07 Oct 2022
Sirolimus coated balloon: expanding the scope of coronary artery disease treatment
Sponsored by Concept Medical, Inc.
Anchorperson:
A. Seth
Moderator:
H. C. Tan
Summary
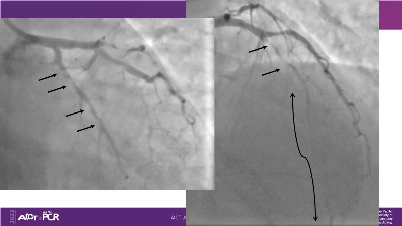
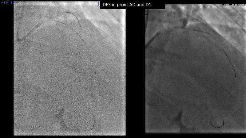
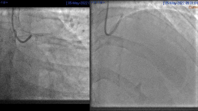
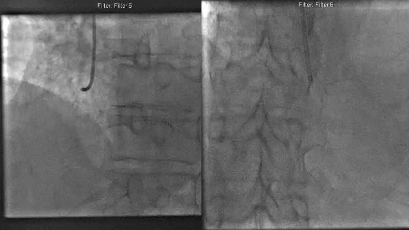
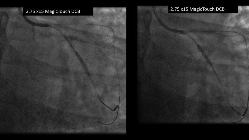
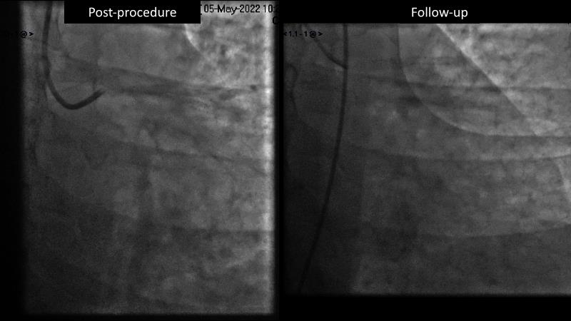
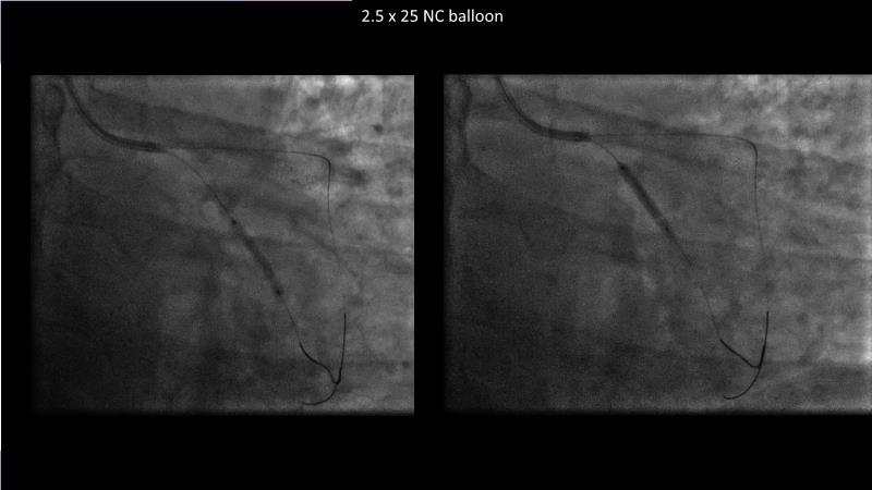
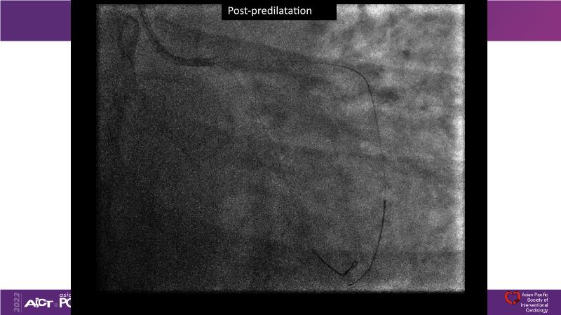
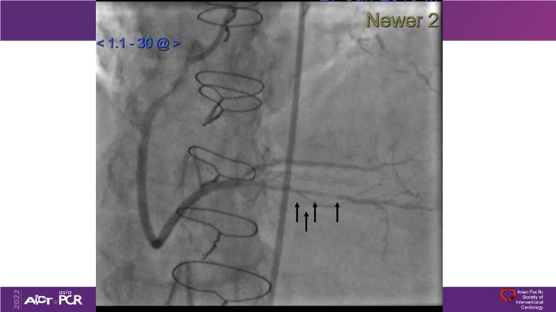
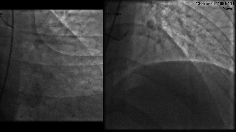
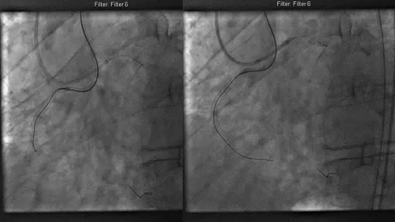
Consult this session to understand the technology and scientific evidence of the novel sirolimus drug-coated balloon, to learn its utility for PCI in a variety of lesion and patient subsets and to understand the evidence and outcomes in real-world patients.
Learning Objectives
- To understand the technology and scientific evidence of the novel sirolimus drug-coated balloon (SDCB)
- To learn the utility of the DCB for PCI in a variety of lesion and patient subsets
- To understand the evidence and outcomes of this DCB in real world patients

