17 Nov 2025
The next frontier in LAA closure: innovations and opportunities
Sponsored by Boston Scientific
Anchorperson:
M. Grygier
Spokesperson:
N. Wunderlich
Summary
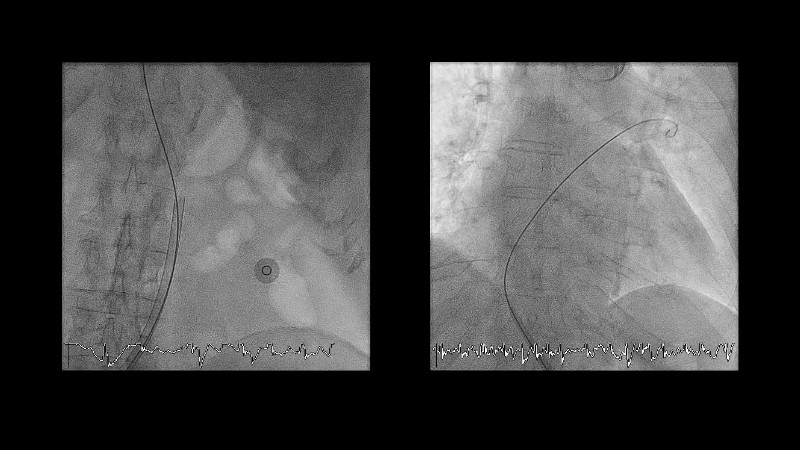
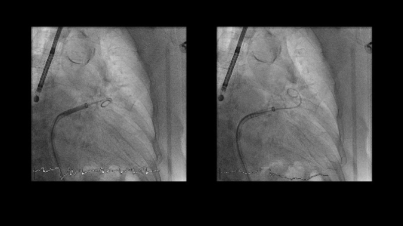
Explore the forefront of left atrial appendage (LAA) closure with this session focusing on the latest innovations and clinical opportunities. Topics include recent data on WATCHMAN FLX PRO and VersaCross Connect systems, workflow strategies to improve procedural efficiency, and discussions on upcoming clinical trials such as CHAF and LAAOS IV, emphasizing expanding stroke prevention options beyond bleeding risk reduction.
Learning Objectives
- To review the latest data on WATCHMAN FLX PRO and VersaCross Connect - HEAL LAA and subanalysis
- To learn workflow strategies to improve efficiencies for LAA closure - VersaCross Connect + PRO + TruSteer
- To discuss the upcoming new clinical trials - CHAF + LAAOS IV
