18 May 2022
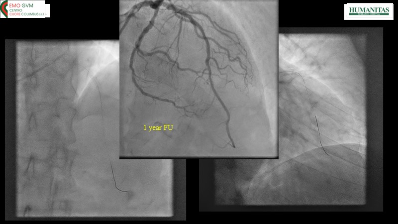
Redefining indications for drug-eluting balloons in complex PCI - The role of sustained limus release
Sponsored by MedAlliance
Anchorperson:
A. Colombo
Moderator:
K. Mashayekhi
Summary
Thanks to this EuroPCR 2022 session, discuss how sustained limus release technology can broaden DEB indications, learn about the decision-making process on the use of DEB adjacent to DES in complex PCI, and review DEB specific implantation techniques to achieve optimal outcomes for the patient.
Learning Objectives
- To discuss how sustained limus release technology can broaden DEB indications
- To learn about the decision-making process on the use of DEB adjacent to DES in complex PCI
- To review DEB specific implantation techniques to achieve optimal outcomes for the patient

