08 Feb 2025
Maximising the potential of MitraClip in TEER therapy
Sponsored by Abbott
Summary
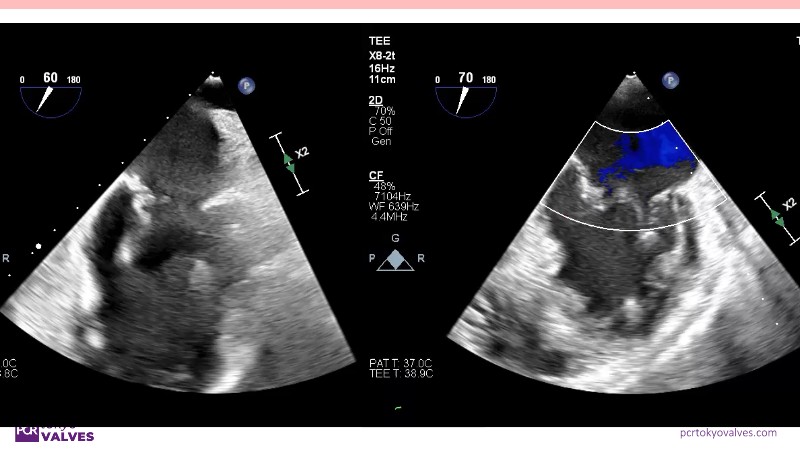
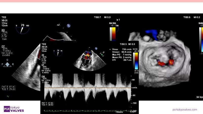
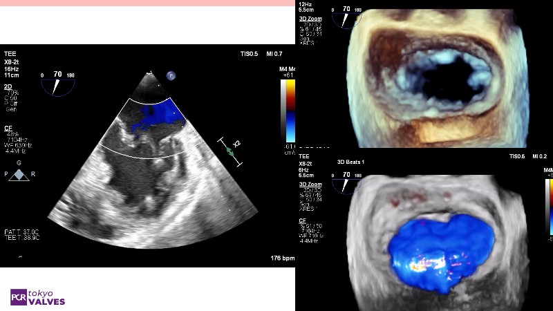
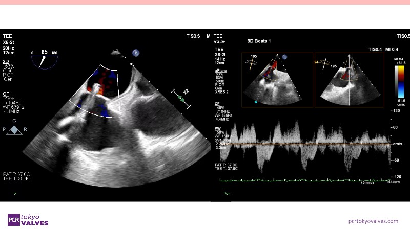
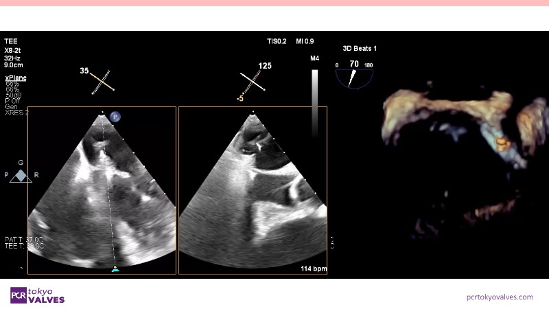
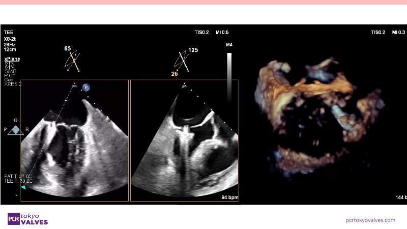
Explore the latest advancements in TEER therapy with this PCR Tokyo Valves 2025 session dedicated to MitraClip. Through expert-led case discussions, gain a deeper understanding of complex scenarios, including restricted posterior leaflet in functional mitral regurgitation, commissure lesion (A3P3), and MitraClip combined with Amulet.
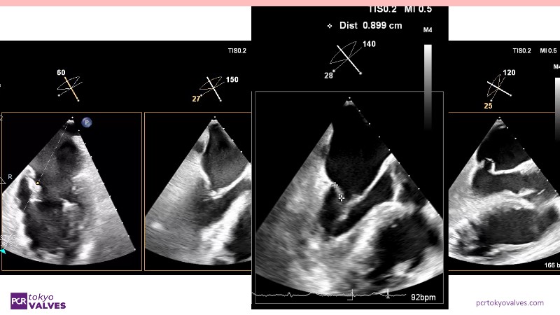
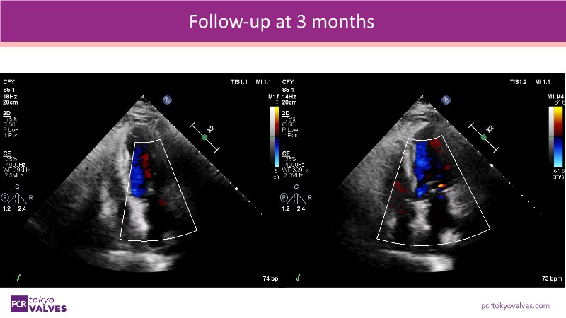
This session also highlights key findings from the OCEAN study, shedding light on 1-year heart failure rehospitalisation outcomes with MitraClip. Additionally, discover how atrioventricular valve morphology impacts treatment strategies and how the four available clip sizes can be used to personalise and optimise TEER outcomes.
Watch now and stay at the cutting edge of mitral valve interventions!
Learning Objectives
- To stay up to date on the Asian clinical data on TEER
- To learn about atrioventricular valve morphology and the associated treatment challenges with TEER
- To understand how the four clip sizes can tailor TEER therapy for optimal outcomes
