3809 results for «64»

Filter By

3809 results

Leaflet modification techniques: latest acronyms, concepts and best practice

17 Nov 2025 – From PCR London Valves 2025

Gain comprehensive insights into leaflet modification techniques with a focus on the latest acronyms, concepts, and best practices. This session covers step-by-step approaches to transcatheter electrosurgical leaflet modification, including BASILICA, SHORTCUT, and UNICORN, alongside troubleshooting strategies and the innovative SURPLUS surgical technique.

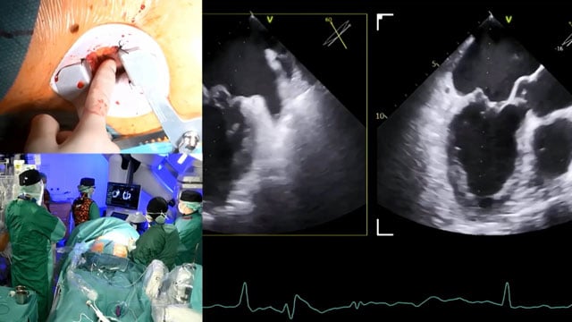
Mitral TEER and LAA closure: LIVE Educational Case from Clinique Pasteur - Toulouse, France

17 Nov 2025 – From PCR London Valves 2025

This educational session presents a live case from Clinique Pasteur, Toulouse, France, focusing on Mitral Transcatheter Edge-to-Edge Repair (TEER) combined with Left Atrial Appendage (LAA) closure. Attendees gain insights into patient evaluation, operator strategies, device selection, and procedural execution, complemented by a recorded case from Upper...

Best clinical cases & Early Career Research Award

17 Nov 2025 – From PCR London Valves 2025

Explore a series of innovative clinical cases highlighting the integration of advanced expertise and AI in managing complex structural heart interventions. This session includes compelling cases such as the use of ANCHOR BASILICA to prevent coronary obstruction, the Lithotripsy-BATMAN technique for mitral valve interventions in calcified...

Challenging valve and structural interventions: Recorded Educational Cases from Netcare Sunninghill Hospital - Johannesburg, South Africa

17 Nov 2025 – From PCR London Valves 2025

This session presents recorded educational cases from Netcare Sunninghill Hospital in Johannesburg, South Africa, illustrating challenging valve and structural interventions. These real-world cases offer valuable insights into patient presentations and procedural execution in complex structural heart disease management.

Complex valve-in-valve leaflet modification: LIVE Educational Case from Clinique Pasteur - Toulouse, France

17 Nov 2025 – From PCR London Valves 2025

Delve into a complex valve-in-valve leaflet modification through a LIVE educational case from Clinique Pasteur, Toulouse, complemented by expert analysis and a recorded case from Erasmus University Medical Center, Rotterdam. This session presents patient imaging, operator strategy, and detailed procedural insights that enhance understanding of advanced...

From diagnosis to device: decision-making and planning for mitral valve interventions

17 Nov 2025 – From PCR London Valves 2025

This session offers a comprehensive overview of decision-making and procedural planning for transcatheter mitral valve interventions. It emphasizes patient-specific factors, advanced imaging for valve morphology assessment, device selection, and the integration of emerging technologies to tailor optimal treatment strategies for mitral valve disease.

Hotline - TAVI - Part 2

16 Nov 2025 – From PCR London Valves 2025

This session presents cutting-edge research comparing self-expanding and balloon-expandable valves in urgent and emergent TAVI settings, with a focus on small aortic annuli. It includes data from the NAVULTRA and LANDMARK trials, featuring novel biomimetic balloon-expandable valves and early feasibility studies that shed light on valve...

Mitral TEER: LIVE Educational Case from Hospital Álvaro Cunqueiro - Vigo, Spain

16 Nov 2025 – From PCR London Valves 2025

This live educational case from Hospital Álvaro Cunqueiro in Vigo, Spain, offers an in-depth look at Mitral TEER, including patient presentation, imaging analysis, operator strategy, and device overview. The session also features a recorded case from the Heart and Diabetes Center NRW in Germany, providing comprehensive...

New approaches in aortic regurgitation

16 Nov 2025 – From PCR London Valves 2025

Explore new diagnostic and therapeutic approaches for managing aortic regurgitation. This session covers imaging modalities, guideline-directed patient selection, current transcatheter treatment techniques, and emerging TAVI technologies designed specifically for non-calcific aortic valve pathology.

Didn’t find what you were looking for?