18 Feb 2024
New possibilities in TEER
Sponsored by Edwards Lifesciences
Anchorperson:
K. Hayashida
Spokesperson:
D. Tchetche
Summary
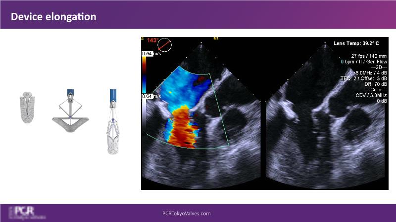
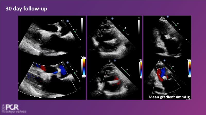
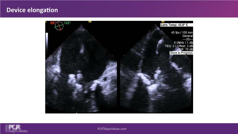
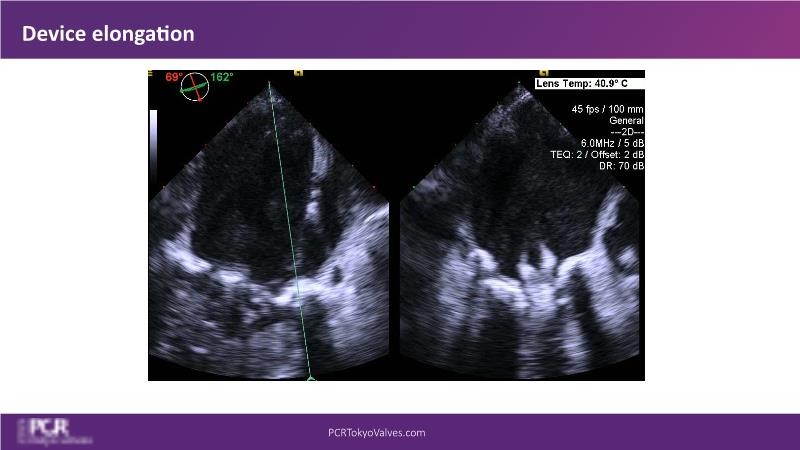
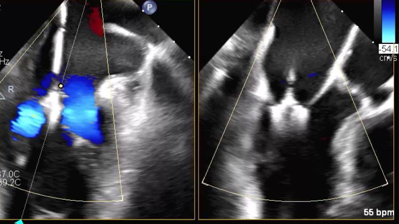
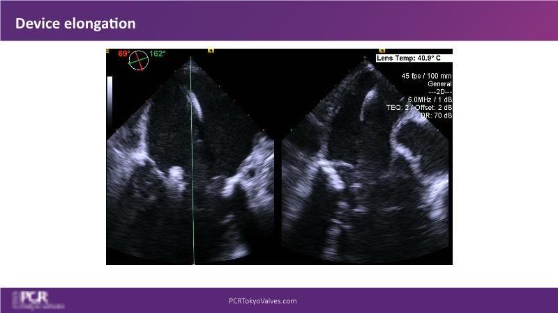
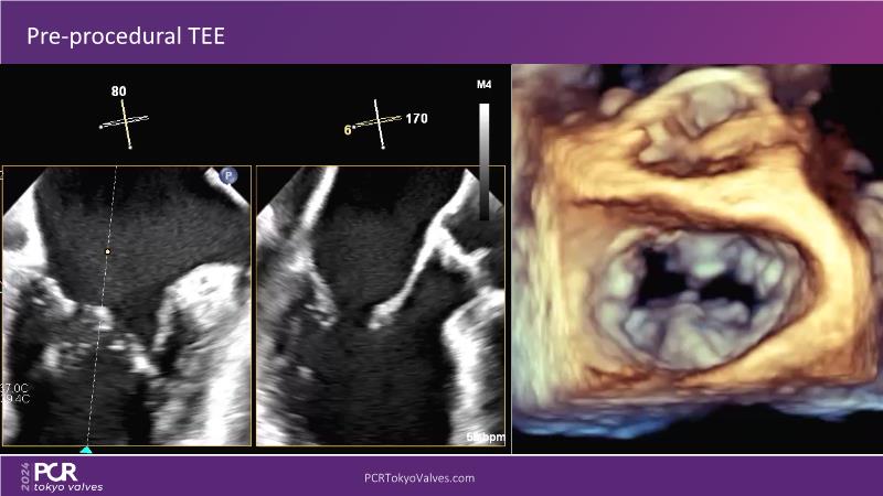
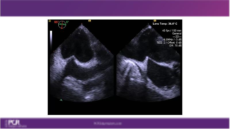
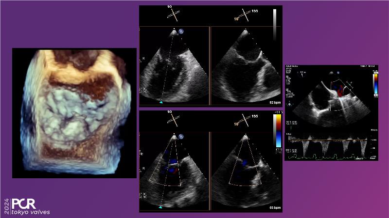
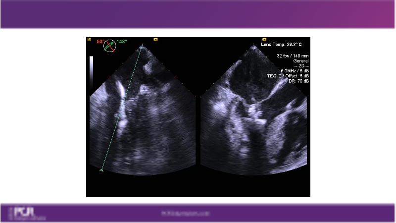
Watch this session to get an overview of a new TEER device, follow the step-by-step procedure related to initial experiences with this device for a Japanese patient with degenerative mitral regurgitation, learn about the latest data from RCT and registries, and follow discussions of challenging TEER cases!
Learning Objectives
- To understand how novel TEER device provides new possibilities in TEER
- To review the clinical evidence strategy and become aquainted with the most current data available
- To learn procedural step-by-step of novel device

