21 May 2025
A simple low profile solution to the pulmonary embolism problem: EKOS
Sponsored by Boston Scientific
Anchorperson:
A. Sharp
Spokesperson:
S. Konstantinides
Summary
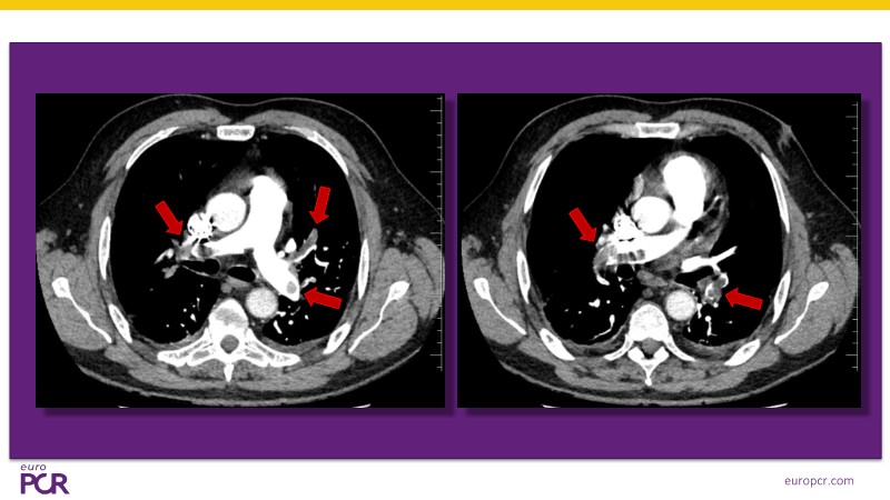
Discover a streamlined approach to pulmonary embolism treatment in this EuroPCR 2025 session. Learn how ultrasound-assisted thrombolysis improves right ventricular function and pulmonary perfusion while enabling timely reperfusion with low-dose thrombolytic therapy delivered directly to the clot. Explore the latest data from the HI-PEITHO randomised trial and review real-world cases that highlight patient selection and the practical application of catheter-based reperfusion strategies. With its minimally invasive profile, low complication rates, and straightforward logistics, the EKOS system offers a clinically sound and efficient solution to PE management.
Learning Objectives
- To learn on the effect of ultrasound on clot and clot structure
- To understand the value of a rigorous science and set protocols
- To implement by seeing cases your own strategy and take home examples
