07 Oct 2022
Cracking calcium: best practices to integrate intravascular lithotripsy into your calcium management algorithm
Sponsored by Shockwave Medical
Anchorperson:
A. Seth
Moderator:
M. Alasnag
Summary
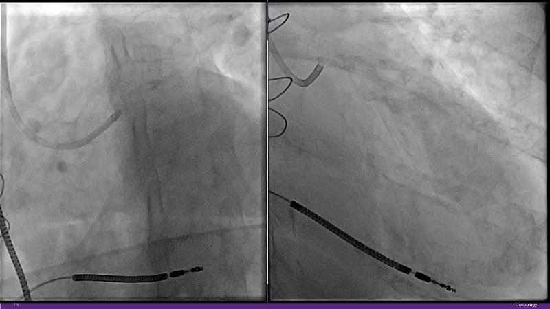
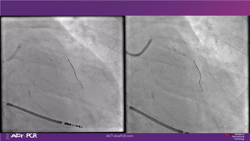
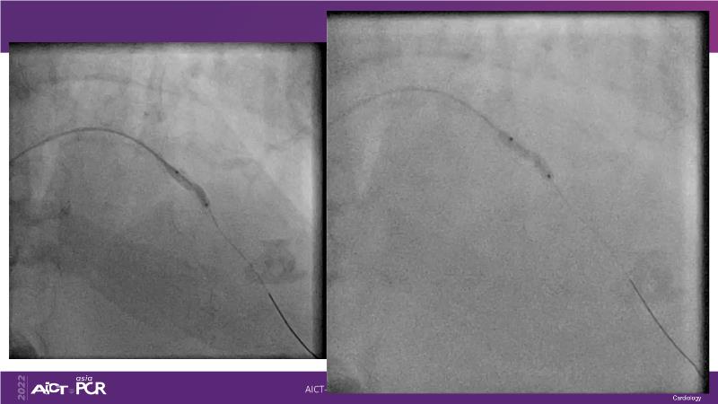
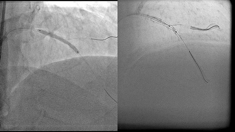
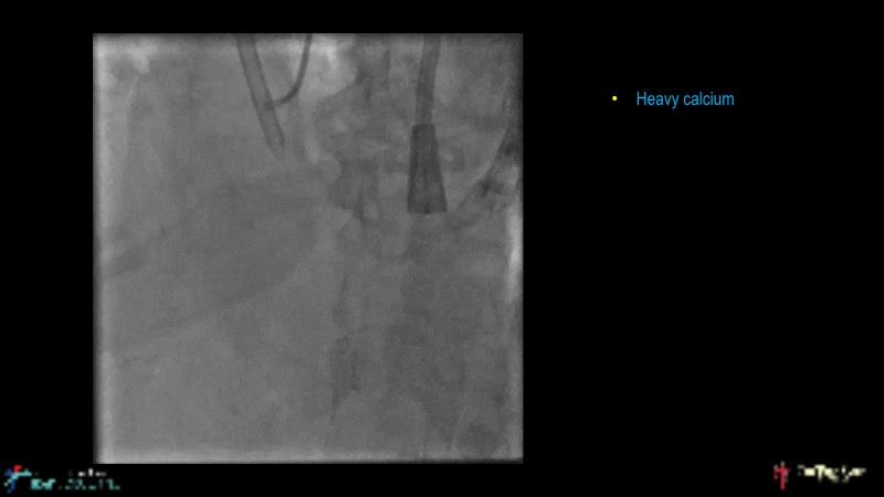
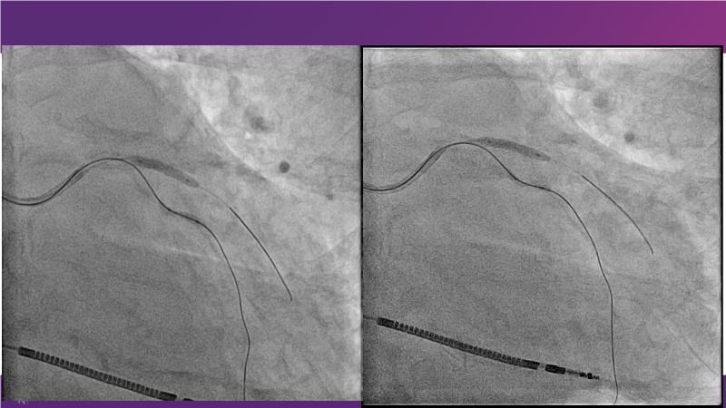
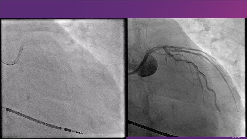
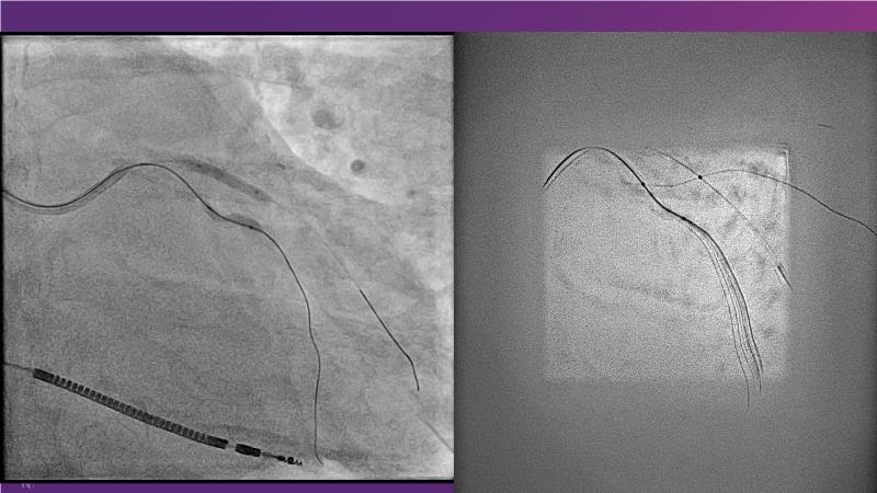
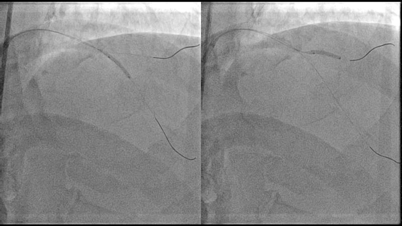
With this session, keep up to date on the evidence, trials and outcome data for intravascular lithotripsy in severely calcified lesions. Learn how to use this technique in real-world patients and understand its role in the treatment algorithm for severely calcified coronary lesions.
Learning Objectives
- To know the evidence, trials and outcome data for intravascular lithotripsy in severely calcified lesions
- To learn how to use intravascular lithotripsy in real-world patients with severely calcified coronary lesions
- To understand the appropriate role of intravascular lithotripsy in the treatment algorithm for severely calcified lesions

