21 May 2025
Optimal management of high bleeding risk patient with multivessel disease
Sponsored by Terumo Interventional Systems
Anchorperson:
T. Cuisset
Spokesperson:
J. Fajadet
Summary
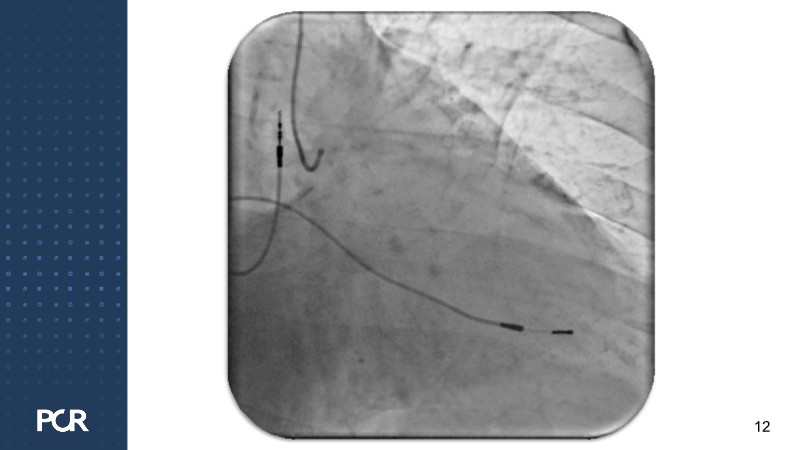
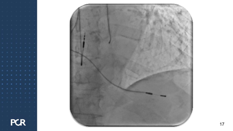
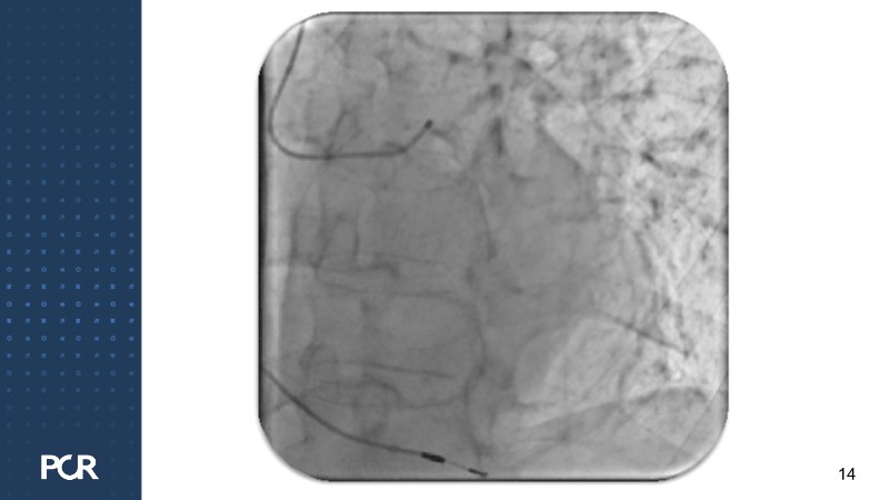
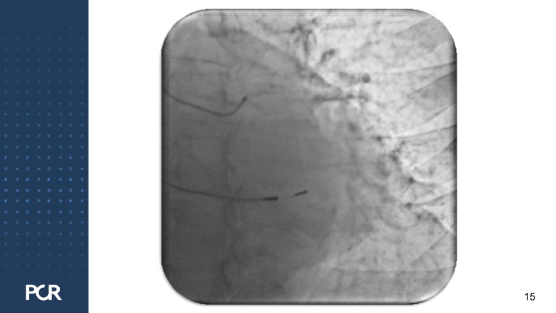
This session offers a comprehensive overview of the management of high bleeding risk (HBR) patients with multivessel disease. Through expert discussion and a live case demonstration featuring a complex elderly patient, it highlights how intracoronary imaging and physiology can guide procedural decisions and improve outcomes in this vulnerable population. The session also explores PCI strategies adapted to bleeding risk profiles, with a particular focus on the live case approach, including the use of sirolimus-eluting stents to optimise both procedural safety and long-term results.
Learning Objectives
- To discuss about optimal management of high bleeding risk patient with multivessel disease
- To reflect about optimal PCI strategy for high bleeding risk patient with multivessel disease
- To analyse how intracoronary imaging and physiology can optimise procedural outcomes of high bleeding risk patients with multivessel disease

