17 May 2023
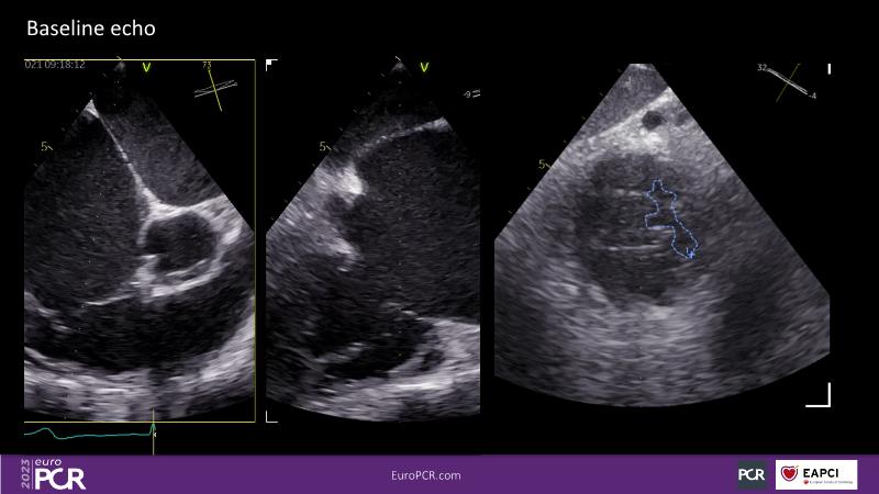
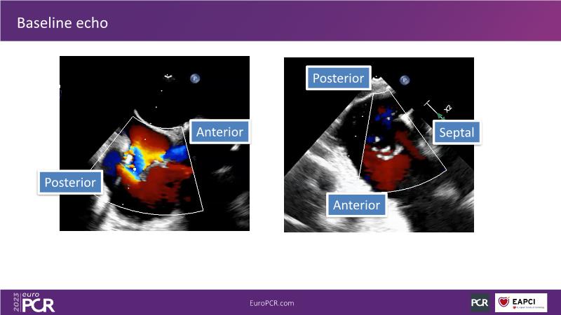
Tailoring tricuspid regurgitation patient treatment with the PASCAL Precision system
Sponsored by Edwards Lifesciences
Anchorperson:
J. Hausleiter
Spokesperson:
F. Praz
Summary
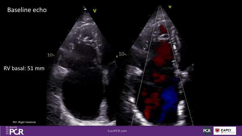
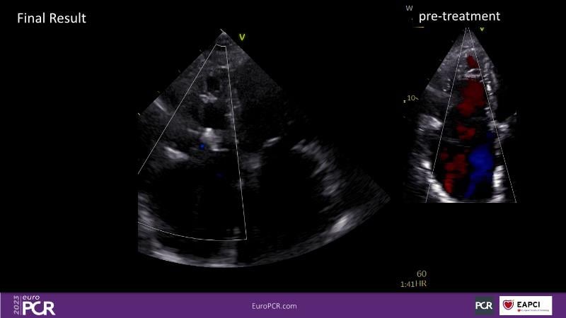
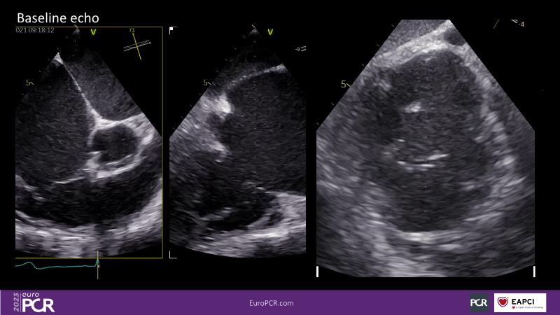
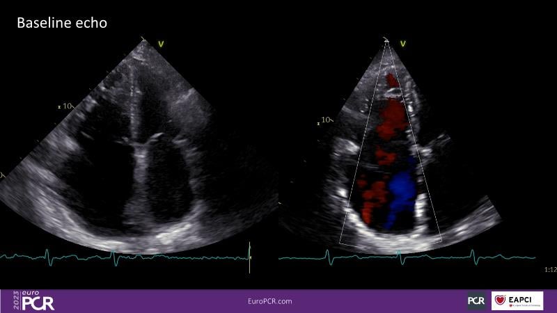
Watch this session to discuss exciting cases of tricuspid regurgitation, learn about the proposed new integrated classification for tricuspid regurgitation and enjoy a live presentation of the PASCAL Precision Repair System using a beating heart simulator, among others!
Learning Objectives
- To discuss the different tricuspid regurgitation phenotypes that can be treated with the PASCAL Precision repair system
- To experience a demonstration of the PASCAL Precision repair system using a beating heart simulator
- To participate in a case-based discussion using the PASCAL Precision repair system for the treatment of tricuspid regurgitation
- To learn the latest clinical and real-world evidence for tricuspid TEER using PASCAL, and the TR-TEER class


