Stephan Haussig
Latest contributions
New roads begin where old ones end: a TAVI case
12 Jan 2026
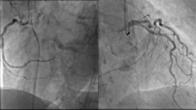
An 85-year-old woman presents with exertional dyspnea and angina, alongside severe paradoxical low-flow, low-gradient aortic stenosis, marked mitral and tricuspid valve disease, and two-vessel coronary artery disease. Frailty markers and hostile pelvic anatomy further complicate her profile.
How would your Heart Team approach this challenging case?

Author

Author
Rendez-vous with Myval THV series and Landmark RCT subset analysis
24 Nov 2024 – From PCR London Valves 2024
Discover this interactive session during which the audience learns about and discusses the novel Myval THV Series, a series of valves featuring intermediate and XL sizes. They also discuss the results of the pivotal LANDMARK randomized controlled trial and its relevance in clinical practice.