 2019: honouring the best intravascular lithotripsy cases from the past year
Sponsored by Shockwave medical
Chairpersons:
E. Christiansen, J. Spratt
Summary
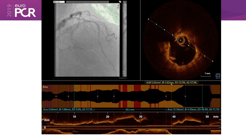
Consult this session on lithotripsy to learn about the clinical utility of IVL and the best practices when using this procedure, while discovering the best intravascular lithotripsy cases from the past year: complex PCI of severely calcified left coronary artery, heavy calcified lesions, and more!
Learning Objectives
- To understand the clinical utility of intravascular lithotripsy (IVL)
- To learn about the best practices when using IVL
- To vote for the best IVL case of 2019 from the finalists selected by IVL experts Drs. Fajadet, Di Mario, Escaned and Hill

