Interdisziplinäre Therapiestrategie bei einem Patienten mit geringem Risiko, Aortenstenose und erhaltener Lebenserwartung
Ein 71-jähriger Patient mit geringem Risiko, symptomatischer schwerer Aortenstenose und erhaltener Ventrikelfunktion stellt sich mit fortschreitender Dyspnoe und Brustschmerzen vor. Angesichts seiner hohen Lebenserwartung erfordert die Wahl der Behandlung eine sorgfältige interdisziplinäre Planung. Wie würden Sie behandeln?
Authors
- 71-jähriger männlicher Patient
- Überweisung zur Untersuchung wegen fortschreitender Belastungsdyspnoe (NYHA II-III) und Brustschmerzen
Kardiovaskuläre Risikofaktoren | Klinisches Erscheinungsbild | Lebensweise |
Arterielle Hypertonie | Größe: 185 cm | im Ruhestand |
Erhöhte Lipidwerte | Gewicht: 105 kg | zu Hause aktiv |
Ehemaliger Raucher | BMI: 30;7 kg/m2 |
Fallplanung: Echo
- p-max / p-mean: 82 / 42 mmHg
- v-max: 3;9 m/s
- EOA: 0;8 cm2
- LV-EF 64 %, erhaltene RV-Funktion
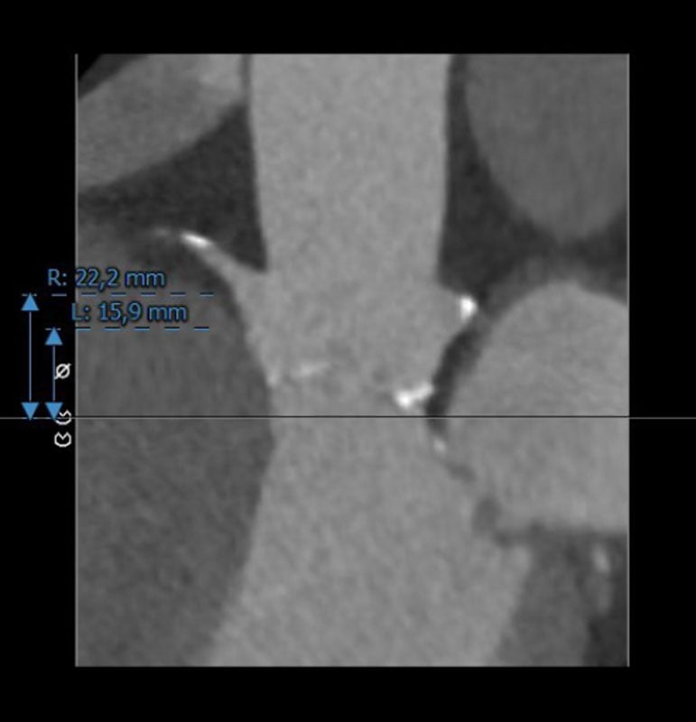
Fallplanung: CT

Anulus: 29,6 cm

LVOT: 32,2 cm

Mäßige Ca2+, Trikuspid

Sinus Vasalvae

LCA: 15,9 mm
RCA: 22,2 mm

Rechts

Links


LAO 3° - kranial 19°

RAO 14° - kaudal 9°
Lernziele
- Erfahren Sie, warum und wie die Herz-CT eine immer wichtigere Rolle bei der Beurteilung von Patienten mit schwerer Aortenstenose spielt (z. B. Kalzium-Score, Koronaruntersuchung).
- Erfahren Sie, warum Patienten mit asymptomatischer schwerer Aortenstenose eine AVR angeboten wird.
- Verstehen Sie, welche Aspekte bei der Auswahl des Indexventils wichtig sein können und wie dies das Lebenszyklusmanagement beeinflussen kann.
Offenlegung
Dr. Conradi gibt folgende Offenlegungen bekannt:
- Beiratsmitglied bei Medtronic, Abbott und JenaValve
- Berater für Edwards Lifesciences, Boston Scientific, Venus Medtech, MicroPort, MicroInterventions, Neovasc, Pi-Cardia, 4C Medical und Smartcanula SARL















No comments yet!