15 May 2024
Revisiting thrombus aspiration in STEMI with continuous power aspiration system
Sponsored by Penumbra
                        Anchorperson: 
                                            A. Sharp
                        
                                                                                    
                            
                        
                                                    Summary
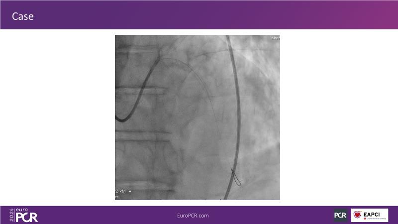
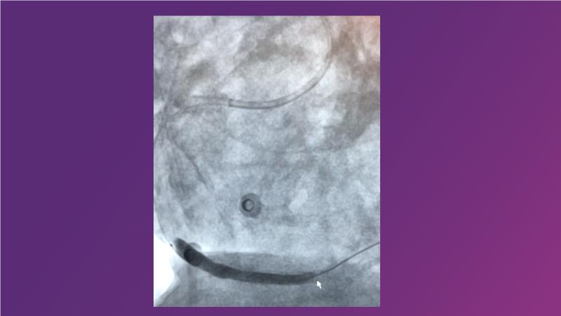
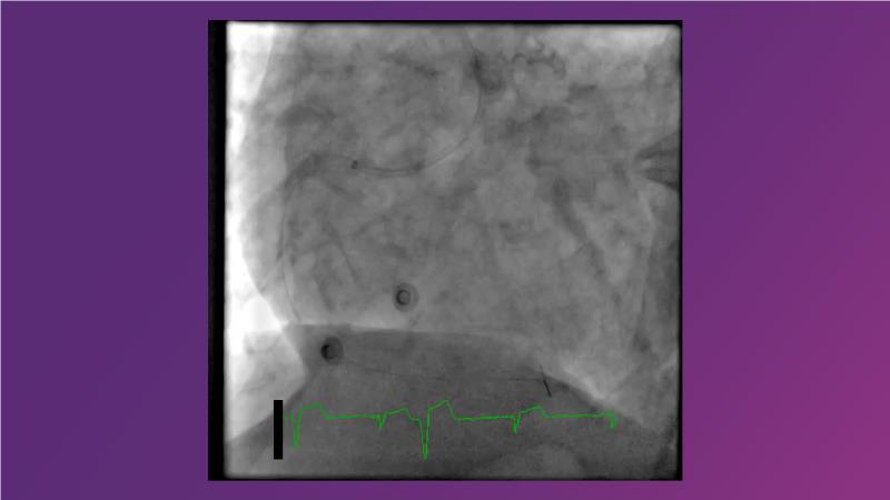
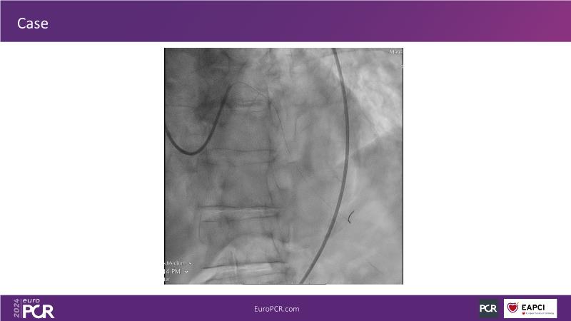
Tune into this 2024 session for insights into the latest ESC guidelines, strategies to prevent and treat no reflow, and an examination of trials like TASTE, TAPAS, and TOTAL on coronary thrombus management. Explore also the outcomes of the CHEETAH study, pondering a potential paradigm shift, and delve into a case study on thrombus removal in a patient with high thrombus burden.
Learning Objectives
- To learn state of the art, current ESC guidelines and new clinical evidence
- To learn how to treat high thrombus burden
- To learn about no reflow and potential mechanisms to prevent and treat this
 
                     
                     
    
/slide001.jpg) 
                /slide002.jpg) 
                /slide003.jpg) 
                /slide004.jpg) 
                /slide005.jpg) 
                /slide006.jpg) 
                /slide007.jpg) 
                /slide001.jpg) 
                /slide002.jpg) 
                /slide003.jpg) 
                /slide004.jpg) 
                /slide005.jpg) 
                /slide006.jpg) 
                /slide007.jpg) 
                /slide008.jpg) 
                /slide009.jpg) 
                /slide010.jpg) 
                /slide011.jpg) 
                /slide012.jpg) 
                /slide013.jpg) 
                /slide014.jpg) 
                /slide015.jpg) 
                /slide016.jpg) 
                /slide001.jpg) 
                /slide002.jpg) 
                /slide003.jpg) 
                /slide004.jpg) 
                /slide005.jpg) 
                /slide006.jpg) 
                /slide007.jpg) 
                /slide008.jpg) 
                /slide009.jpg) 
                /slide010.jpg) 
                /slide011.jpg) 
                /slide012.jpg) 
                /slide013.jpg) 
                /slide014.jpg) 
                /slide015.jpg) 
                /slide016.jpg) 
                /slide017.jpg) 
                /slide018.jpg) 
                /slide019.jpg) 
                /slide020.jpg) 
                /slide021.jpg) 
                /slide022.jpg) 
                /slide023.jpg) 
                /slide024.jpg) 
                
/slide001.jpg) 
                /slide002.jpg) 
                /slide003.jpg) 
                /slide004.jpg) 
                /slide005.jpg) 
                /slide006.jpg) 
                /slide007.jpg) 
                /slide008.jpg) 
                /slide009.jpg) 
                /slide010.jpg) 
                /slide011.jpg) 
                /slide012.jpg) 
                /slide013.jpg) 
                /slide014.jpg) 
                /slide015.jpg) 
                /slide016.jpg) 
                /slide017.jpg) 
                /slide018.jpg) 
                /slide019.jpg) 
                /slide020.jpg) 
                /slide021.jpg) 
                /slide022.jpg) 
                /slide023.jpg) 
                /slide024.jpg) 
                /slide025.jpg)