More possibilities in TEER - Treatment of degenerative mitral regurgitation

Sponsored by Edwards Lifesciences

Anchorperson: K. Hayashida
SHOW MORE

Summary

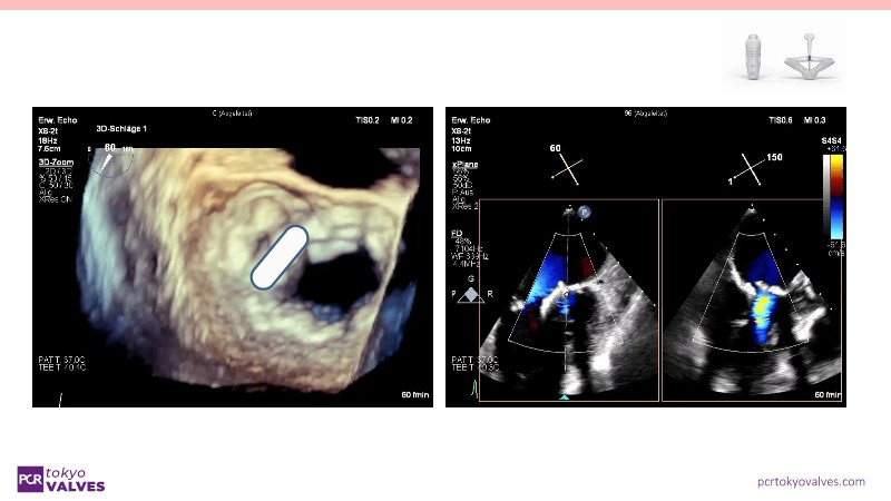
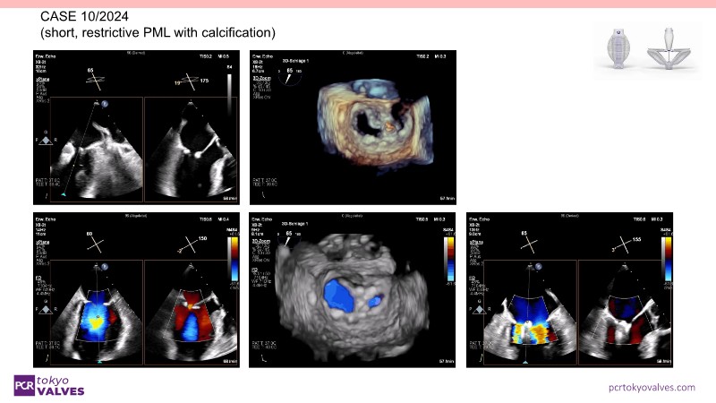
Through case reviews, explore the latest advancements in transcatheter edge-to-edge repair (TEER) for degenerative mitral regurgitation. Discover how a novel TEER device expands treatment possibilities, offering predictable and durable results.

Learning Objectives

  • To understand how a novel TEER device provides more possibilities in TEER for degenerative mitral regurgitation
  • To develop understanding of predictable and durable treatment of mitral regurgitation
  • To review the clinical evidence strategy and become acquainted with the most current data available