Veysel Ozgur Baris
Latest contributions
Featured cases - Non-transfemoral TAVI access
26 Nov 2024 – From PCR London Valves 2024
Delve into this session showcasing a range of non-transfemoral TAVI access techniques from PCR London Valves 2024. Discover alternative approaches such as transiliac, transsubclavian, and transcaval access, employed to overcome complex anatomical challenges. Learn how to navigate tortuous vasculature, snare-assisted TAVR, and transform access when traditional...

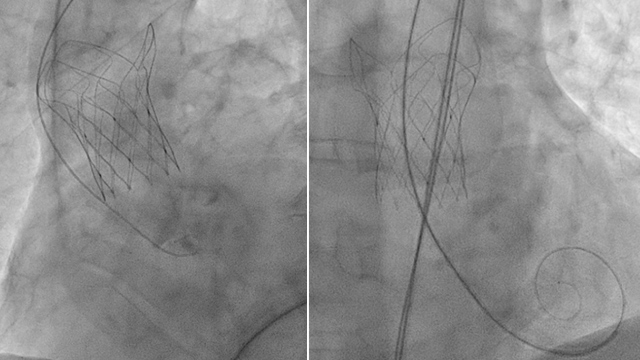
Rapid-Fire - TAVI complications: valve embolization, balloon ruptures & more!
26 Nov 2024 – From PCR London Valves 2024
Dive into this rapid-fire session showcasing a collection of captivating TAVI complication cases from PCR London Valves 2024. Witness the highs and lows of TAVI procedures, from valve embolization and parallel wiring to balloon ruptures and deformed valves. Gain valuable insights through reflective learning and discover...

Rapid-fire - TAVI in challenging anatomy
25 Nov 2024 – From PCR London Valves 2024
Dive into a rapid-fire session showcasing selected clinical cases from PCR London Valves 2024. Witness the management of TAVI in challenging anatomies, including left ventricular outflow tract calcification, peripheral tortuosity, hostile aorta, and more. Expand your knowledge and gain practical insights to navigate complex TAVI scenarios.

Featured research - Aortic valve (Part 2)
24 Nov 2024 – From PCR London Valves 2024
This second part of the featured research session on aortic valve interventions delves into a wide range of topics, including vascular complications, valve-in-valve TAVI, coronary protection strategies, predictors of mortality, and innovative techniques. Discover the latest advancements and insights from cutting-edge research.

TAVI: how to prevent stroke
17 May 2024 – From EuroPCR 2024
This session focuses on strategies for preventing stroke during TAVI procedures. It features case presentations and discussions on the use of cerebral protection devices, including a novel full-body embolic protection device, and the management of complications such as cerebral hyperperfusion syndrome.

Left main bifurcation and haemodynamic support
15 May 2024 – From EuroPCR 2024
