28 Nov 2022
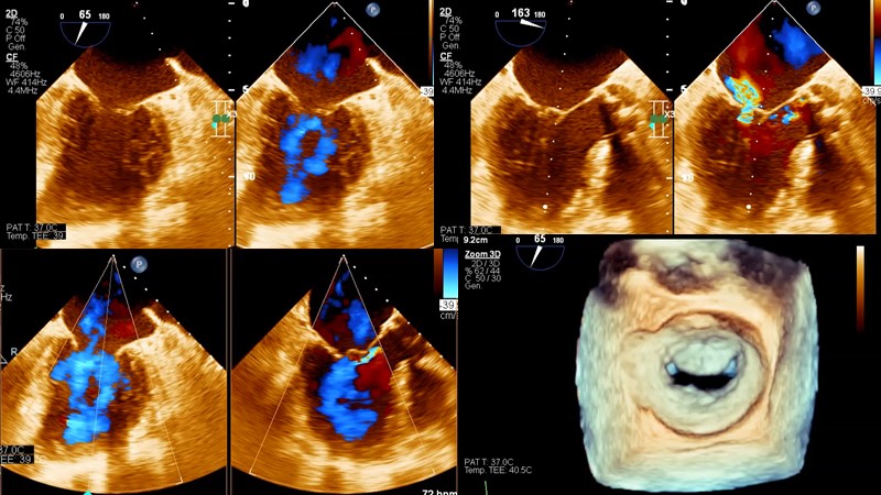
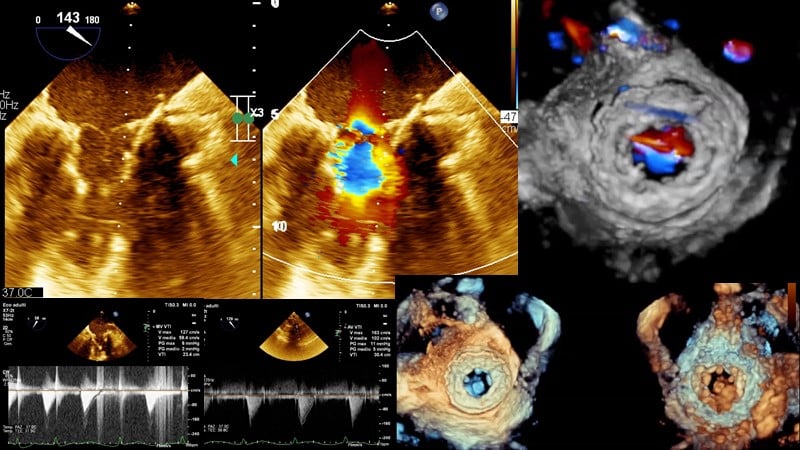
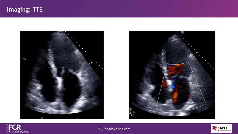
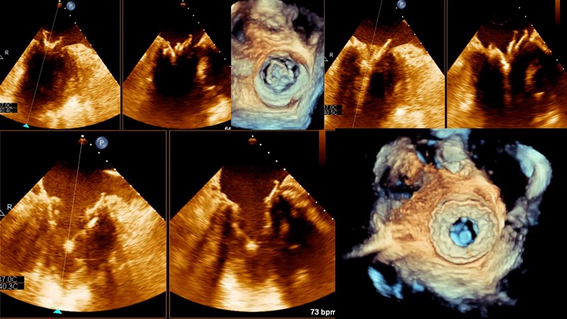
A case-based tailored approach to the treatment of mitral valve disease: the Heart Team ring
Case-based symposium - Sponsored by Abbott
Anchorperson:
F. Maisano
Moderator:
F. Praz
Summary
Join an advanced Heart Team in a real case discussion to understand what "mitral valve complexity" really means and to learn how to optimise selection between repair and replacement options.
Learning Objectives
- To join a real case discussion involving an advanced Heart Team
- To understand what "mitral valve complexity" really means
- To learn how to optimise selection between repair and replacement options
