21 Sep 2023
A hybrid approach in complex PCI: can DES and DCB be complementary?
Sponsored by Medtronic
Anchorperson:
H. C. Tan
Spokesperson:
M. A. Rosli
Summary
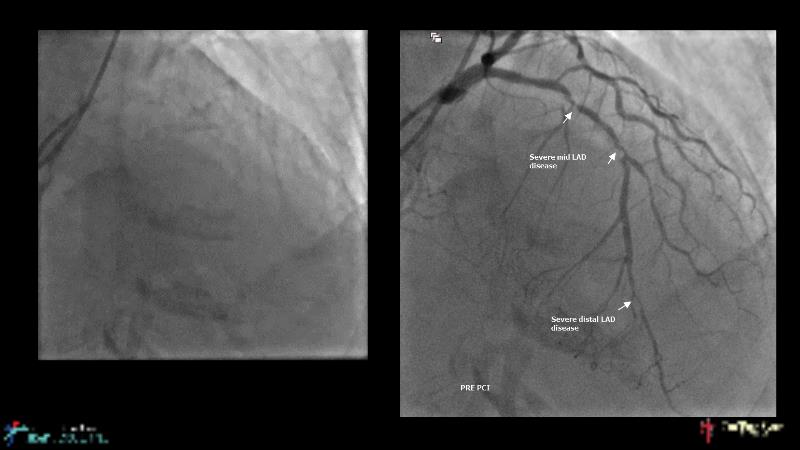
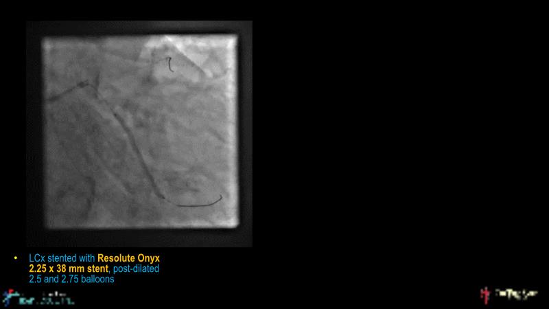
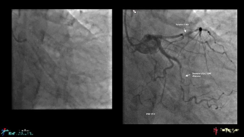
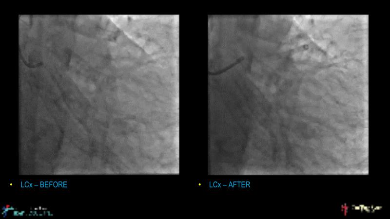
Watch this case-based session to follow discussion about how to choose between DES & DCB, how both can be complementary in diffuse disease as well as in complex PCI, and how physiology and imaging can help guiding PCI, and follow a patient's treatment live.
Learning Objectives
- To learn the tips and tricks in performing complex PCI intervention with DES and/or DCB
- To discuss cases when DES and DCB are complementary
- To discover strategies to simplify complex PCI cases with the latest DES and DCB


