Barbara Bellini
Latest contributions
TAVI in women
22 May 2025 – From EuroPCR 2025
Focus on gender-specific considerations in TAVI with this session. Topics include timely management and referral disparities in women with severe aortic stenosis, early outcomes from the LANDMARK trial with latest-generation valves, insights from NAVULTRA comparing valve types, prosthesis-patient mismatch data, and gender differences in right ventricular...

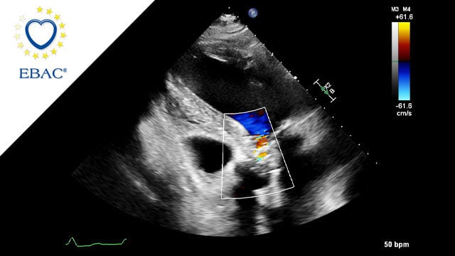
First-in-human experience with EasyCross: a novel catheter for a safe and correct aortic valve crossing
14 Jun 2024
This EIJ image highlights a new device designed to enhance the safety and efficiency of ViV TAVI procedures, particularly TAV-in-TAV, by reducing attempts to cross the valve and preventing guidewire misnavigation, thereby minimizing complications and procedure time.

Unusual NSTEMI
18 May 2023 – From EuroPCR 2023
Embark on an exploration of unusual NSTEMI cases, where extraordinary interventions and innovative approaches redefine patient care: witness the life-saving use of ECMO in acute coronary occlusion and cardiac arrest, delve into the complexities of multivessel PCI in patients with global vascular disease and renal dysfunction,...

PCR's Got Talent - Round 1 - Session 1
16 May 2023 – From EuroPCR 2023
Have you attended this session and wish a memory boost? Look at the slides presented by the speakers and review what is important to remember.

Various indications for closure devices
19 May 2022 – From EuroPCR 2022
Discover various scenarios describing the use of closure devices, such as a percutaneous closure of a broken heart, a transseptal complication, or even a percutaneous closure of ruptured sinus of valsalva aneurysm with a VSD device.

Prevention and treatment of complications related to valve interventions
19 May 2022 – From EuroPCR 2022
To learn more about the prevention and treatment of complications related to valve interventions, watch these cases, including the case of a 70 year old with Iatrogenic aortic stenosis, the closure of paravalvular leaks of a 68 year old male affected by chronic aortic dissection or...

Treating tricuspid regurgitation percutaneously: tools and impacts
19 May 2022 – From EuroPCR 2022
Discover the tools and impacts of treating tricuspid regurgitation percutaneously by watching the cases of valve replacement, valve-in-ring implantation, transcatheter edge-to-edge repair and many more.

Recurrent angina: how to solve
18 May 2022 – From EuroPCR 2022
Watch these videos to discover various tips and techniques to deal with recurrent angina, such as the percutaneous reduction of the coronary sinus, the invasive coronary function testing, the vaso-reactivity testing by intracoronary acetylcholine infusion, and more!

Left heart suffering after successful TAVI
12 May 2021 – From EuroPCR 2021
In this session, analyze a rare case of cardiogenic shock after TAVR, get prepared in case of Takotsubo cardiomyopathy after transcatheter aortic valve-in-valve replacement, get hints for troubleshooting in treating left-sided obstructions, find out more about transfemoral TAVI and mitral clipping for prevention of a SAM-phenomenon, and more!
