15 May 2024
MitraClip Asian experience: clinical evidence and experience in challenging anatomies
Sponsored by Abbott
Anchorperson:
K. Hayashida
Spokesperson:
P. Sorajja
Summary
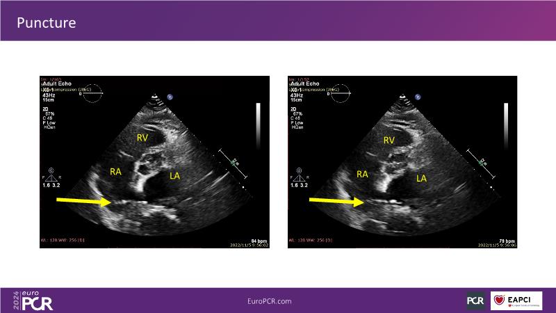
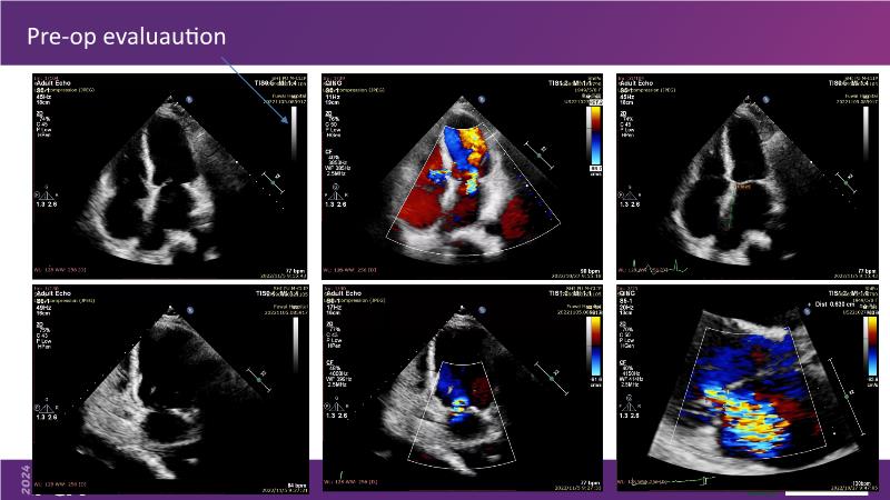
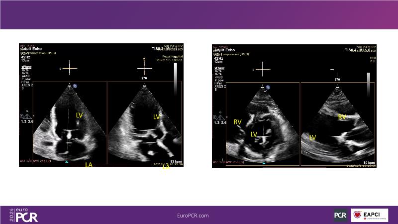
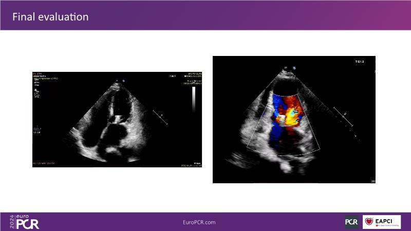
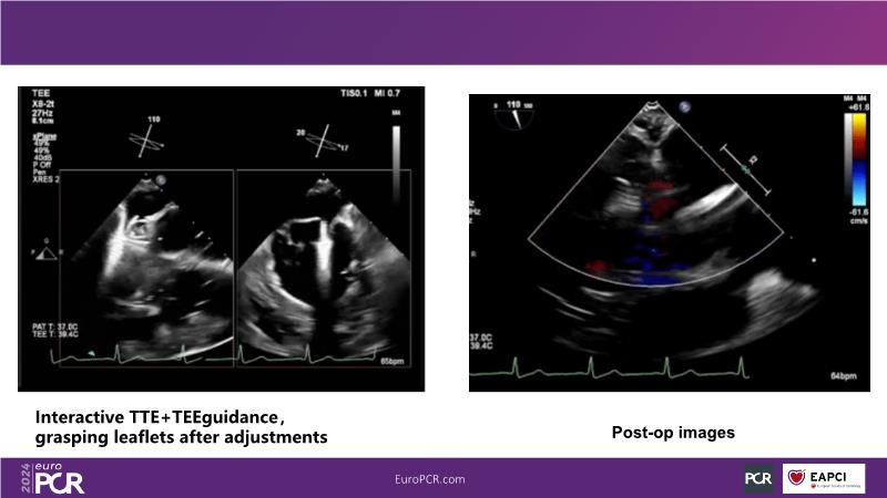
Watch this session to gain insights into the clinical evidence of mitral TEER therapy for the Asian population, learn techniques for implanting a MitraClip in patients with challenging anatomy, and understand how to use the four clip sizes for optimal outcomes. The session also covers educational aspects of clipping in dextrocardia, the benefits of reserve bending of the transseptal needle for tenting and puncture, new steering maneuvers for dextrocardia patients, and the importance of understanding anatomy and collaborating closely with the echo team for success.
Learning Objectives
- To understand the mitral TEER therapy clinical evidence for the Asian population
- To learn the tips and tricks to implant a MitraClip in a patient with challenging anatomy
- To learn how the four clip sizes are used to tailor the therapy for optimal clinical outcomes

