21 May 2025
Redefining complex PCI: impact of real-world data and novel evidence on IV antithrombotic strategies
Sponsored by Chiesi Farmaceutici
Spokesperson:
D. Angiolillo
Summary
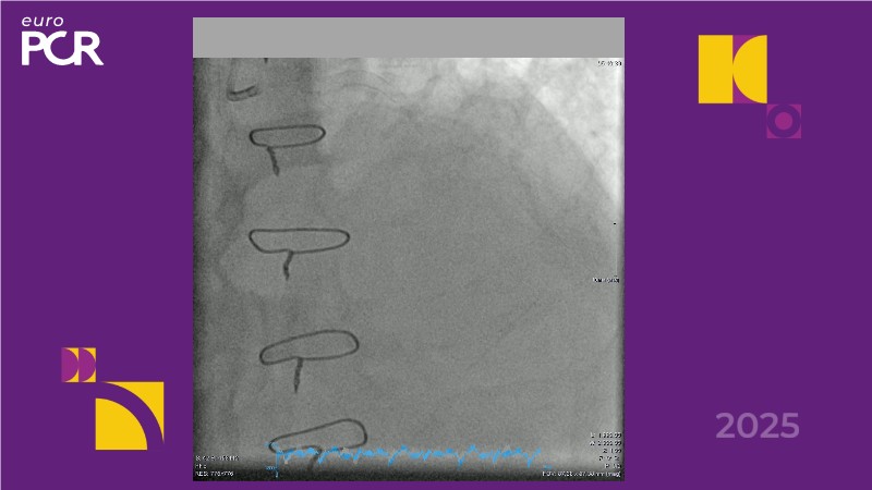
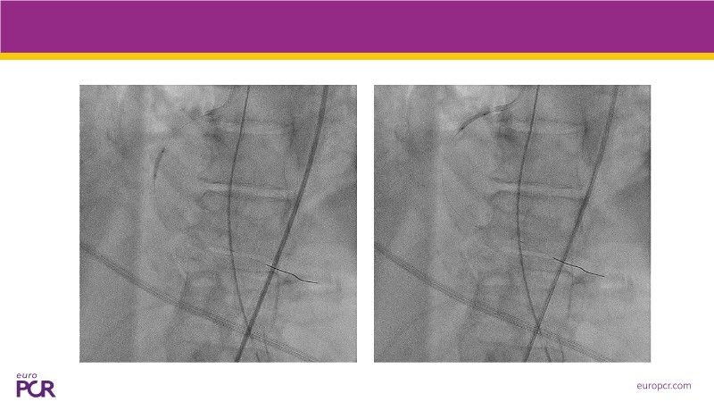
Explore how real-world data and evolving evidence are reshaping IV antithrombotic strategies in complex PCI. This EuroPCR 2025 session brings together urgent clinical cases—including STEMI patients in shock—and highlights key insights from the SMILE registry. Learn how transition protocols from cangrelor to oral P2Y12 inhibitors are applied in practice, compare approaches across Europe and the US, and get a forward-looking perspective on what’s next for IV therapies in 2025. A must-watch for anyone managing high-risk PCI.
Learning Objectives
- To evaluate real-world evidence on antithrombotic strategies in clinical practice across Europe and USA
- To analyse outcomes associated with the transition from cangrelor to oral P2Y12 inhibitors
- To discuss implications of the findings on real-world evidence on state-of-the-art IV therapies in 2025

