18 May 2023
Pivotal momentum for tricuspid valve interventions (Episode 1: the right side)
Sponsored by Abbott
Anchorperson:
F. Praz
Spokesperson:
N. Dumonteil
Summary
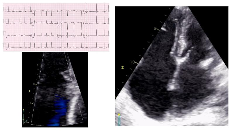
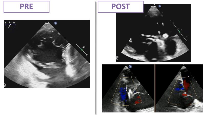
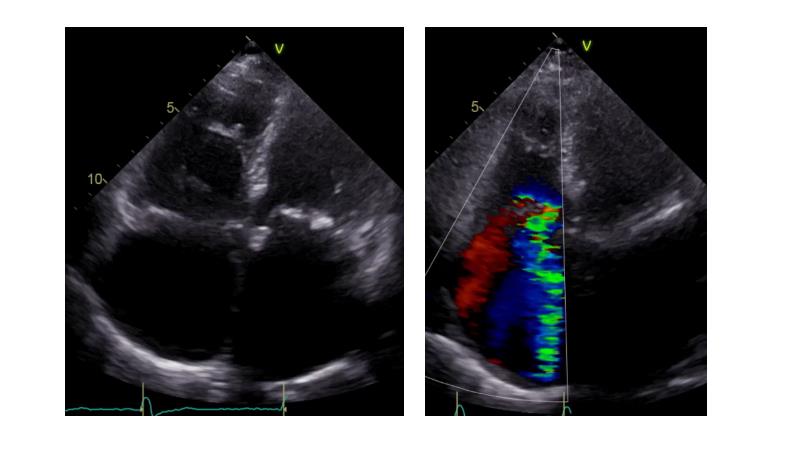
Based on an in-depth review of the data from TRILUMINATE pivotal, a randomized trial whose findings were recently published in the NEW ENGLAND JOURNAL of MEDICINE, this lecture explains how these results will impact clinical practice in the treatment of tricuspid regurgitation. Join the speakers and learn more.
Learning Objectives
- To understand why it is key to intervene in tricuspid regurgitation disease - A safe option for an unmet need
- To learn how TRILUMINATE Pivotal - the first randomised trial - is impacting the clinical practice in tricuspid regurgitation treatment
- To understand how the broadest body of evidence supports TriClip therapy as first line treatment option for tricuspid regurgitation

