3863 results for «633»
3863 results
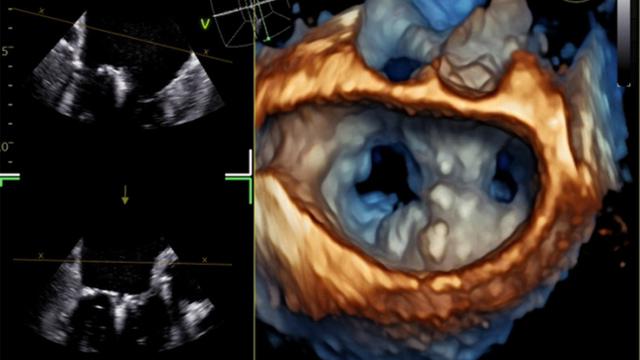
Transcatheter solutions for failed mitral TEER
18 Nov 2025 – From PCR London Valves 2025
This session presents innovative transcatheter solutions for managing failed mitral TEER procedures. It highlights advanced closure strategies for inter-clip mitral regurgitation, percutaneous approaches for recurrent mitral regurgitation, novel chordae tendineae replacement techniques, and potential bailout strategies including atrial flow regulation implantation for recurrent heart failure.
PANTHER - P2Y12 inhibitor versus aspirin monotherapy in patients with coronary artery disease
30 Aug 2022
Elad Asher provides his take on the PANTHER trial which was presented at the ESC Congress 2022 in Barcelona

Author
Comparison of puncture success rate between distal radial access and transradial access in patients with ST-elevation myocardial infarction (DRAMI)
07 Nov 2024
Aaysha Cader provides her take on the DRAMI trial presented by Jun-Won Lee at TCT 2024 in Washington.

Author