15 May 2024
Complex PCI in ACS patient with high bleeding risk: optimise the strategy
Sponsored by Terumo Interventional Systems
Anchorperson:
T. Cuisset
Spokesperson:
J. Fajadet
Summary
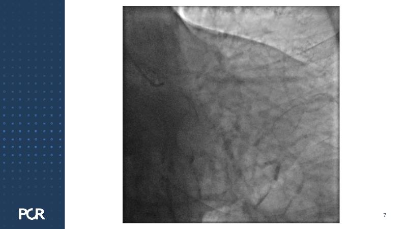
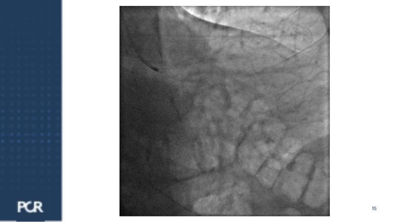
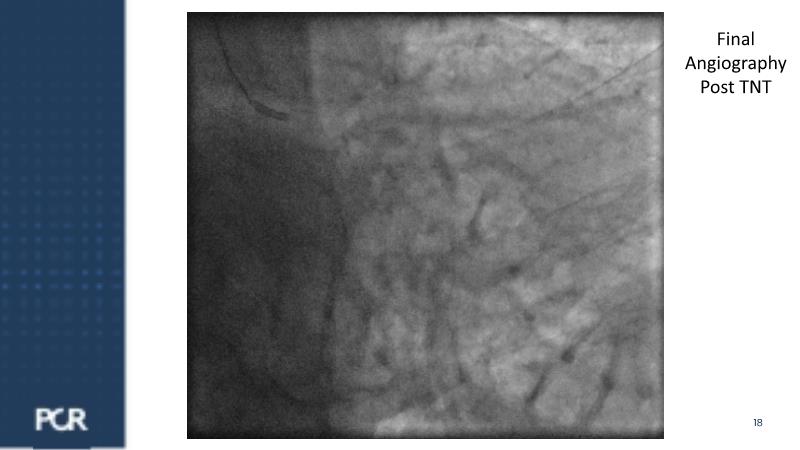
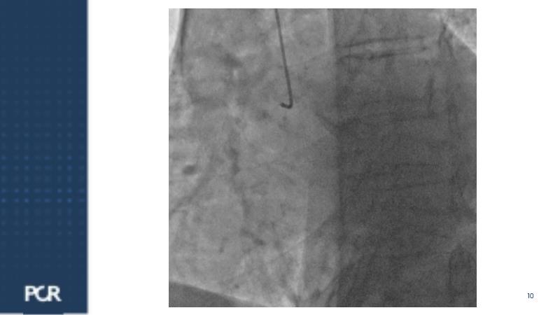
Watch this session for insights into managing acute coronary syndrome patients with multivessel disease, updates on treatment approaches, comparing FULL RESVAC with previous trials like COMPLETE or FIRE, for example, and information on ongoing trials such as FRAMI-AMI 2 and 3. Explore the LIVE case presentation for tailored strategies in post-ACS multivessel disease management, approaches for high bleeding risk patients, and the role of intracoronary imaging in guiding procedures.
Learning Objectives
- To discuss about optimal management of ACS patient with multivessel disease
- To reflect about optimal PCI strategy for high bleeding risk patient with ACS
- To analyse how intracoronary imaging optimises procedural outcomes of high bleeding risk patients




