3847 results for «2277»

Filter By

3847 results

TTVR - Part 2

17 Nov 2025 – From PCR London Valves 2025

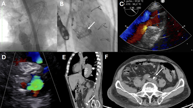
This session presents advances in transcatheter tricuspid valve replacement (TTVR), highlighting cases such as Evoque valve implantation post-cardioband, TTVR following valve annuloplasty in amyloidosis, rescue interventions after edge-to-edge repair failure, and management of complex anatomical challenges including left inferior vena cava and lead interference in high-risk...

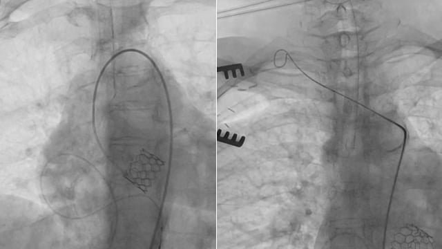
TAVI: complex vascular access - Part 2

17 Nov 2025 – From PCR London Valves 2025

Focus on complex vascular access challenges in TAVI with this session covering strategies such as the pave and crack technique for inaccessible vessels, management of bicuspid aortic stenosis with hostile access and horizontal aorta, complex single transfemoral access procedures, and combined interventions including left atrial appendage...

TAVI complications - Part 2

17 Nov 2025 – From PCR London Valves 2025

This session explores complex and uncommon complications associated with TAVI procedures, highlighting challenging clinical scenarios such as neurological complications in bicuspid valves, management of critically unstable left ventricles, and outcomes in complex valve interventions. Each topic offers valuable lessons for improving procedural safety and patient outcomes...

Challenging transcatheter mitral valve replacement

17 Nov 2025 – From PCR London Valves 2025

Explore the complexities of transcatheter mitral valve replacement (TMVR) with discussions on managing mitral annular calcification, preventing paravalvular leaks in mitral valve-in-ring procedures, strategies for larger valve deployment in large mitral rings, and the evolution of transseptal TMVR providing durable relief for previously untreatable cases.

TAVI: high coronary risk - Part 2

17 Nov 2025 – From PCR London Valves 2025

This session addresses the challenges and solutions related to high coronary risk in TAVI procedures. Topics include advanced coronary protection strategies, innovative approaches to complex valve-in-valve interventions, the benefits of balloon-assisted techniques, management of right coronary cusp obstruction through UNICORN technology, and prevention of sinus sequestration...

Complex CTO interventions - Part 1

10 Dec 2025 – From GulfPCR-GIM 2025

Explore advanced techniques in complex chronic total occlusion (CTO) interventions, featuring IVUS-guided retrograde wire facilitated antegrade approaches, novel multiwire plaque modification for uncrossable in-stent restenosis CTOs, and strategic navigation through challenging scenarios. This session highlights key procedural insights and complication management strategies essential for success in...

Featured research - TAVI: MELA, ViMech & more

17 Nov 2025 – From PCR London Valves 2025

This session presents cutting-edge research on Transcatheter Aortic Valve Implantation (TAVI), focusing on comparative outcomes between Myval and Evolut valves in large aortic annuli, the role of balloon post-dilation in self- and balloon-expandable valves, and novel valve-in-mechanical valve replacement approaches. Long-term follow-up data contrasting surgical aortic...

Featured research - TAVI: MELA, ViMech & more

Featured research - TAVI: procedural optimization

17 Nov 2025 – From PCR London Valves 2025

Delve into comprehensive analyses of TAVI procedural outcomes and innovations in this session. Topics include the impact of intercoronary angles on coronary overlap with Evolut valves, mechanisms behind superior outcomes with the latest balloon-expandable valves, and predictive modeling of hemodynamics using physics-enhanced digital twins. Additionally, sex-specific...

Featured research - TAVI: procedural optimization

Cracking calcium in modern PCI

10 Dec 2025 – From GulfPCR-GIM 2025

Explore modern PCI approaches to managing severe coronary calcium through intravascular imaging guidance. This session reviews IVUS principles, calcium modification tools, and strategies to navigate challenging calcified lesions effectively.

Challenging TAVI cases - Part 1

10 Dec 2025 – From GulfPCR-GIM 2025

Addressing complex TAVI cases, this session focuses on procedural challenges and advanced strategies to optimize safety and outcomes. Topics include high-risk valvuloplasty, management with prosthetic valves, and considerations in patients with valve thrombus.

Emergency transcatheter valve interventions: alternative therapy or bridge to surgery?

16 Nov 2025 – From PCR London Valves 2025

This session offers a compelling case-based exploration of emergency transcatheter valve interventions, demonstrating their potential as life-saving alternatives or bridges to surgery in high-risk patients. Through detailed clinical scenarios including cardiogenic shock, acute papillary muscle rupture, and severe aortic regurgitation from infective endocarditis, participants gain practical...

Emergency transcatheter valve interventions: alternative therapy or bridge to surgery?

From GDMT to TEER: management of secondary mitral regurgitation and the timing of transcatheter intervention

18 Nov 2025 – From PCR London Valves 2025

Delve into the comprehensive management of secondary mitral regurgitation, from guideline-directed medical therapy (GDMT) to transcatheter edge-to-edge repair (TEER). This session elucidates the pathophysiology of atrial and ventricular secondary mitral regurgitation, explores optimized heart failure treatments, and reviews the latest evidence on TEER as a therapeutic...

From GDMT to TEER: management of secondary mitral regurgitation and the timing of transcatheter intervention

Complex valve-in-valve leaflet modification: LIVE Educational Case from Clinique Pasteur - Toulouse, France

17 Nov 2025 – From PCR London Valves 2025

Delve into a complex valve-in-valve leaflet modification through a LIVE educational case from Clinique Pasteur, Toulouse, complemented by expert analysis and a recorded case from Erasmus University Medical Center, Rotterdam. This session presents patient imaging, operator strategy, and detailed procedural insights that enhance understanding of advanced...

Complex valve-in-valve leaflet modification: LIVE Educational Case from Clinique Pasteur - Toulouse, France

New approaches in aortic regurgitation

16 Nov 2025 – From PCR London Valves 2025

Explore new diagnostic and therapeutic approaches for managing aortic regurgitation. This session covers imaging modalities, guideline-directed patient selection, current transcatheter treatment techniques, and emerging TAVI technologies designed specifically for non-calcific aortic valve pathology.

New approaches in aortic regurgitation

Pills and pumps: targeting heart failure before and after surgical and transcatheter valve interventions

18 Nov 2025 – From PCR London Valves 2025

This session examines the integrated role of heart failure therapies in the peri- and post-procedural management of patients undergoing surgical and transcatheter valve interventions. It reviews current and emerging clinical trial data, discusses identifying high-risk patients, and explores advanced modalities such as cardiac resynchronization and circulatory...

Pills and pumps: targeting heart failure before and after surgical and transcatheter valve interventions

Mastering simple and complex LAA closure: a step-by-step case-based approach

16 Nov 2025 – From PCR London Valves 2025

This case-based session offers a comprehensive approach to mastering left atrial appendage (LAA) closure, emphasizing the critical role of imaging from pre-procedural planning through execution. It covers patient selection, procedural strategies from experienced operators, device selection tailored to anatomy, and nuanced decision-making during challenging device releases...

Mastering simple and complex LAA closure: a step-by-step case-based approach

Mitral TEER: LIVE Educational Case from Hospital Álvaro Cunqueiro - Vigo, Spain

16 Nov 2025 – From PCR London Valves 2025

This live educational case from Hospital Álvaro Cunqueiro in Vigo, Spain, offers an in-depth look at Mitral TEER, including patient presentation, imaging analysis, operator strategy, and device overview. The session also features a recorded case from the Heart and Diabetes Center NRW in Germany, providing comprehensive...

Mitral TEER: LIVE Educational Case from Hospital Álvaro Cunqueiro - Vigo, Spain

Leaflet modification techniques: latest acronyms, concepts and best practice

17 Nov 2025 – From PCR London Valves 2025

Gain comprehensive insights into leaflet modification techniques with a focus on the latest acronyms, concepts, and best practices. This session covers step-by-step approaches to transcatheter electrosurgical leaflet modification, including BASILICA, SHORTCUT, and UNICORN, alongside troubleshooting strategies and the innovative SURPLUS surgical technique.

Leaflet modification techniques: latest acronyms, concepts and best practice

Mitral TEER and LAA closure: LIVE Educational Case from Clinique Pasteur - Toulouse, France

17 Nov 2025 – From PCR London Valves 2025

This educational session presents a live case from Clinique Pasteur, Toulouse, France, focusing on Mitral Transcatheter Edge-to-Edge Repair (TEER) combined with Left Atrial Appendage (LAA) closure. Attendees gain insights into patient evaluation, operator strategies, device selection, and procedural execution, complemented by a recorded case from Upper...

Mitral TEER and LAA closure: LIVE Educational Case from Clinique Pasteur - Toulouse, France

From diagnosis to device: decision-making and planning for mitral valve interventions

17 Nov 2025 – From PCR London Valves 2025

This session offers a comprehensive overview of decision-making and procedural planning for transcatheter mitral valve interventions. It emphasizes patient-specific factors, advanced imaging for valve morphology assessment, device selection, and the integration of emerging technologies to tailor optimal treatment strategies for mitral valve disease.

From diagnosis to device: decision-making and planning for mitral valve interventions
Didn’t find what you were looking for?