14 May 2024
Evolution of complex PCI: cross, modify it, and be precise!
Sponsored by BrosMed Medical
Anchorperson:
B. Cortese
Spokesperson:
A. Menon
Summary
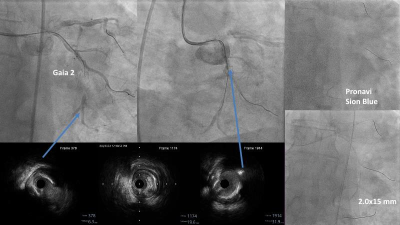
Don't miss this session for expert guidance on preparing and managing complex lesions. Gain insights into choosing the right tools, including microcatheters and balloons, for optimal treatment outcomes. Explore the innovative features of flagship devices for complex PCI, and Pronavi microcatheter and Alveo HP CTO balloon to treat complex CTO lesions. Learn about the safety and efficacy of the Wedge NC scoring balloon, the importance of using POT dedicated balloons in POT and DOT techniques, and get updated tips and tricks from ongoing clinical practices.
Learning Objectives
- To know the innovative features and capabilities of flagship devices in advancing complex PCI treatment
- To gain insights on Pronavi microcatheter and Alveo HP CTO balloon to treat complex CTO lesions, understand the safety and efficacy of lesion preparation with Wedge NC scoring balloon and the significance of using POT dedicated balloon in POT and DOT technique
- To learn the tips and tricks to optimise procedure outcomes and updated usage feedback from the ongoing clinical practices
