17 May 2022
Sirolimus coated balloon and coronary artery disease: expanding the treatment indications
Sponsored by Concept Medical Inc.
Anchorperson:
P. Serruys
Moderator:
A. Latib
Summary
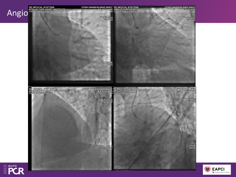
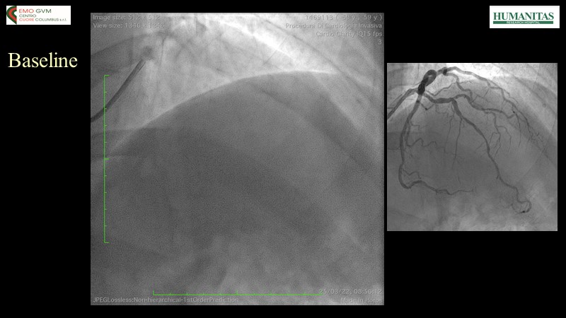
Through a case presentation, as well as upcoming studies and rationale for the Food and Drug Administration, the aim of this EuroPCR 2022 session is to help you answer the following questions: how can the use of a sirolimus-coated DCB be expanded in new and challenging treatment indications? Why is sirolimus-coated balloon the ideal choice in native vessel disease treatment? What does the future hold for sirolimus-coated balloons?
Learning Objectives
- To understand how to widen the use of a sirolimus DCB in new and challenging treatment indications
- To know why sirolimus coated balloon is the ideal choice in native vessel disease treatment through a case presentation
- To know what the future has in store for sirolimus coated balloons - upcoming studies and rationale for the Food and Drug Administration

