21 May 2025
Active posterior leaflet replacement - A novel transcatheter approach for the treatment of primary and secondary mitral regurgitation
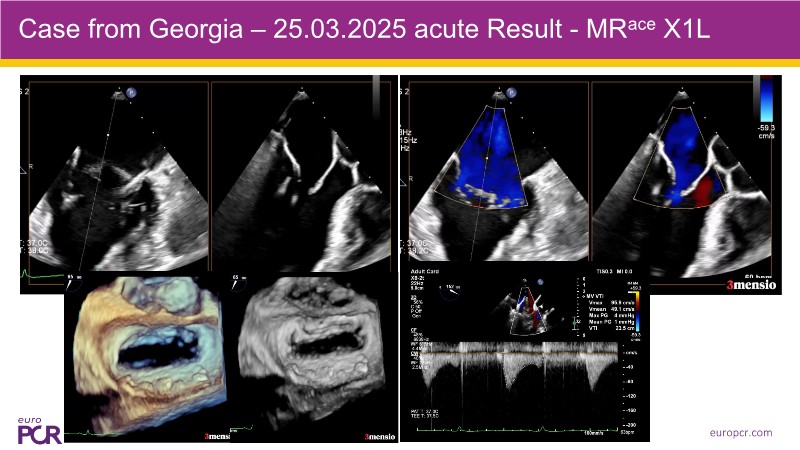
Sponsored by Polares Medical
Anchorperson:
A. Abizaid
Spokesperson:
B. Prendergast
Summary
Find out more about an innovative transcatheter strategy for managing both primary and secondary mitral regurgitation in this EuroPCR 2025 session. Experts introduce the concept of active posterior leaflet replacement and present the Polares MRace device—a novel solution designed to address the limitations of current therapies. Gain insights into the device’s mechanism, watch two recorded cases demonstrating its use in clinical settings, and review the latest clinical and echocardiographic outcome data.
Learning Objectives
- To learn more about a novel emerging approach for the transcatheter treatment of primary and secondary mitral regurgitation
- To understand the device concept and its early clinical application in recent recorded cases
- To hear the latest data concerning clinical and echocardiographic outcomes

