Is it an acute STEMI with a double culprit lesion?

Image in interventional cardiovascular medicine: what is displayed on this image? ... And do not hesitate to comment on how you would treat this case!

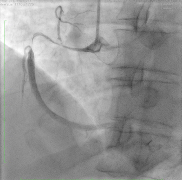
A 59-year-old man. Arterial hypertension and smoker. Consultation due to oppressive chest pain. Electrocardiogram: ST elevation in the inferior and anterior walls. Coronary angiography was performed.An image is worth a 1,000 words: participate in the quiz below to tell us what you see in this image!

Is it an acute STEMI with a double culprit lesion?

Is it an acute STEMI with a double culprit lesion?

Authors

CATALDO Pabla1, DAUVERGNE Christian1, DUARTE Manuel1, GARCIA Alfonso1, MENDEZ Manuel1, PINEDA Fernando1, URIARTE Polentzi1, SANDOVAL Jorge1
  1. Hospital del Tórax, Providencia, CHILE

Join the discussion

4 comments

  • Ali Nazmi Calik 22 Apr 2023

  • Ali Nazmi Calik 22 Apr 2023

  • anil sarica 23 Apr 2023

    Discection

  • Soham Chaudhari 29 Apr 2023

    SCAD TYPE 2