18 May 2023
DCB, DES, BRS - One fits all or all fit together?
Sponsored by B.Braun Melsungen AG
Summary
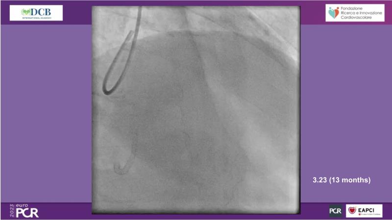
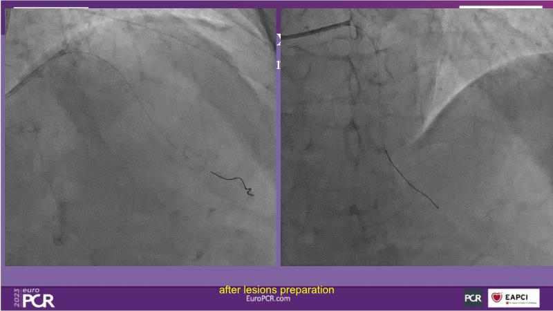
Check out this session to learn more about polymer-free treatment options with DCB and DES, increasing DCB in the daily cathlab routine, and the possibility of including BRS in the daily PCI routine.
Learning Objectives
- To receive an in-depth insight into the latest clinical data and experiences on drug-coated balloon usage in in-stent restenosis, de-novo and bifurcation indications
- To learn more about your options with DCB and DES in high bleeding risk patients
- To learn about the possibility to include BRS in daily PCI routine

