17 May 2022
2022: a tipping point in the treatment of mitral regurgitation patients
Sponsored by Edwards Lifesciences
Anchorperson:
N. Karam
Moderator:
W. Rottbauer
Summary
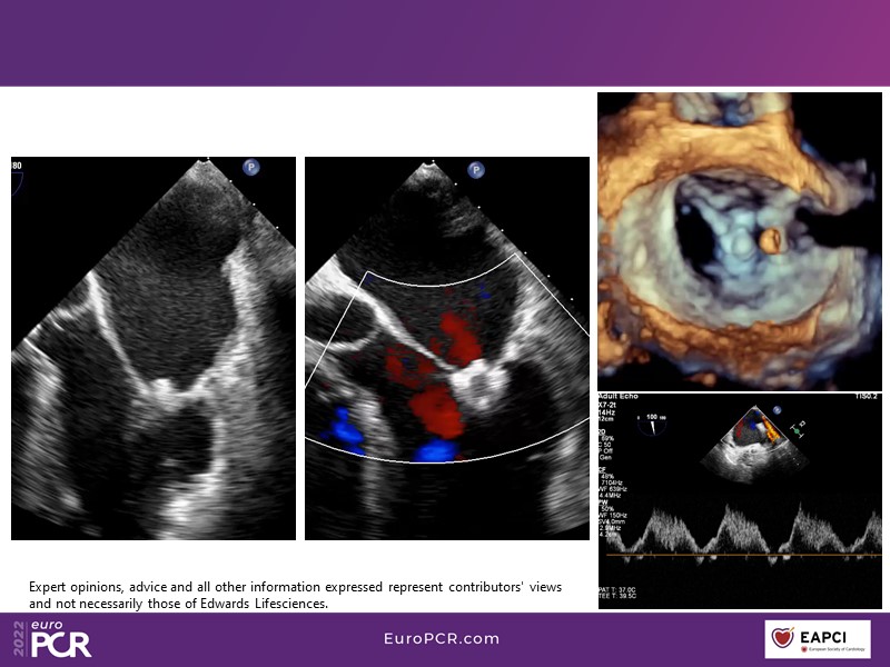
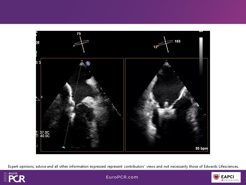
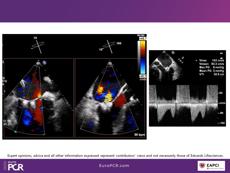
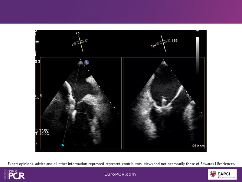
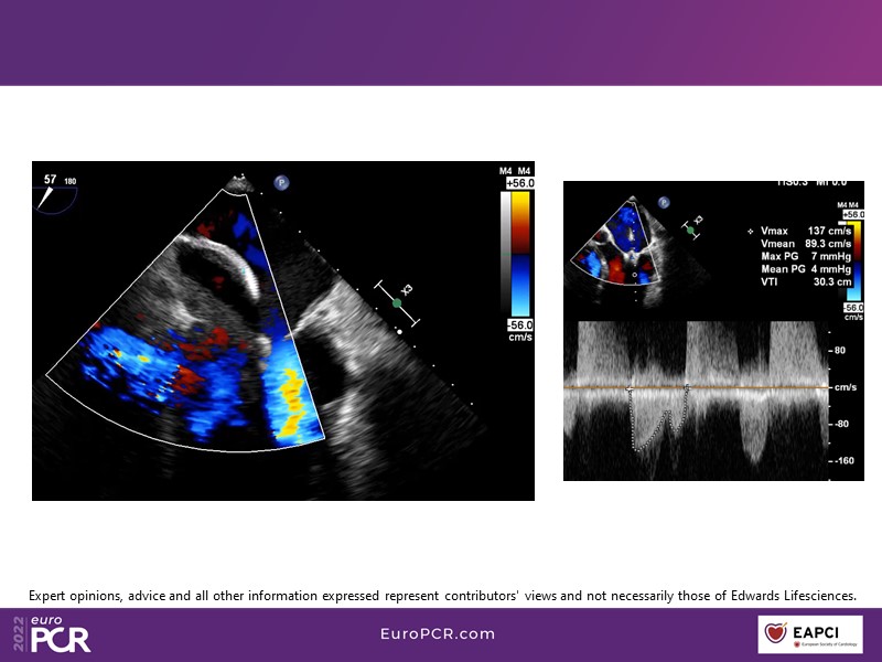
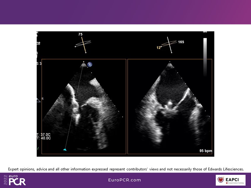
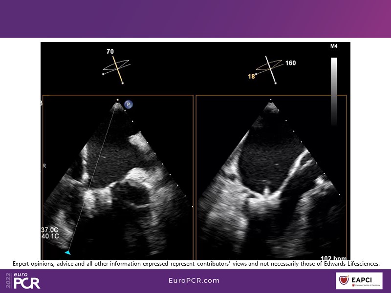
With study outcomes and clinical cases, this EuroPCR 2022 session will enable you to discuss the anatomical considerations that define suitable candidates for treatment of mitral regurgitation with the PASCAL platform and highlight key differentiators and tips and tricks for its use.
Learning Objectives
- To discuss which anatomical considerations define suitable candidates for the treatment of mitral regurgitation with the PASCAL platform
- To attend case-based discussions that will highlight key differentiators and tips and tricks when using the PASCAL platform to treat mitral regurgitation
- To participate in a recorded case demonstration using the PASCAL platform for the treatment of mitral regurgitation

