30 Sep 2025
Second valve strategies with SAPIEN 3 Ultra RESILIA
Sponsored by Edwards Lifesciences
Spokesperson:
K. Almerri
Summary
Gain key insights into managing second valve interventions with the SAPIEN 3 Ultra RESILIA system.
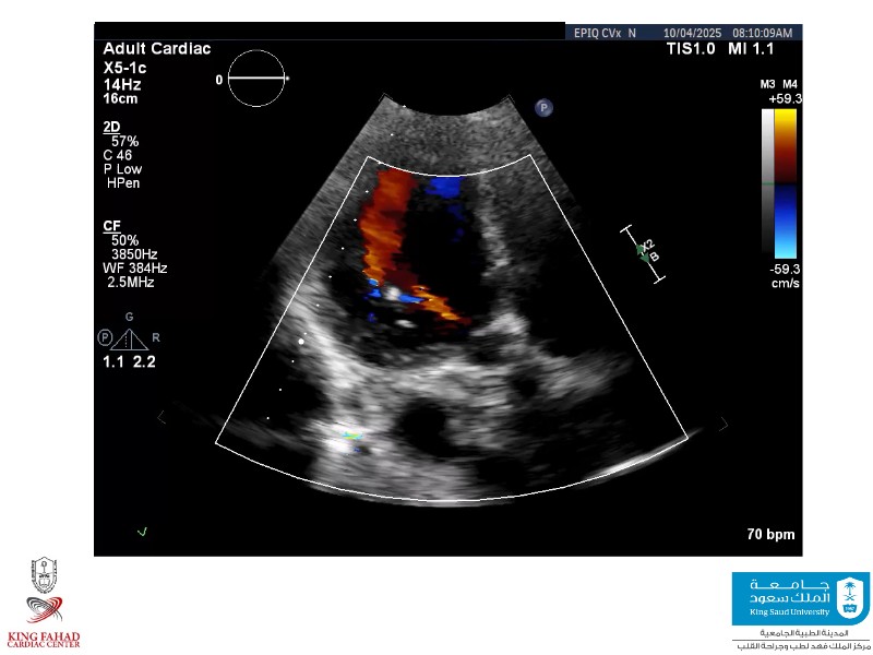
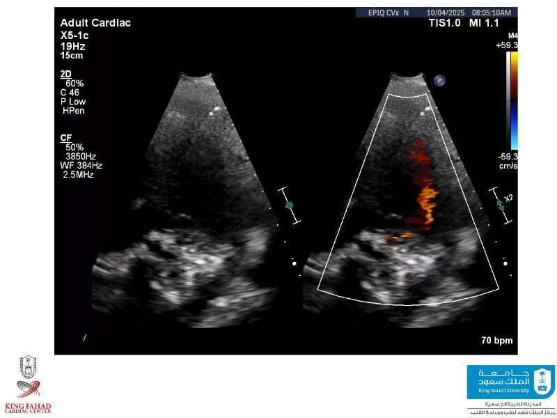
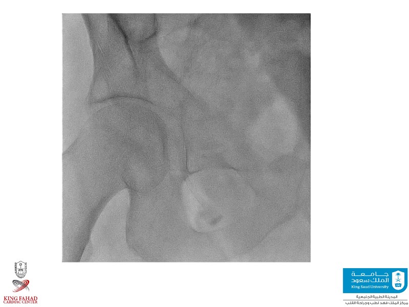
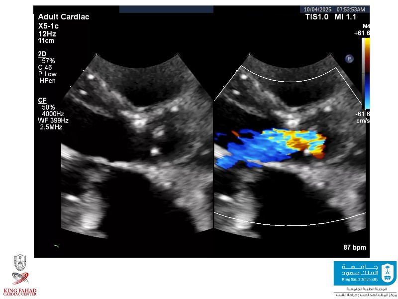
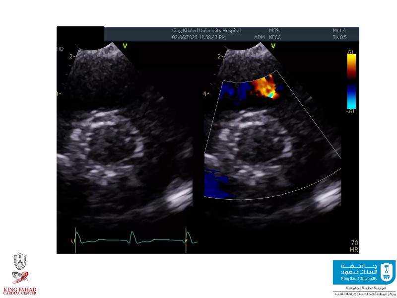
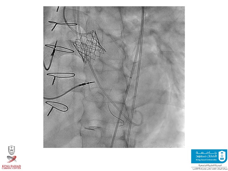
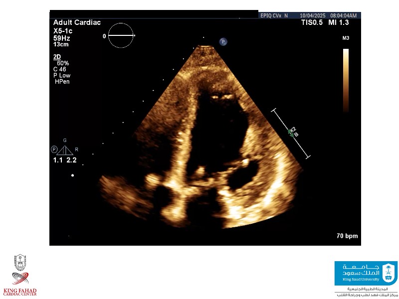
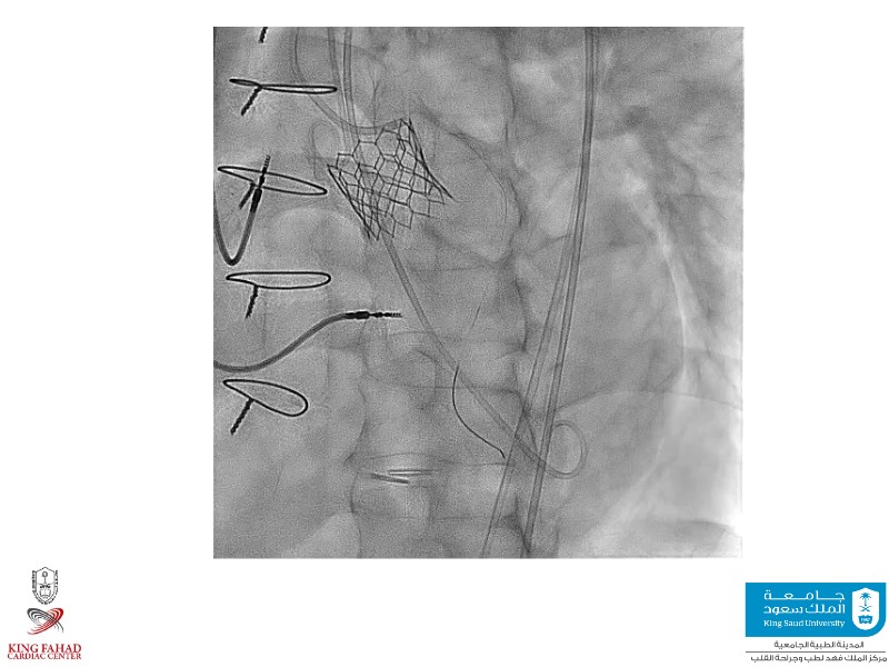
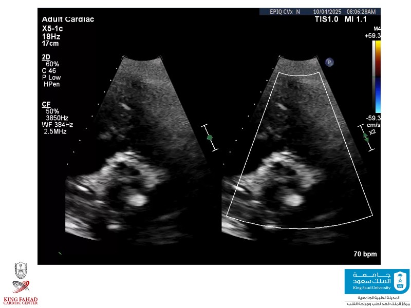
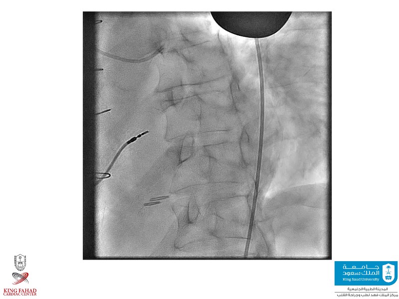
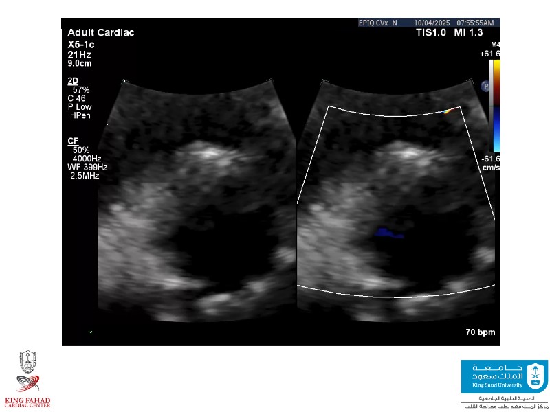
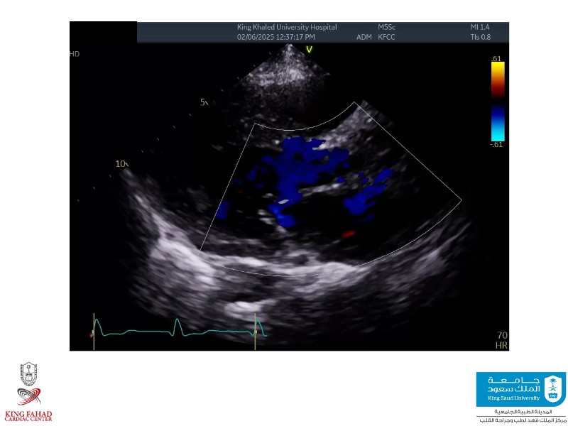
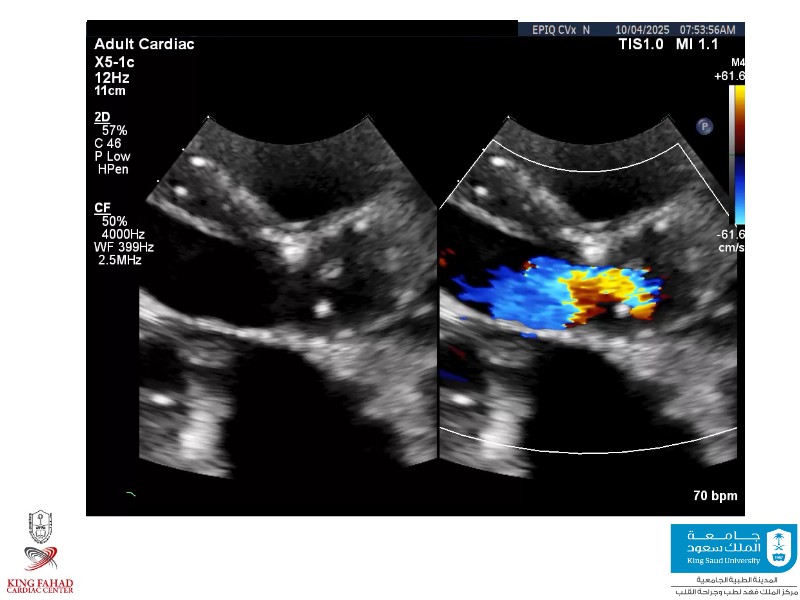
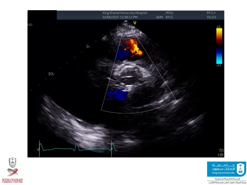
This session helps you anticipate and address complex scenarios such as mitral valve-in-valve, TAV-in-SAV, and valve-in-valve-in-valve procedures. Learn from expert case discussions that explore procedural strategies, technical challenges, and best practices to optimize outcomes in redo structural heart interventions.
Learning Objectives
- To anticipate and manage second valve scenarios with SAPIEN 3 Ultra RESILIA, including mitral valve-in-valve, TAV-in-SAV, and TAV-in-TAV
- To understand procedural strategies and challenges in complex redo scenarios using SAPIEN 3 Ultra RESILIA
- To gain insights from expert-led case discussions to optimise patient outcomes
